tPA antibody [HL2585]

Cat. No. GTX639036
Cat. No.  GTX639036
Anti-tPA antibody [HL2585] used in IHC (Paraffin sections) (IHC-P). GTX639036
GTX639036 IHC-P Image

tPA antibody [HL2585] detects tPA protein by immunohistochemical analysis.
Sample: Paraffin-embedded rat tissues.
tPA stained by tPA antibody [HL2585] (GTX639036) diluted at 1:100.
Antigen Retrieval: Citrate buffer, pH 6.0, 15 min

1 / 6
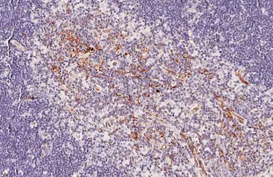
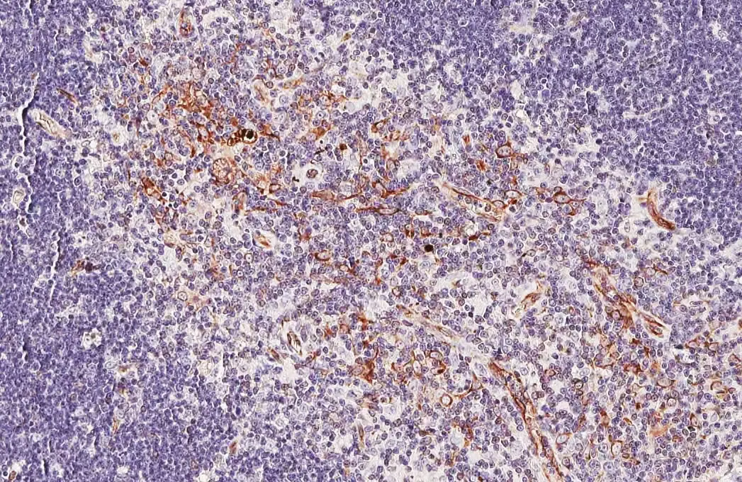
Anti-tPA antibody [HL2585] used in IHC (Paraffin sections) (IHC-P). GTX639036
GTX639036 IHC-P Image

tPA antibody [HL2585] detects tPA protein by immunohistochemical analysis.
Sample: Paraffin-embedded rat thymus gland.
tPA stained by tPA antibody [HL2585] (GTX639036) diluted at 1:100.
Antigen Retrieval: Citrate buffer, pH 6.0, 15 min

2 / 6
Anti-tPA antibody [HL2585] used in IHC (Paraffin sections) (IHC-P). GTX639036
GTX639036 IHC-P Image

tPA antibody [HL2585] detects tPA protein by immunohistochemical analysis.
Sample: Paraffin-embedded mouse tissues.
tPA stained by tPA antibody [HL2585] (GTX639036) diluted at 1:100.
Antigen Retrieval: Citrate buffer, pH 6.0, 15 min

3 / 6
Anti-tPA antibody [HL2585] used in IHC (Paraffin sections) (IHC-P). GTX639036
GTX639036 IHC-P Image

tPA antibody [HL2585] detects tPA protein by immunohistochemical analysis.
Sample: Paraffin-embedded mouse tissues.
tPA stained by tPA antibody [HL2585] (GTX639036) diluted at 1:100.
Antigen Retrieval: Citrate buffer, pH 6.0, 15 min

4 / 6
Anti-tPA antibody [HL2585] used in IHC (Paraffin sections) (IHC-P). GTX639036
GTX639036 IHC-P Image

tPA antibody [HL2585] detects tPA protein by immunohistochemical analysis.
Sample: Paraffin-embedded human tissues.
tPA stained by tPA antibody [HL2585] (GTX639036) diluted at 1:200.
Antigen Retrieval: Citrate buffer, pH 6.0, 15 min

5 / 6
Anti-tPA antibody [HL2585] used in Western Blot (WB). GTX639036
GTX639036 WB Image

Various whole cell extracts (30 μg) were separated by 7.5% SDS-PAGE, and the membrane was blotted with tPA antibody [HL2585] (GTX639036) diluted at 1:1000. The HRP-conjugated anti-rabbit IgG antibody (GTX213110-01) was used to detect the primary antibody.

6 / 6
Anti-tPA antibody [HL2585] used in IHC (Paraffin sections) (IHC-P). GTX639036
Anti-tPA antibody [HL2585] used in IHC (Paraffin sections) (IHC-P). GTX639036
Anti-tPA antibody [HL2585] used in IHC (Paraffin sections) (IHC-P). GTX639036
Anti-tPA antibody [HL2585] used in IHC (Paraffin sections) (IHC-P). GTX639036
Anti-tPA antibody [HL2585] used in IHC (Paraffin sections) (IHC-P). GTX639036
Anti-tPA antibody [HL2585] used in Western Blot (WB). GTX639036
  • Host
    Rabbit
  • Clonality
    Monoclonal
  • Clone Name
    HL2585
  • Isotype
    IgG
  • Applications
    WB IHC-P
  • Reactivity
    Human, Mouse, Rat
See all tPA products