hnRNP A2B1 antibody

Cat. No. GTX117578
Cat. No.  GTX117578
Anti-hnRNP A2B1 antibody used in Western Blot (WB). GTX117578
GTX117578 WB Image

Non-transfected (–) and transfected (+) 293T whole cell extracts (30 μg) were separated by 12% SDS-PAGE, and the membrane was blotted with hnRNP A2B1 antibody (GTX117578) diluted at 1:5000.

1 / 4
Anti-hnRNP A2B1 antibody used in Immunocytochemistry/ Immunofluorescence (ICC/IF). GTX117578
GTX117578 ICC/IF Image

Confocal immunofluorescence analysis (Olympus FV10i) of paraformaldehyde-fixed HeLa, using hnRNP A2B1(GTX117578) antibody (Green) at 1:500 dilution. Alpha-tubulin filaments were labeled with GTX11304 (Red) at 1:2000.

2 / 4
Anti-hnRNP A2B1 antibody used in Western Blot (WB). GTX117578
GTX117578 WB Image

Sample (30 ug of whole cell lysate)
A: A431
12% SDS PAGE
GTX117578 diluted at 1:10000

3 / 4
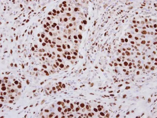
Anti-hnRNP A2B1 antibody used in IHC (Paraffin sections) (IHC-P). GTX117578
GTX117578 IHC-P Image

Immunohistochemical analysis of paraffin-embedded human breast cancer, using hnRNP A2B1(GTX117578) antibody at 1:250 dilution.
Antigen Retrieval: Trilogy™ (EDTA based, pH 8.0) buffer, 15min

4 / 4
Anti-hnRNP A2B1 antibody used in Western Blot (WB). GTX117578
Anti-hnRNP A2B1 antibody used in Immunocytochemistry/ Immunofluorescence (ICC/IF). GTX117578
Anti-hnRNP A2B1 antibody used in Western Blot (WB). GTX117578
Anti-hnRNP A2B1 antibody used in IHC (Paraffin sections) (IHC-P). GTX117578
  • Host
    Rabbit
  • Clonality
    Polyclonal
  • Isotype
    IgG
  • Applications
    WB ICC/IF IHC-P
  • Reactivity
    Human
See all hnRNP A2B1 products