p130Cas (phospho Tyr410) antibody

Cat. No. GTX55306
Cat. No.  GTX55306
Anti-p130Cas (phospho Tyr410) antibody used in Western Blot (WB). GTX55306
GTX55306 WB Image

WB analysis of extracts from K562 cells (lane 2) and 3T3 cells (lane 3) using GTX55306 p130Cas (phospho Tyr410) antibody.
Left : Primary antibody pre-incubated with the antigen specific peptide
Right : Primary antibody

1 / 2
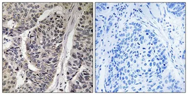
Anti-p130Cas (phospho Tyr410) antibody used in IHC (Paraffin sections) (IHC-P). GTX55306
GTX55306 IHC-P Image

IHC-P analysis of human breast carcinoma tissue using GTX55306 p130Cas (phospho Tyr410) antibody.
Left : Primary antibody
Right : Primary antibody pre-incubated with the antigen specific peptide

2 / 2
Anti-p130Cas (phospho Tyr410) antibody used in Western Blot (WB). GTX55306
Anti-p130Cas (phospho Tyr410) antibody used in IHC (Paraffin sections) (IHC-P). GTX55306
  • Host
    Rabbit
  • Clonality
    Polyclonal
  • Isotype
    IgG
  • Applications
    WB IHC-P
  • Reactivity
    Human, Mouse
See all p130Cas products