Cancer Tissue Gallery- GTX643511

BRD4 antibody [HMV4275] HistoMAX™

 

Go to Normal Tissue Gallery
  
 Go back to product page
  

Go to HistoMAX page

 

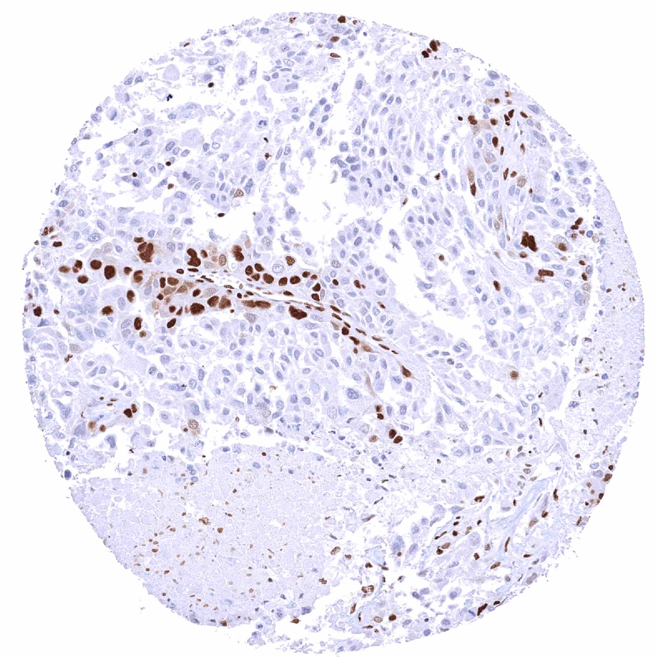
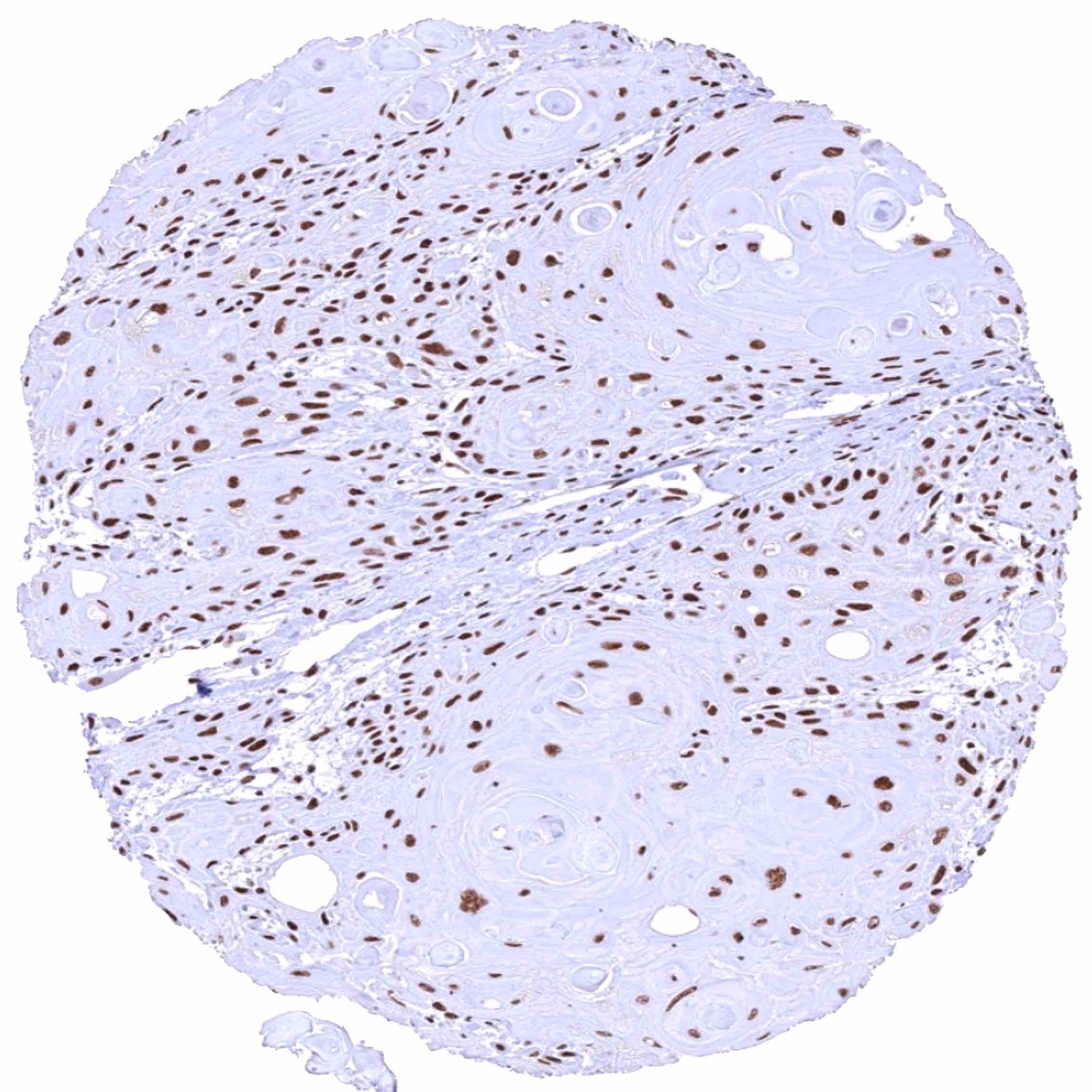
Breast – Invasive breast cancer of no special type (NST) with absent or markedly reduced BRD4 staining of most tumor cells while nuclear BRD4 staining is distinct in inflammatory cells.

