eIF4E antibody

Cat. No. GTX32580
Cat. No.  GTX32580
Anti-eIF4E antibody used in Immunoprecipitation (IP). GTX32580
GTX32580 IP Image

IP analysis of 293T cell lysate using GTX32580 eIF4E antibody.
Antibody amount : 3μg / 200μg lysate
Dilution : 1:1000

1 / 5
Anti-eIF4E antibody used in IHC (Paraffin sections) (IHC-P). GTX32580
GTX32580 IHC-P Image

IHC-P analysis of human lung cancer tissue using GTX32580 eIF4E antibody.
Dilution : 1:100

2 / 5
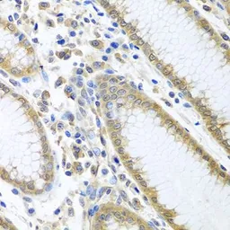
Anti-eIF4E antibody used in IHC (Paraffin sections) (IHC-P). GTX32580
GTX32580 IHC-P Image

IHC-P analysis of human stomach tissue using GTX32580 eIF4E antibody.
Dilution : 1:100

3 / 5
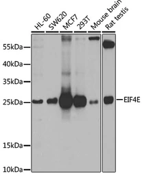
Anti-eIF4E antibody used in Western Blot (WB). GTX32580
GTX32580 WB Image

WB analysis of various sample lysates using GTX32580 eIF4E antibody. The signal was developed with ECL plus-Enhanced.
Dilution : 1:1000
Loading : 25μg per lane

4 / 5
Anti-eIF4E antibody used in Immunocytochemistry/ Immunofluorescence (ICC/IF). GTX32580
GTX32580 ICC/IF Image

ICC/IF analysis of U2OS cells using GTX32580 eIF4E antibody.
Blue : DAPI
Dilution : 1:100

5 / 5
Anti-eIF4E antibody used in Immunoprecipitation (IP). GTX32580
Anti-eIF4E antibody used in IHC (Paraffin sections) (IHC-P). GTX32580
Anti-eIF4E antibody used in IHC (Paraffin sections) (IHC-P). GTX32580
Anti-eIF4E antibody used in Western Blot (WB). GTX32580
Anti-eIF4E antibody used in Immunocytochemistry/ Immunofluorescence (ICC/IF). GTX32580
  • Host
    Rabbit
  • Clonality
    Polyclonal
  • Isotype
    IgG
  • Applications
    WB ICC/IF IHC-P IP
  • Reactivity
    Human, Mouse, Rat
See all eIF4E products