gamma Synuclein antibody [1H10D2]

Cat. No. GTX83156
Cat. No.  GTX83156
Anti-gamma Synuclein antibody [1H10D2] used in Western Blot (WB). GTX83156
GTX83156 WB Image

WB analysis of truncated Synuclein recombinant protein using GTX83156 gamma Synuclein antibody [1H10D2].

1 / 2
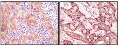
Anti-gamma Synuclein antibody [1H10D2] used in IHC (Paraffin sections) (IHC-P). GTX83156
GTX83156 IHC-P Image

IHC-P analysis of human ovary carcinoma (left) and breast carcinoma (right) using GTX83156 gamma Synuclein antibody [1H10D2].

2 / 2
Anti-gamma Synuclein antibody [1H10D2] used in Western Blot (WB). GTX83156
Anti-gamma Synuclein antibody [1H10D2] used in IHC (Paraffin sections) (IHC-P). GTX83156
  • Host
    Mouse
  • Clonality
    Monoclonal
  • Clone Name
    1H10D2
  • Isotype
    IgG1
  • Applications
    WB IHC-P ELISA
  • Reactivity
    Human
See all gamma Synuclein products