p70 S6K (phospho Thr421/Ser424) antibody [HL129]

Cat. No. GTX635621
Cat. No.  GTX635621
Anti-p70 S6K (phospho Thr421/Ser424) antibody [HL129] used in Western Blot (WB). GTX635621
GTX635621 WB Image

Wild-type (WT) and p70 S6K (phospho Thr421/Ser424) knockout (KO) HeLa cell extracts (30 μg) were separated by 10% SDS-PAGE, and the membrane was blotted with p70 S6K (phospho Thr421/Ser424) antibody [HL129] (GTX635621) diluted at 1:500. The HRP-conjugated anti-rabbit IgG antibody (GTX213110-01) was used to detect the primary antibody, and the signal was developed with Trident ECL plus-Enhanced.

1 / 9
Anti-p70 S6K (phospho Thr421/Ser424) antibody [HL129] used in Western Blot (WB). GTX635621
GTX635621 WB Image

Untreated (–) and treated (+) Rat2 whole cell extracts (30 μg) were separated by 10% SDS-PAGE, and the membranes were blotted with p70 S6K (phospho Thr421/Ser424) antibody [HL129] (GTX635621) diluted at 1:500 and competitor's antibody (# Highly Cited Antibody) diluted at 1:500. The HRP-conjugated anti-rabbit IgG antibody (GTX213110-01) was used to detect the primary antibody, and the signal was developed with Trident ECL plus-Enhanced.

*The competitor is not affiliated with GeneTex and does not endorse this product.

2 / 9
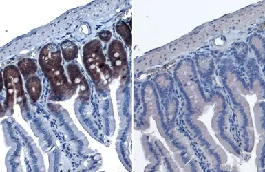
Anti-p70 S6K (phospho Thr421/Ser424) antibody [HL129] used in IHC (Paraffin sections) (IHC-P). GTX635621
GTX635621 IHC-P Image

p70 S6K (phospho Thr421/Ser424) antibody [HL5] detects p70 S6K (phospho Thr421/Ser424) protein at cytoplasm by immunohistochemical analysis in the presence of control peptide (left) or antigen-specific peptide (right).
Sample: Paraffin-embedded mouse intestine.
p70 S6K (phospho Thr421/Ser424) stained by p70 S6K (phospho Thr421/Ser424) antibody [HL5] (GTX635621) diluted at 1:100.
Antigen Retrieval: Citrate buffer, pH 6.0, 15 min

3 / 9
Anti-p70 S6K (phospho Thr421/Ser424) antibody [HL129] used in Western Blot (WB). GTX635621
GTX635621 WB Image

Untreated (–) and treated (+) Rat2 whole cell extracts (30 μg) were separated by 10% SDS-PAGE, and the membrane was blotted with p70 S6K (phospho Thr421/Ser424) antibody [HL129] (GTX635621) diluted at 1:500. The HRP-conjugated anti-rabbit IgG antibody (GTX213110-01) was used to detect the primary antibody.

4 / 9
Anti-p70 S6K (phospho Thr421/Ser424) antibody [HL129] used in  (). GTX635621
GTX635621 Image

Specificity test was performed by coating the plate with recombinant p70 S6K peptide and p70 S6K (phospho Thr421) peptide (1000-15.63 ng/mL). Coated protein was probed with p70 S6K (phospho Thr421/Ser424) antibody [HL129] (GTX635621) (1 μg/mL). Goat anti-rabbit IgG antibody (HRP) (GTX213110-01) (1:10000) was used to detect the bound primary antibody.

5 / 9
Anti-p70 S6K (phospho Thr421/Ser424) antibody [HL129] used in Western Blot (WB). GTX635621
GTX635621 WB Image

Untreated (–) and treated (+) Neuro2A whole cell extracts (30 μg) were separated by 10% SDS-PAGE, and the membranes were blotted with p70 S6K (phospho Thr421/Ser424) antibody [HL5] (GTX635621) diluted at 1:500 and competitor's antibody diluted at 1:500. The HRP-conjugated anti-rabbit IgG antibody (GTX213110-01) was used to detect the primary antibody, and the signal was developed with Trident ECL plus-Enhanced.

*The competitor is not affiliated with GeneTex and does not endorse this product.

6 / 9
Anti-p70 S6K (phospho Thr421/Ser424) antibody [HL129] used in Western Blot (WB). GTX635621
GTX635621 WB Image

Untreated (–) and treated (+) 293T whole cell extracts (30 μg) were separated by 10% SDS-PAGE, and the membranes were blotted with p70 S6K (phospho Thr421/Ser424) antibody [HL129] (GTX635621) diluted at 1:500 and competitor's antibody diluted at 1:500. The HRP-conjugated anti-rabbit IgG antibody (GTX213110-01) was used to detect the primary antibody.

*The competitor is not affiliated with GeneTex and does not endorse this product.

7 / 9
Anti-p70 S6K (phospho Thr421/Ser424) antibody [HL129] used in IHC (Paraffin sections) (IHC-P). GTX635621
GTX635621 IHC-P Image

p70 S6K (phospho Thr421/Ser424) antibody [HL5] detects p70 S6K (phospho Thr421/Ser424) protein by immunohistochemical analysis.
Sample: Paraffin-embedded mouse tissue.
p70 S6K (phospho Thr421/Ser424) stained by p70 S6K (phospho Thr421/Ser424) antibody [HL5] (GTX635621) diluted at 1:100.
Antigen Retrieval: Citrate buffer, pH 6.0, 15 min

8 / 9
Anti-p70 S6K (phospho Thr421/Ser424) antibody [HL129] used in IHC (Paraffin sections) (IHC-P). GTX635621
GTX635621 IHC-P Image

p70 S6K (phospho Thr421/Ser424) antibody [HL5] detects p70 S6K (phospho Thr421/Ser424) protein by immunohistochemical analysis.
Sample: Paraffin-embedded rat pancreas.
p70 S6K (phospho Thr421/Ser424) stained by p70 S6K (phospho Thr421/Ser424) antibody [HL5] (GTX635621) diluted at 1:100.
Antigen Retrieval: Citrate buffer, pH 6.0, 15 min

9 / 9
Anti-p70 S6K (phospho Thr421/Ser424) antibody [HL129] used in Western Blot (WB). GTX635621
Anti-p70 S6K (phospho Thr421/Ser424) antibody [HL129] used in Western Blot (WB). GTX635621
Anti-p70 S6K (phospho Thr421/Ser424) antibody [HL129] used in IHC (Paraffin sections) (IHC-P). GTX635621
Anti-p70 S6K (phospho Thr421/Ser424) antibody [HL129] used in Western Blot (WB). GTX635621
Anti-p70 S6K (phospho Thr421/Ser424) antibody [HL129] used in  (). GTX635621
Anti-p70 S6K (phospho Thr421/Ser424) antibody [HL129] used in Western Blot (WB). GTX635621
Anti-p70 S6K (phospho Thr421/Ser424) antibody [HL129] used in Western Blot (WB). GTX635621
Anti-p70 S6K (phospho Thr421/Ser424) antibody [HL129] used in IHC (Paraffin sections) (IHC-P). GTX635621
Anti-p70 S6K (phospho Thr421/Ser424) antibody [HL129] used in IHC (Paraffin sections) (IHC-P). GTX635621
  • Host
    Rabbit
  • Clonality
    Monoclonal
  • Clone Name
    HL129
  • Isotype
    IgG
  • Applications
    WB IHC-P
  • Reactivity
    Human, Mouse, Rat
See all p70 S6K products