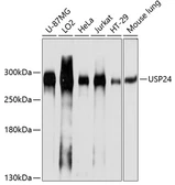
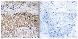
2 Search results for
NP_056121
Product
Images
Description
Applications
Reactivity
Price
-
$419100μl
-
$419100μg