p70 S6K beta antibody

Cat. No. GTX66013
Cat. No.  GTX66013
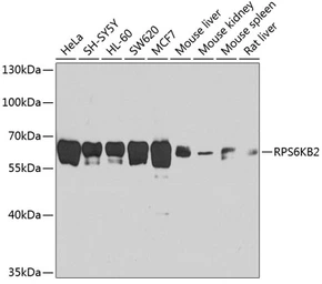
Anti-p70 S6K beta antibody used in Western Blot (WB). GTX66013
GTX66013 WB Image

WB analysis of various sample lysates using GTX66013 p70 S6K beta antibody.
Dilution : 1:1000
Loading : 25μg per lane

1 / 1
Anti-p70 S6K beta antibody used in Western Blot (WB). GTX66013
  • Host
    Rabbit
  • Clonality
    Polyclonal
  • Isotype
    IgG
  • Applications
    WB
  • Reactivity
    Human, Mouse, Rat
See all p70 S6K beta products