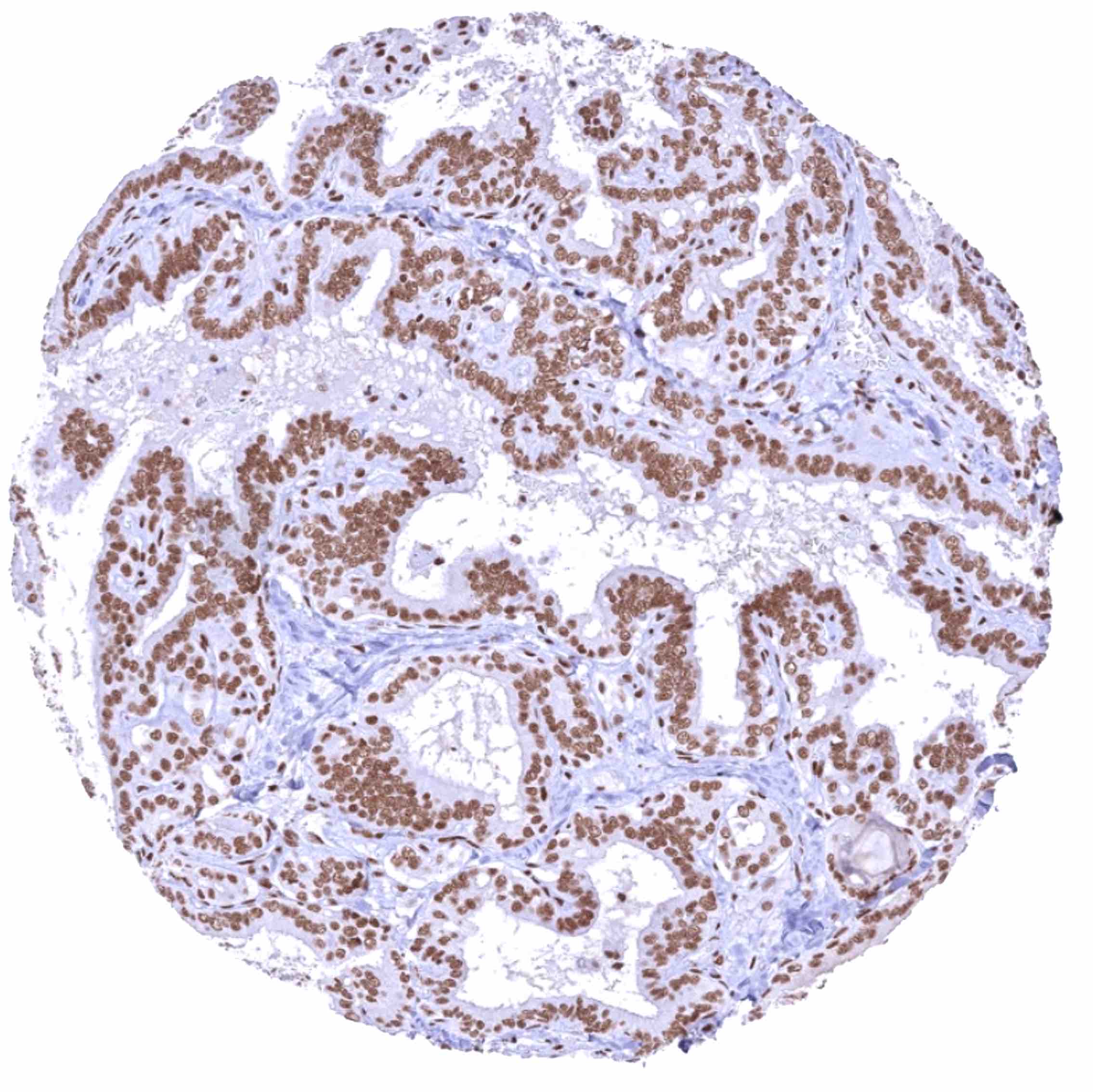
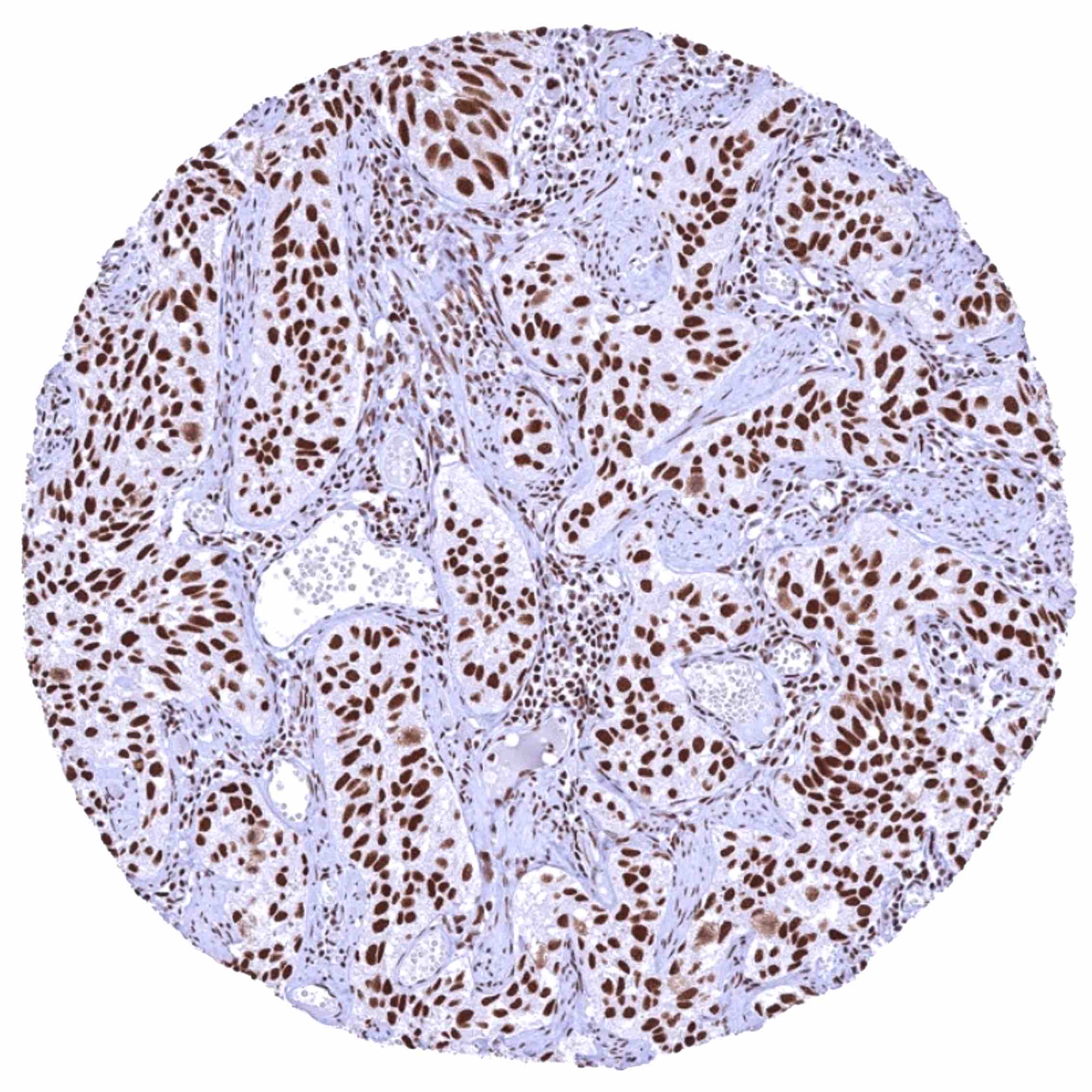
Breast – Invasive breast cancer of no special type (NST) with intense BRD4 positivity of tumor cells.

