p21 Cip1 (phospho Thr145) antibody

Cat. No. GTX50247
Cat. No.  GTX50247
Anti-p21 Cip1 (phospho Thr145) antibody used in IHC (Paraffin sections) (IHC-P). GTX50247
GTX50247 IHC-P Image

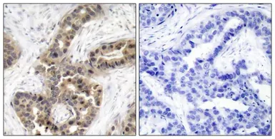
IHC-P analysis of human breast carcinoma tissue using GTX50247 p21 Cip1 (phospho Thr145) antibody.
Left : Primary antibody
Right : Primary antibody pre-incubated with the antigen specific peptide

1 / 1
Anti-p21 Cip1 (phospho Thr145) antibody used in IHC (Paraffin sections) (IHC-P). GTX50247
  • Host
    Rabbit
  • Clonality
    Polyclonal
  • Isotype
    IgG
  • Applications
    IHC-P
  • Reactivity
    Human
See all p21 Cip1 products