p38 MAPK (phospho Thr180/Tyr182) antibody [RM243]

Cat. No. GTX33599
Cat. No.  GTX33599
Anti-p38 MAPK (phospho Thr180/Tyr182) antibody [RM243] used in Western Blot (WB). GTX33599
GTX33599 WB Image

WB analysis of HeLa cell treated or non-treated with anisomycin lysates using GTX33599 p38 MAPK (phospho Thr180/Tyr182) antibody [RM243].
Dilution : 1:1000

1 / 2
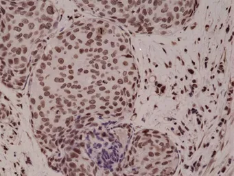
Anti-p38 MAPK (phospho Thr180/Tyr182) antibody [RM243] used in IHC (Paraffin sections) (IHC-P). GTX33599
GTX33599 IHC-P Image

IHC-P analysis of human breast cancer tissue using GTX33599 p38 MAPK (phospho Thr180/Tyr182) antibody [RM243].
Dilution : 1:1000

2 / 2
Anti-p38 MAPK (phospho Thr180/Tyr182) antibody [RM243] used in Western Blot (WB). GTX33599
Anti-p38 MAPK (phospho Thr180/Tyr182) antibody [RM243] used in IHC (Paraffin sections) (IHC-P). GTX33599
  • Host
    Rabbit
  • Clonality
    Monoclonal
  • Clone Name
    RM243
  • Isotype
    IgG
  • Applications
    WB IHC-P
  • Reactivity
    Human
See all p38 MAPK products