pan Cytokeratin antibody [7H8]

Cat. No. GTX83116
Cat. No.  GTX83116
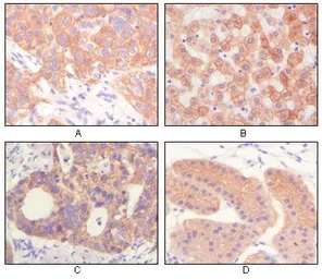
Anti-pan Cytokeratin antibody [7H8] used in IHC (Paraffin sections) (IHC-P). GTX83116
GTX83116 IHC-P Image

IHC-P analysis of human lung squamous cell carcinoma (A),normal hepatocyte (B), colon adenocacinoma, normal stomach tissue (D) using GTX83116 pan Cytokeratin antibody [7H8].

1 / 2
Anti-pan Cytokeratin antibody [7H8] used in Immunocytochemistry/ Immunofluorescence (ICC/IF). GTX83116
GTX83116 ICC/IF Image

ICC/IF analysis of methanol-fixed Eca-109 cells using GTX83116 pan Cytokeratin antibody [7H8].
Green : pan Cytokeratin
Blue: DRAQ5 fluorescent DNA dye

2 / 2
Anti-pan Cytokeratin antibody [7H8] used in IHC (Paraffin sections) (IHC-P). GTX83116
Anti-pan Cytokeratin antibody [7H8] used in Immunocytochemistry/ Immunofluorescence (ICC/IF). GTX83116
  • Host
    Mouse
  • Clonality
    Monoclonal
  • Clone Name
    7H8
  • Isotype
    IgG1
  • Applications
    ICC/IF IHC-P ELISA
  • Reactivity
    Human
See all pan Cytokeratin products