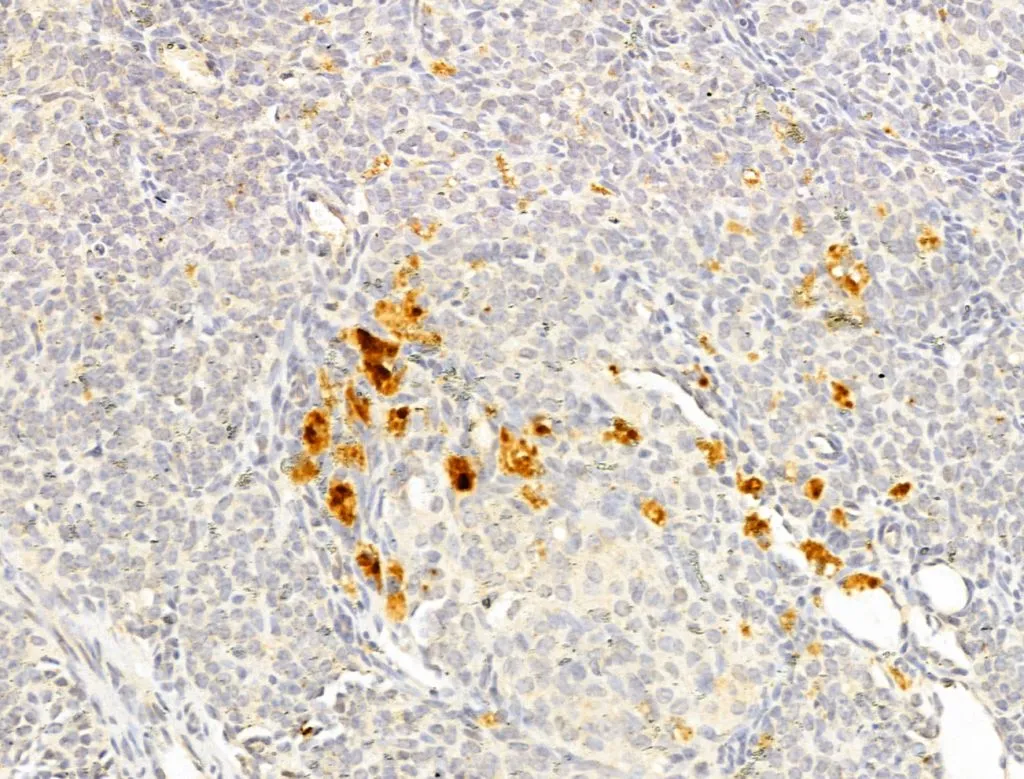
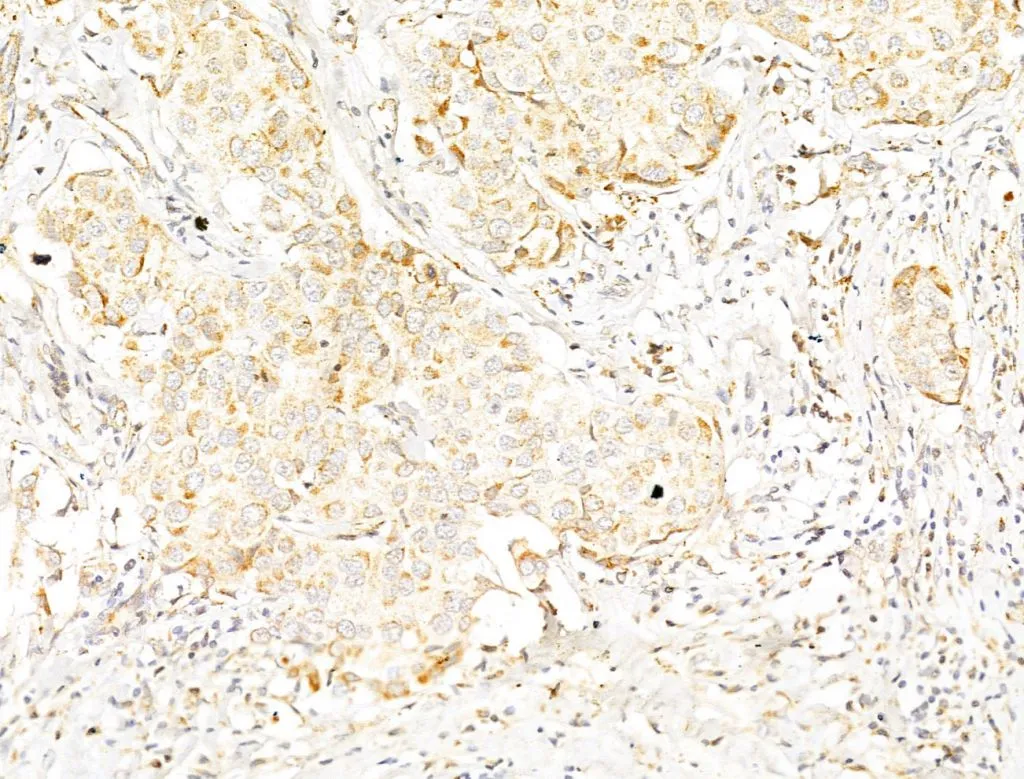
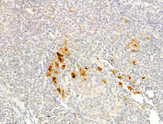
p70 S6K (phospho Thr389/Thr412) antibody
Cat. No. GTX05173
Cat. No. GTX05173
-
HostRabbit
-
ClonalityPolyclonal
-
IsotypeIgG
-
ApplicationsWB ICC/IF IHC-P
-
ReactivityHuman, Mouse, Rat, Pig