p53 (Acetyl Lys319) antibody

Cat. No. GTX54949
Cat. No.  GTX54949
Anti-p53 (Acetyl Lys319) antibody used in Western Blot (WB). GTX54949
GTX54949 WB Image

WB analysis of TSA-treated HeLa (A) whole cell lysates using GTX54949 p53 (Acetyl Lys319) antibody.

1 / 3
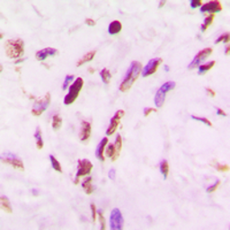
Anti-p53 (Acetyl Lys319) antibody used in IHC (Paraffin sections) (IHC-P). GTX54949
GTX54949 IHC-P Image

IHC-P analysis of formalin fixed human lung cancer tissue section using GTX54949 p53 (Acetyl Lys319) antibody.
Antigen retrieval : Heat mediated antigen retrieval with sodium citrate buffer (pH 6.0)

2 / 3
Anti-p53 (Acetyl Lys319) antibody used in Immunocytochemistry/ Immunofluorescence (ICC/IF). GTX54949
GTX54949 ICC/IF Image

ICC/IF analysis of formalin-fixed HeLa cells using GTX54949 p53 (Acetyl Lys319) antibody.
Red : Primary antibody
Blue : DAPI
Permeabilization : 0.1% Triton X-100 in TBS for 5-10 minutes

3 / 3
Anti-p53 (Acetyl Lys319) antibody used in Western Blot (WB). GTX54949
Anti-p53 (Acetyl Lys319) antibody used in IHC (Paraffin sections) (IHC-P). GTX54949
Anti-p53 (Acetyl Lys319) antibody used in Immunocytochemistry/ Immunofluorescence (ICC/IF). GTX54949
  • Host
    Rabbit
  • Clonality
    Polyclonal
  • Isotype
    IgG
  • Applications
    WB ICC/IF IHC-P
  • Reactivity
    Human
See all p53 products