Breast – Invasive lobular breast cancer with strong BRD4 staining of cancer cells.

Colon – Colorectal adenocarcinoma with intense BRD4 immunostaining of tumor cells.

       

Colon – Colorectal adenocarcinoma with strong BRD4 positivity of tumor cells.

Esophagus – Adenocarcinoma with reduced or even absent BRD4 staining of tumor cells. Distinct nuclear BRD4 staining of inflammatory cells.

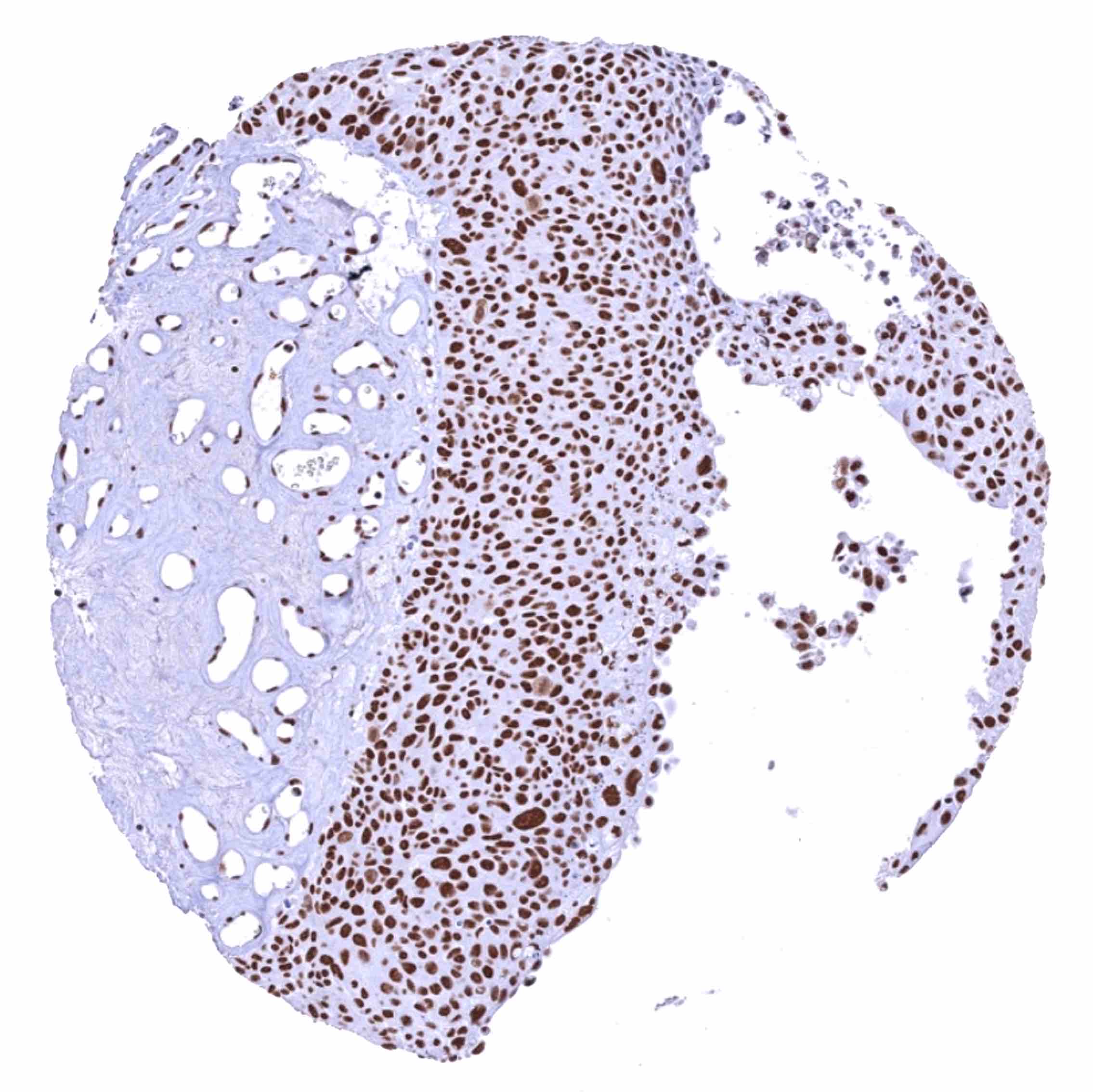
Kidney – Clear cell renal cell carcinoma with strong BRD4 staining of all tumor cells.

