mtTFA antibody [HL2012]

Cat. No. GTX637913
Cat. No.  GTX637913
Anti-mtTFA antibody [HL2012] used in Western Blot (WB). GTX637913
GTX637913 WB Image

Non-transfected (–) and transfected (+) 293T whole cell extracts (30 μg) were separated by 12% SDS-PAGE, and the membrane was blotted with mtTFA antibody [HL2012] (GTX637913) diluted at 1:50000. The HRP-conjugated anti-rabbit IgG antibody (GTX213110-01) was used to detect the primary antibody.

1 / 3
Anti-mtTFA antibody [HL2012] used in Western Blot (WB). GTX637913
GTX637913 WB Image

Various whole cell extracts (30 μg) were separated by 12% SDS-PAGE, and the membrane was blotted with mtTFA antibody [HL2012] (GTX637913) diluted at 1:5000. The HRP-conjugated anti-rabbit IgG antibody (GTX213110-01) was used to detect the primary antibody.Corresponding RNA expression data for the same cell lines are based on Human Protein Atlas program.

2 / 3
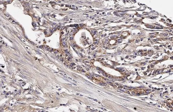
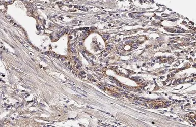
Anti-mtTFA antibody [HL2012] used in IHC (Paraffin sections) (IHC-P). GTX637913
GTX637913 IHC-P Image

mtTFA antibody [HL2012] detects mtTFA protein at mitochondria by immunohistochemical analysis.
Sample: Paraffin-embedded human colon cancer.
mtTFA stained by mtTFA antibody [HL2012] (GTX637913) diluted at 1:100.
Antigen Retrieval: Citrate buffer, pH 6.0, 15 min

3 / 3
Anti-mtTFA antibody [HL2012] used in Western Blot (WB). GTX637913
Anti-mtTFA antibody [HL2012] used in Western Blot (WB). GTX637913
Anti-mtTFA antibody [HL2012] used in IHC (Paraffin sections) (IHC-P). GTX637913
  • Host
    Rabbit
  • Clonality
    Monoclonal
  • Clone Name
    HL2012
  • Isotype
    IgG
  • Applications
    WB IHC-P
  • Reactivity
    Human
See all mtTFA products