mGluR5 antibody [HL3509]

Cat. No. GTX641397
Cat. No.  GTX641397
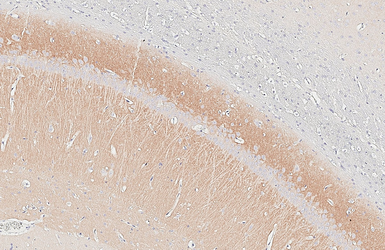
Anti-mGluR5 antibody [HL3509] used in IHC (Paraffin sections) (IHC-P). GTX641397
GTX641397 IHC-P Image

mGluR5 antibody [HL3509] detects mGluR5 protein by immunohistochemical analysis.
Sample: Paraffin-embedded mouse hippocampus.
mGluR5 stained by mGluR5 antibody [HL3509] (GTX641397) diluted at 1:400.
Antigen Retrieval: Citrate buffer, pH 6.0, 15 min

*The competitor is not affiliated with GeneTex and does not endorse this product.

1 / 8
Anti-mGluR5 antibody [HL3509] used in Flow cytometry (FCM). GTX641397
GTX641397 FCM Image

mGluR5 antibody [HL3509] (GTX641397) detects mGluR5 protein by flow cytometry analysis.
Sample: Non-transfected and transfected 293T cells were fixed in 4% paraformaldehyde at 4ºC for 15 min and washed with 0.1% saponin buffer to permeabilize the cell membrane.
The cells were following stained with mGluR5 antibody [HL3509] (GTX641397) diluted at 1:50 or a Rabbit IgG isotype control (GTX35035) control at 4ºC for 1 hour.

2 / 8
Anti-mGluR5 antibody [HL3509] used in IHC (Frozen sections) (IHC-Fr). GTX641397
GTX641397 IHC-Fr Image

mGluR5 antibody [HL3509] detects mGluR5 protein by immunohistochemical analysis.
Sample: Frozen-sectioned mouse striatum.
Green: mGluR5 stained by mGluR5 antibody [HL3509] (GTX641397) diluted at 1:250.
Red: NF-H antibody [GT114] (GTX634289) diluted at 1:500.
Blue: Hoechst 33342 staining.

3 / 8
Anti-mGluR5 antibody [HL3509] used in IHC (Paraffin sections) (IHC-P). GTX641397
GTX641397 IHC-P Image

mGluR5 antibody [HL3509] detects mGluR5 protein by immunohistochemical analysis.
Sample: Paraffin-embedded rat brain (hippocampus).
mGluR5 stained by mGluR5 antibody [HL3509] (GTX641397) diluted at 1:400.
Antigen Retrieval: Citrate buffer, pH 6.0, 15 min

4 / 8
Anti-mGluR5 antibody [HL3509] used in IHC (Paraffin sections) (IHC-P). GTX641397
GTX641397 IHC-P Image

mGluR5 antibody [HL3509] detects mGluR5 protein by immunohistochemical analysis.
Sample: Paraffin-embedded mouse brain (striatum).
mGluR5 stained by mGluR5 antibody [HL3509] (GTX641397) diluted at 1:400.
Antigen Retrieval: Citrate buffer, pH 6.0, 15 min

5 / 8
Anti-mGluR5 antibody [HL3509] used in Western Blot (WB). GTX641397
GTX641397 WB Image

Unboiled various tissue extracts (50 μg) were separated by 5% SDS-PAGE, and the membrane was blotted with mGluR5 antibody [HL3509] (GTX641397) diluted at 1:1000. The HRP-conjugated anti-rabbit IgG antibody (GTX213110-01) was used to detect the primary antibody.

6 / 8
Anti-mGluR5 antibody [HL3509] used in Western Blot (WB). GTX641397
GTX641397 WB Image

Unboiled various tissue extracts (50 μg) were separated by 5% SDS-PAGE, and the membrane was blotted with mGluR5 antibody [HL3509] (GTX641397) diluted at 1:1000. The HRP-conjugated anti-rabbit IgG antibody (GTX213110-01) was used to detect the primary antibody, and the signal was developed with Trident ECL plus-Enhanced.

7 / 8
Anti-mGluR5 antibody [HL3509] used in Western Blot (WB). GTX641397
GTX641397 WB Image

Boiled and unboiled human tissue extract (5 μg) were separated by 5% SDS-PAGE, and the membrane was blotted with mGluR5 antibody [HL3509] (GTX641397) diluted at 1:1000. The HRP-conjugated anti-rabbit IgG antibody (GTX213110-01) was used to detect the primary antibody, and the signal was developed with Trident ECL plus-Enhanced.

8 / 8
Anti-mGluR5 antibody [HL3509] used in IHC (Paraffin sections) (IHC-P). GTX641397
Anti-mGluR5 antibody [HL3509] used in Flow cytometry (FCM). GTX641397
Anti-mGluR5 antibody [HL3509] used in IHC (Frozen sections) (IHC-Fr). GTX641397
Anti-mGluR5 antibody [HL3509] used in IHC (Paraffin sections) (IHC-P). GTX641397
Anti-mGluR5 antibody [HL3509] used in IHC (Paraffin sections) (IHC-P). GTX641397
Anti-mGluR5 antibody [HL3509] used in Western Blot (WB). GTX641397
Anti-mGluR5 antibody [HL3509] used in Western Blot (WB). GTX641397
Anti-mGluR5 antibody [HL3509] used in Western Blot (WB). GTX641397
  • Host
    Rabbit
  • Clonality
    Monoclonal
  • Clone Name
    HL3509
  • Isotype
    IgG
  • Applications
    WB IHC-P IHC-Fr FCM
  • Reactivity
    Human, Mouse, Rat
See all mGluR5 products