Kidney – Clear cell renal cell carcinoma with weak BRD4 staining of a subset tumor cells. BRD4 staining is more intense in stromal cells.

       

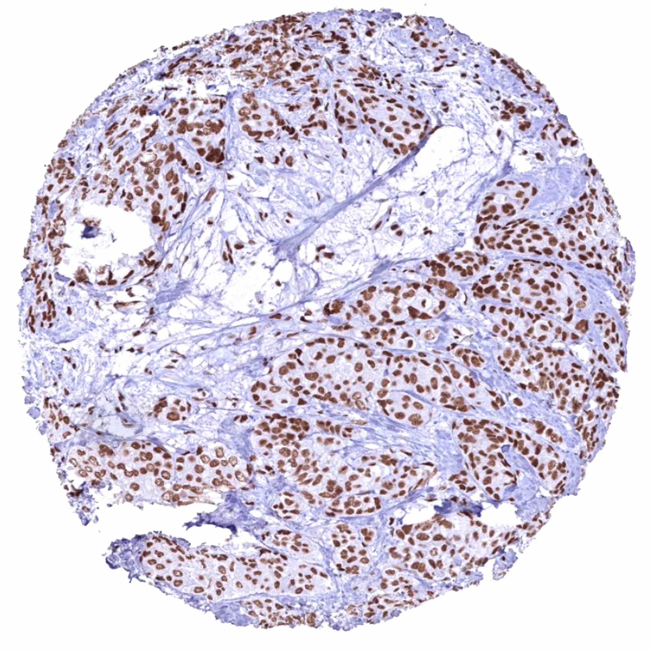
Kidney – Oncocytoma with strong BRD4 staining of tumor cells.

