nNOS antibody [GT5978]

Cat. No. GTX634455
Cat. No.  GTX634455
Anti-nNOS antibody [GT5978] used in IHC (Paraffin sections) (IHC-P). GTX634455
GTX634455 IHC-P Image

nNOS antibody [GT5978] detects nNOS protein by immunohistochemical analysis.
Sample: Paraffin-embedded mouse brain.
nNOS stained by nNOS antibody [GT5978] (GTX634455) diluted at 1:250.
Antigen Retrieval: Citrate buffer, pH 6.0, 15 min

1 / 5
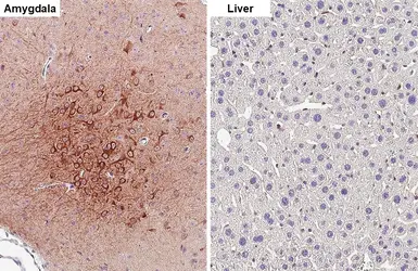
Anti-nNOS antibody [GT5978] used in IHC (Paraffin sections) (IHC-P). GTX634455
GTX634455 IHC-P Image

nNOS antibody [GT5978] detects nNOS protein by immunohistochemical analysis.
Sample: Paraffin-embedded mouse tissues.
nNOS stained by nNOS antibody [GT5978] (GTX634455) diluted at 1:750.
Antigen Retrieval: Citrate buffer, pH 6.0, 15 min

2 / 5
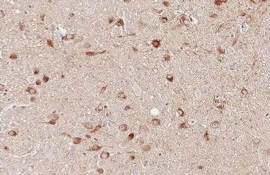
Anti-nNOS antibody [GT5978] used in IHC (Paraffin sections) (IHC-P). GTX634455
GTX634455 IHC-P Image

nNOS antibody [GT5978] detects nNOS protein by immunohistochemical analysis.
Sample: Paraffin-embedded rat hypothalamus.
nNOS stained by nNOS antibody [GT5978] (GTX634455) diluted at 1:250.
Antigen Retrieval: Citrate buffer, pH 6.0, 15 min

3 / 5
Anti-nNOS antibody [GT5978] used in Immunocytochemistry/ Immunofluorescence (ICC/IF). GTX634455
GTX634455 ICC/IF Image

nNOS antibody [GT5978] detects nNOS protein by immunofluorescent analysis.
Sample: DIV10 rat E18 primary cortical neuron cells were fixed in 4% paraformaldehyde at RT for 15 min.
Green: nNOS stained by nNOS antibody [GT5978] (GTX634455) diluted at 1:500.
Red: Tau, stained by Tau antibody (GTX130462) diluted at 1:500.
Blue: Fluoroshield with DAPI (GTX30920).

4 / 5
Anti-nNOS antibody [GT5978] used in Western Blot (WB). GTX634455
GTX634455 WB Image

Various tissue extracts (50 μg) were separated by 5% SDS-PAGE, and the membrane was blotted with nNOS antibody [GT5978] (GTX634455) diluted at 1:5000. The HRP-conjugated anti-mouse IgG antibody (GTX213111-01) was used to detect the primary antibody.

5 / 5
Anti-nNOS antibody [GT5978] used in IHC (Paraffin sections) (IHC-P). GTX634455
Anti-nNOS antibody [GT5978] used in IHC (Paraffin sections) (IHC-P). GTX634455
Anti-nNOS antibody [GT5978] used in IHC (Paraffin sections) (IHC-P). GTX634455
Anti-nNOS antibody [GT5978] used in Immunocytochemistry/ Immunofluorescence (ICC/IF). GTX634455
Anti-nNOS antibody [GT5978] used in Western Blot (WB). GTX634455
  • Host
    Mouse
  • Clonality
    Monoclonal
  • Clone Name
    GT5978
  • Isotype
    IgG1
  • Applications
    WB ICC/IF IHC-P
  • Reactivity
    Mouse, Rat
See all nNOS products