proBDNF antibody

Cat. No. GTX04075
Cat. No.  GTX04075
Anti-proBDNF antibody used in IHC (Frozen sections) (IHC-Fr). GTX04075
GTX04075 IHC-Fr Image

IHC-Fr analysis of rat hippocampus dentate gyrus tissue using GTX04075 proBDNF antibody.
Panel A : BDNF staining (red) appears in interneuron outlines in the hilus (H) region and in the granule layer (G).
Panel B : proBDNF staining (GTX04075, green) in the same section appears in interneuron outlines in the hilus (H) region and in the granule layer (G).
Dilution : 1:200

1 / 4
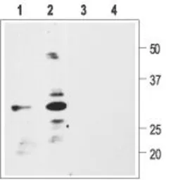
Anti-proBDNF antibody used in Western Blot (WB). GTX04075
GTX04075 WB Image

WB analysis of various cell lysates using GTX04075 proBDNF antibody.
Lane 1 : C6 cell lysates
Lane 2 : SH-SY5Y cell lysates
Lane 3 : C6 cell lysates treated with blocking peptide
Lane 4 : SH-SY5Y cell lyates treated with blocking peptide
Dilution : 1:200

2 / 4
Anti-proBDNF antibody used in Western Blot (WB). GTX04075
GTX04075 WB Image

WB analysis of recombinant proteins using GTX04075 proBDNF antibody.
Lane 1 : 20 ng Human proBDNF
Lane 2 : 200 ng Human proNGF
Lane 3 : 200 ng proNT-3
Lane 4 : 200 ng Human BDNF
Lane 5 : 200 ng Native mouse NGF 2.5S protein
Lane 6 : 200 ng Human Neurotrophin-3 (NT-3)
Dilution : 1:400

3 / 4
Anti-proBDNF antibody used in IHC (Frozen sections) (IHC-Fr). GTX04075
GTX04075 IHC-Fr Image

IHC-Fr analysis of rat cerebellum tissue using GTX04075 proBDNF antibody. proBDNF (Red) appears in Purkinje cell bodies (vertical arrows) and in astrocytic processes (horizontal arrows in panel A) but not in Purkinje neuronal dendrites stained for calbindin D28k (Green, in panel B) in the same brain section.

4 / 4
Anti-proBDNF antibody used in IHC (Frozen sections) (IHC-Fr). GTX04075
Anti-proBDNF antibody used in Western Blot (WB). GTX04075
Anti-proBDNF antibody used in Western Blot (WB). GTX04075
Anti-proBDNF antibody used in IHC (Frozen sections) (IHC-Fr). GTX04075
  • Host
    Rabbit
  • Clonality
    Polyclonal
  • Isotype
    IgG
  • Applications
    WB IHC-Fr IP
  • Reactivity
    Human, Mouse, Rat
See all BDNF products