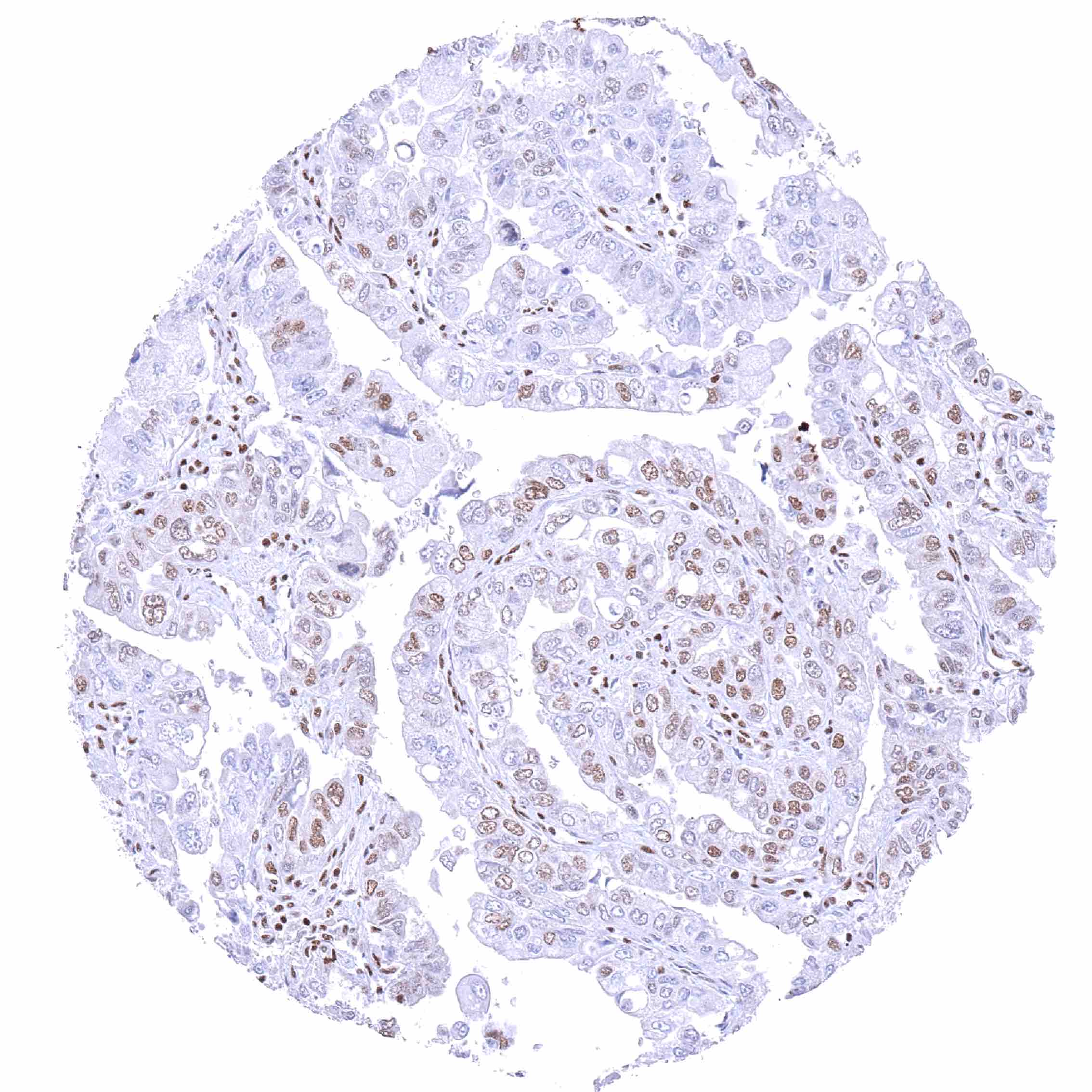
Kidney – Papillary renal cell carcinoma showing an intense BRD4 positivity of all tumor cells.

Kidney, pelvis – Invasive urothelial carcinoma with absence of BRD4 staining in most tumor cells while a small subset of cancer cells shows strong BRD4 positivity.

Lung – Adenocarcinoma with high level BRD4 staining of tumor cells.

       

Lung – Malignant mesothelioma with intense BRD4 staining of tumor cells.

Lung – Malignant mesothelioma with weak BRD4 staining of tumor cells.

Lung – Squamous cell carcinoma with strong BRD4 staining of tumor cells.

Lymph node – Follicular B-cell lymphoma lacking BRD4 staining in most or all tumor cells.

       

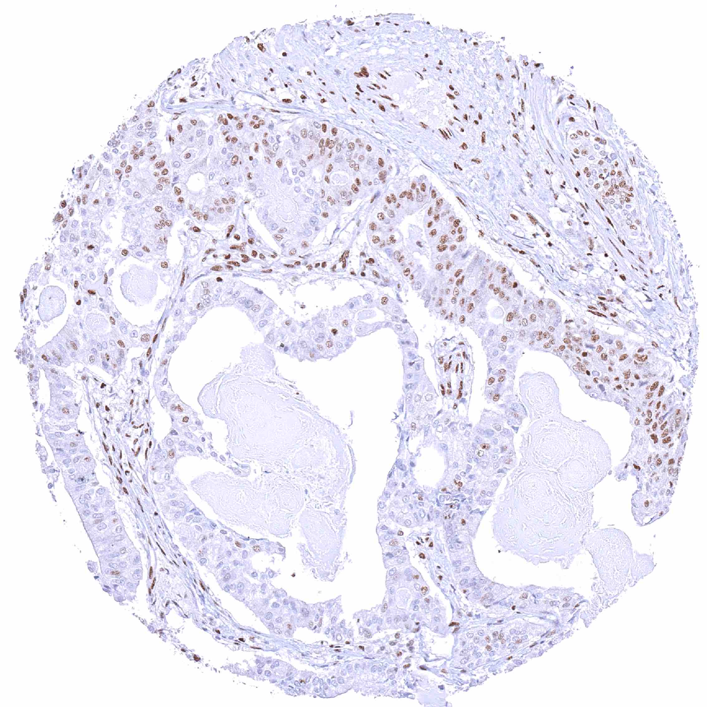
Oral cavity – Well differentiated squamous cell carcinoma with strong BRD4 immunostaining of tumor cells.

