p57 Kip2 antibody [KIP2/880]

Cat. No. GTX34941
Cat. No.  GTX34941
Anti-p57 Kip2 antibody [KIP2/880] used in IHC (Paraffin sections) (IHC-P). GTX34941
GTX34941 IHC-P Image

IHC-P analysis of human colon carcinoma tissue using GTX34941 p57 Kip2 antibody [KIP2/880].

1 / 2
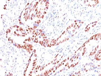
Anti-p57 Kip2 antibody [KIP2/880] used in IHC (Paraffin sections) (IHC-P). GTX34941
GTX34941 IHC-P Image

IHC-P analysis of human prostate carcinoma tissue using GTX34941 p57 Kip2 antibody [KIP2/880].

2 / 2
Anti-p57 Kip2 antibody [KIP2/880] used in IHC (Paraffin sections) (IHC-P). GTX34941
Anti-p57 Kip2 antibody [KIP2/880] used in IHC (Paraffin sections) (IHC-P). GTX34941
  • Host
    Mouse
  • Clonality
    Monoclonal
  • Clone Name
    KIP2/880
  • Isotype
    IgG2b
  • Applications
    ICC/IF IHC-P FCM
  • Reactivity
    Human, Mouse
See all p57 Kip2 products