p90 RSK1 (phospho Thr359) antibody

Cat. No. GTX50169
Cat. No.  GTX50169
Anti-p90 RSK1 (phospho Thr359) antibody used in Immunocytochemistry/ Immunofluorescence (ICC/IF). GTX50169
GTX50169 ICC/IF Image

ICC/IF analysis of methanol-fixed HeLa cells using GTX50169 p90 RSK1 (phospho Thr359) antibody.

1 / 3
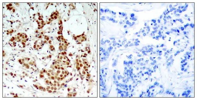
Anti-p90 RSK1 (phospho Thr359) antibody used in IHC (Paraffin sections) (IHC-P). GTX50169
GTX50169 IHC-P Image

IHC-P analysis of human breast carcinoma tissue using GTX50169 p90 RSK1 (phospho Thr359) antibody.
Left : Primary antibody
Right : Primary antibody pre-incubated with the antigen specific peptide

2 / 3
Anti-p90 RSK1 (phospho Thr359) antibody used in Western Blot (WB). GTX50169
GTX50169 WB Image

WB analysis of extracts from HeLa cells untreated or treated with UV using GTX50169 p90 RSK1 (phospho Thr359) antibody.

3 / 3
Anti-p90 RSK1 (phospho Thr359) antibody used in Immunocytochemistry/ Immunofluorescence (ICC/IF). GTX50169
Anti-p90 RSK1 (phospho Thr359) antibody used in IHC (Paraffin sections) (IHC-P). GTX50169
Anti-p90 RSK1 (phospho Thr359) antibody used in Western Blot (WB). GTX50169
  • Host
    Rabbit
  • Clonality
    Polyclonal
  • Isotype
    IgG
  • Applications
    WB ICC/IF IHC-P
  • Reactivity
    Human
See all p90 RSK1 products