Ovary – Clear cell carcinoma with intense BRD4 staining of all cancer cells.

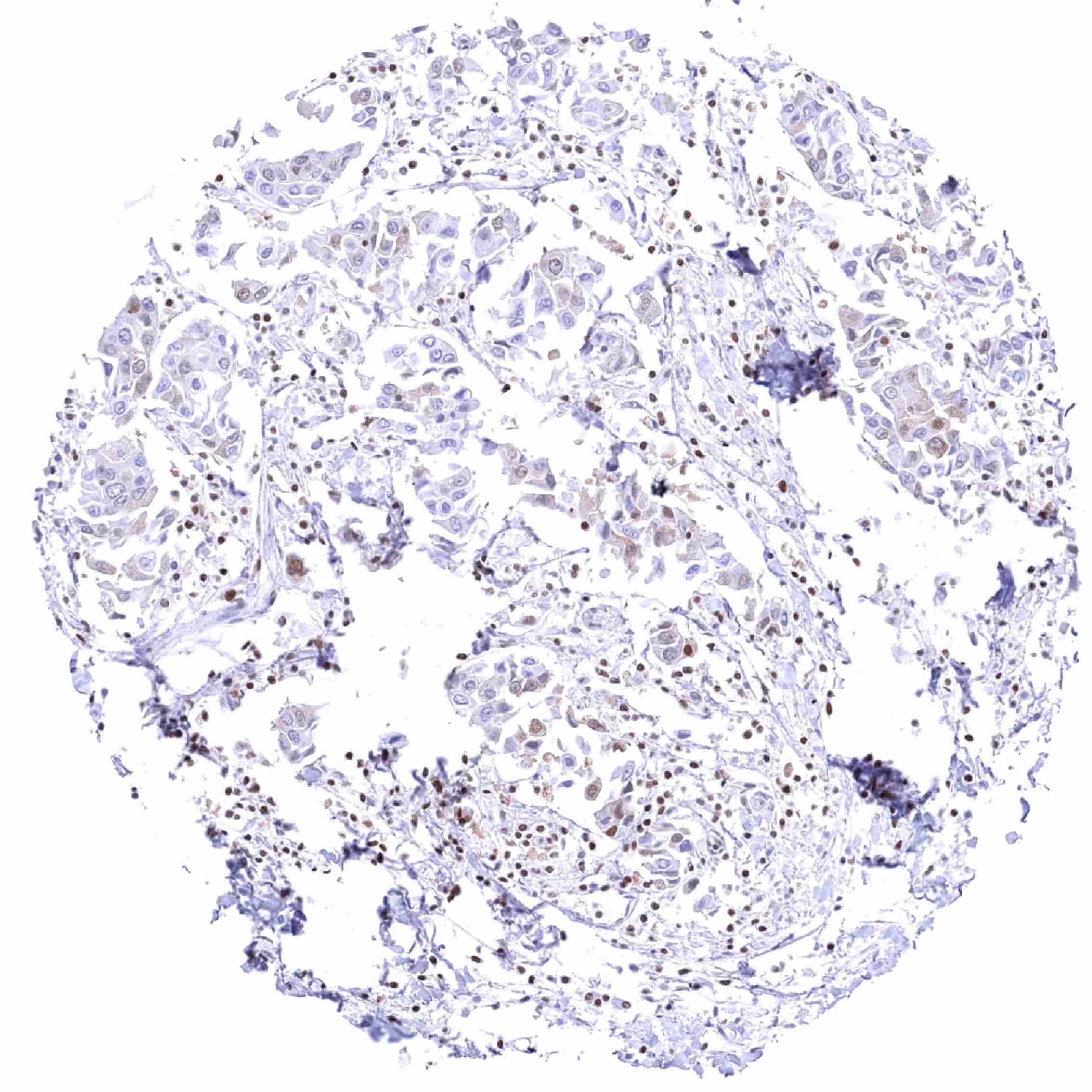
Ovary – Endometroid carcinoma with low intensity BRD4 staining of tumor cells.

