mtTFA antibody, Internal

Cat. No. GTX44824
Cat. No.  GTX44824
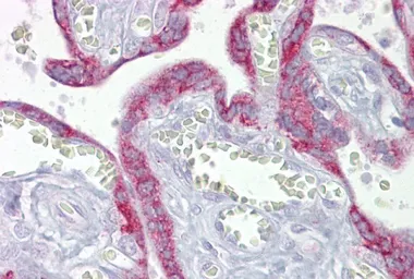
Anti-mtTFA antibody, Internal used in IHC (Paraffin sections) (IHC-P). GTX44824
GTX44824 IHC-P Image

IHC-P analysis of human placenta tissue using GTX44824 TFAM antibody at 5μg/ml.

1 / 2
Anti-mtTFA antibody, Internal used in Western Blot (WB). GTX44824
GTX44824 WB Image

WB analysis of mouse muscle tissue using GTX44824 TFAM antibody at 0.2-1μg/ml.

2 / 2
Anti-mtTFA antibody, Internal used in IHC (Paraffin sections) (IHC-P). GTX44824
Anti-mtTFA antibody, Internal used in Western Blot (WB). GTX44824
  • Host
    Rabbit
  • Clonality
    Polyclonal
  • Isotype
    IgG
  • Applications
    WB IHC-P PLA
  • Reactivity
    Human, Mouse
See all mtTFA products