p38 MAPK (phospho Tyr182) antibody

Cat. No. GTX78989
Cat. No.  GTX78989
Anti-p38 MAPK (phospho Tyr182) antibody used in Western Blot (WB). GTX78989
GTX78989 WB Image

WB analysis of NIH-3T3 (Line 1, 4, 7 and 10), COS7 (Line 2, 5, 8 and 11), and K562 (Line 3, 6, 9 and 12) cells, untreated or treated with UV (20min) lysates using GTX78989 p38 MAPK (phospho Tyr182) antibody.
Lane 1 - 6 : p38 MAPK antibody
Lane 7 - 12 : GTX78989 p38 MAPK (phospho Tyr182) antibody

1 / 2
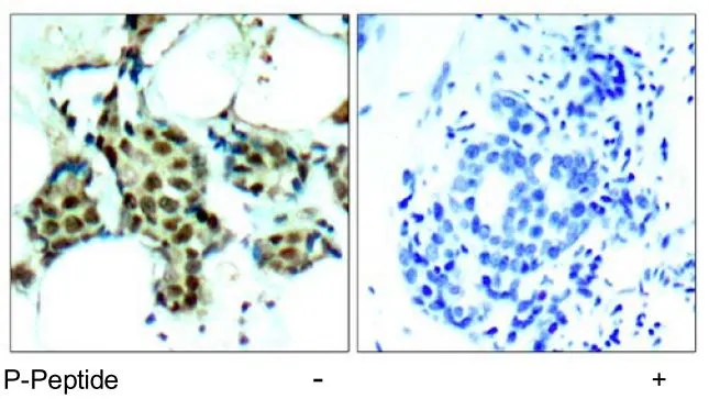
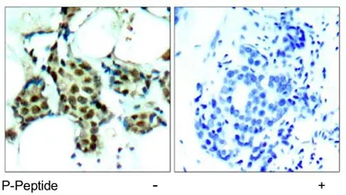
Anti-p38 MAPK (phospho Tyr182) antibody used in IHC (Paraffin sections) (IHC-P). GTX78989
GTX78989 IHC-P Image

IHC-P analysis of human breast carcinoma tissue using GTX78989 p38 MAPK (phospho Tyr182) antibody.

2 / 2
Anti-p38 MAPK (phospho Tyr182) antibody used in Western Blot (WB). GTX78989
Anti-p38 MAPK (phospho Tyr182) antibody used in IHC (Paraffin sections) (IHC-P). GTX78989
  • Host
    Rabbit
  • Clonality
    Polyclonal
  • Isotype
    IgG
  • Applications
    WB IHC-P
  • Reactivity
    Human, Mouse, Monkey
See all p38 MAPK products