mGluR4 antibody [HL4697]

Cat. No. GTX644698
Cat. No.  GTX644698
Anti-mGluR4 antibody [HL4697] used in IHC (Paraffin sections) (IHC-P). GTX644698
GTX644698 IHC-P Image

mGluR4 antibody [HL4697] detects mGluR4 protein by immunohistochemical analysis.
Sample: Paraffin-embedded mouse brain.
mGluR4 stained by mGluR4 antibody [HL4697] (GTX644698) diluted at 1:200.
Antigen Retrieval: Tris-EDTA buffer, pH 9.0, 15 min

1 / 5
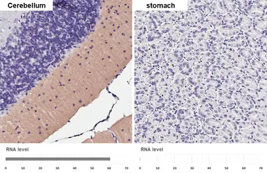
Anti-mGluR4 antibody [HL4697] used in IHC (Paraffin sections) (IHC-P). GTX644698
GTX644698 IHC-P Image

mGluR4 antibody [HL4697] detects mGluR4 protein by immunohistochemical analysis.
Sample: Paraffin-embedded mouse tissues.
mGluR4 stained by mGluR4 antibody [HL4697] (GTX644698) diluted at 1:200.
Antigen Retrieval: Tris-EDTA buffer, pH 9.0, 15 min

2 / 5
Anti-mGluR4 antibody [HL4697] used in Western Blot (WB). GTX644698
GTX644698 WB Image

Unboiled various tissue extracts (50 μg) were separated by 7.5% SDS-PAGE, and the membrane was blotted with mGluR4 antibody [HL4697] (GTX644698) diluted at 1:1000. The HRP-conjugated anti-rabbit IgG antibody (GTX213110-01) was used to detect the primary antibody, and the signal was developed with Trident ECL plus-Enhanced.

3 / 5
Anti-mGluR4 antibody [HL4697] used in Western Blot (WB). GTX644698
GTX644698 WB Image

Non-transfected (–) and transfected (+) unboiled 293T whole cell extracts (30 μg) were separated by 7.5% SDS-PAGE, and the membrane was blotted with mGluR4 antibody [HL4697] (GTX644698) diluted at 1:5000. The HRP-conjugated anti-rabbit IgG antibody (GTX213110-01) was used to detect the primary antibody.

4 / 5
Anti-mGluR4 antibody [HL4697] used in Western Blot (WB). GTX644698
GTX644698 WB Image

Boiled and unboiled rat tissue extracts (50 μg) were separated by 7.5% SDS-PAGE, and the membrane was blotted with mGluR4 antibody [HL4697] (GTX644698) diluted at 1:1000. The HRP-conjugated anti-rabbit IgG antibody (GTX213110-01) was used to detect the primary antibody, and the signal was developed with Trident ECL plus-Enhanced.

5 / 5
Anti-mGluR4 antibody [HL4697] used in IHC (Paraffin sections) (IHC-P). GTX644698
Anti-mGluR4 antibody [HL4697] used in IHC (Paraffin sections) (IHC-P). GTX644698
Anti-mGluR4 antibody [HL4697] used in Western Blot (WB). GTX644698
Anti-mGluR4 antibody [HL4697] used in Western Blot (WB). GTX644698
Anti-mGluR4 antibody [HL4697] used in Western Blot (WB). GTX644698
  • Host
    Rabbit
  • Clonality
    Monoclonal
  • Clone Name
    HL4697
  • Isotype
    IgG
  • Applications
    WB IHC-P IHC-Fr
  • Reactivity
    Human, Mouse, Rat
See all mGluR4 products