p53 antibody [DO-7] (ready-to-use)

Cat. No. GTX20911
Cat. No.  GTX20911
Anti-p53 antibody [DO-7] (ready-to-use) used in IHC (Paraffin sections) (IHC-P). GTX20911
GTX20911 IHC-P Image

IHC-P analysis of human breast carcinoma tissue using GTX20911 p53 antibody [DO-7] (ready-to-use).

1 / 3
Anti-p53 antibody [DO-7] (ready-to-use) used in IHC (Paraffin sections) (IHC-P). GTX20911
GTX20911 IHC-P Image

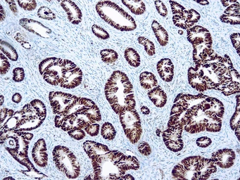
IHC-P analysis of human colon adenocarcinoma tissue using GTX20911 p53 antibody [DO-7] (ready-to-use) with GTX03609 Quatro Sol II 10X Tris-EDTA Buffer pH9.0 Kit.

2 / 3
Anti-p53 antibody [DO-7] (ready-to-use) used in IHC (Paraffin sections) (IHC-P). GTX20911
GTX20911 IHC-P Image

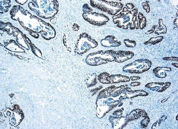
IHC-P analysis of human colon adenocarcinoma tissue using GTX20911 p53 antibody [DO-7] (ready-to-use) with GTX03608 Quatro Sol I 10X Citrate Buffer pH6.0 Kit.

3 / 3
Anti-p53 antibody [DO-7] (ready-to-use) used in IHC (Paraffin sections) (IHC-P). GTX20911
Anti-p53 antibody [DO-7] (ready-to-use) used in IHC (Paraffin sections) (IHC-P). GTX20911
Anti-p53 antibody [DO-7] (ready-to-use) used in IHC (Paraffin sections) (IHC-P). GTX20911
  • Host
    Mouse
  • Clonality
    Monoclonal
  • Clone Name
    DO-7
  • Isotype
    IgG2b
  • Applications
    IHC-P
  • Reactivity
    Human
See all p53 products