Ovary – Serous high-grade carcinoma with strong BRD4 immunostaining of a small subset of tumor cells while staining is completely absent in most of the remaining cells.

       

Ovary – Serous high-grade carcinoma with strong BRD4 staining of all tumor cells.

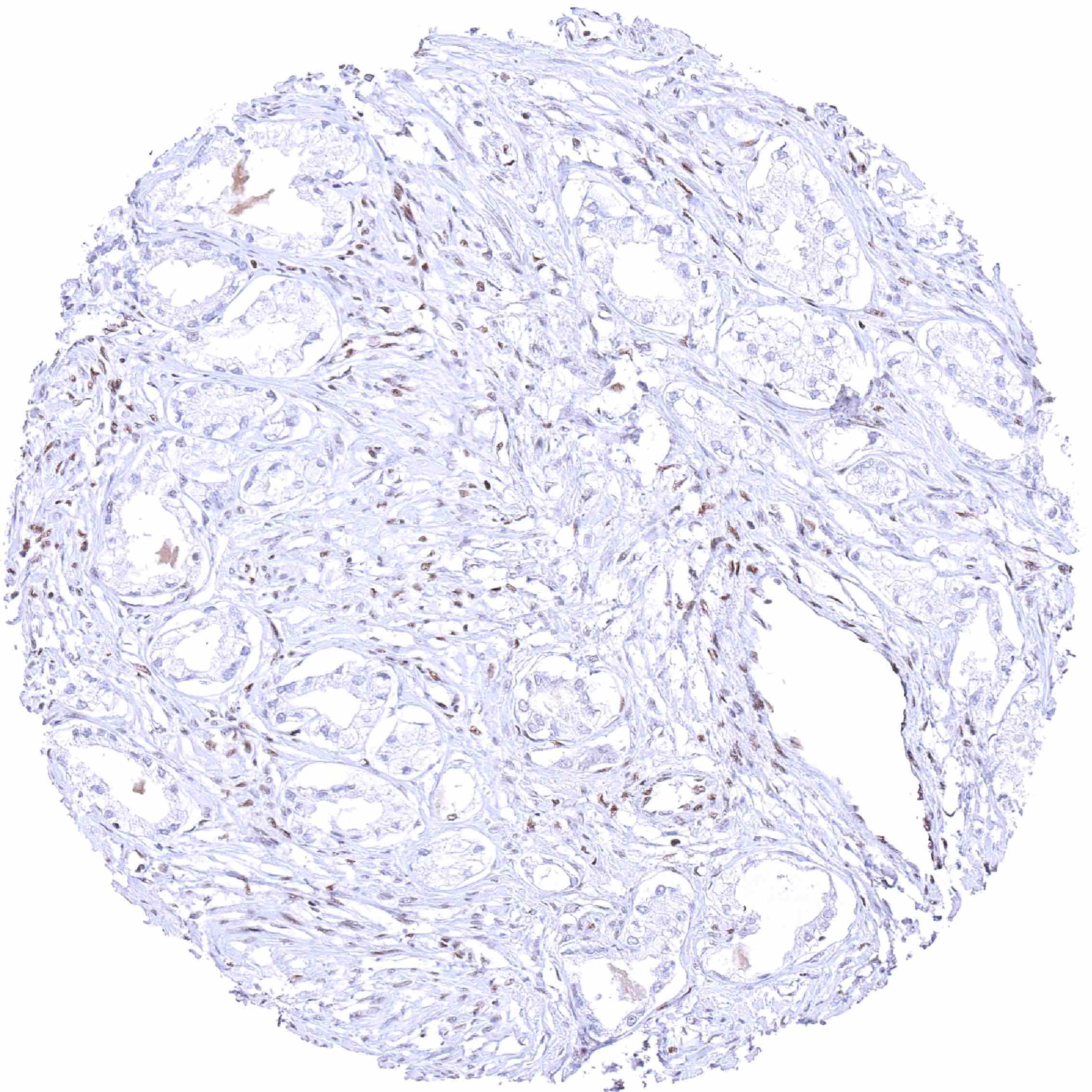
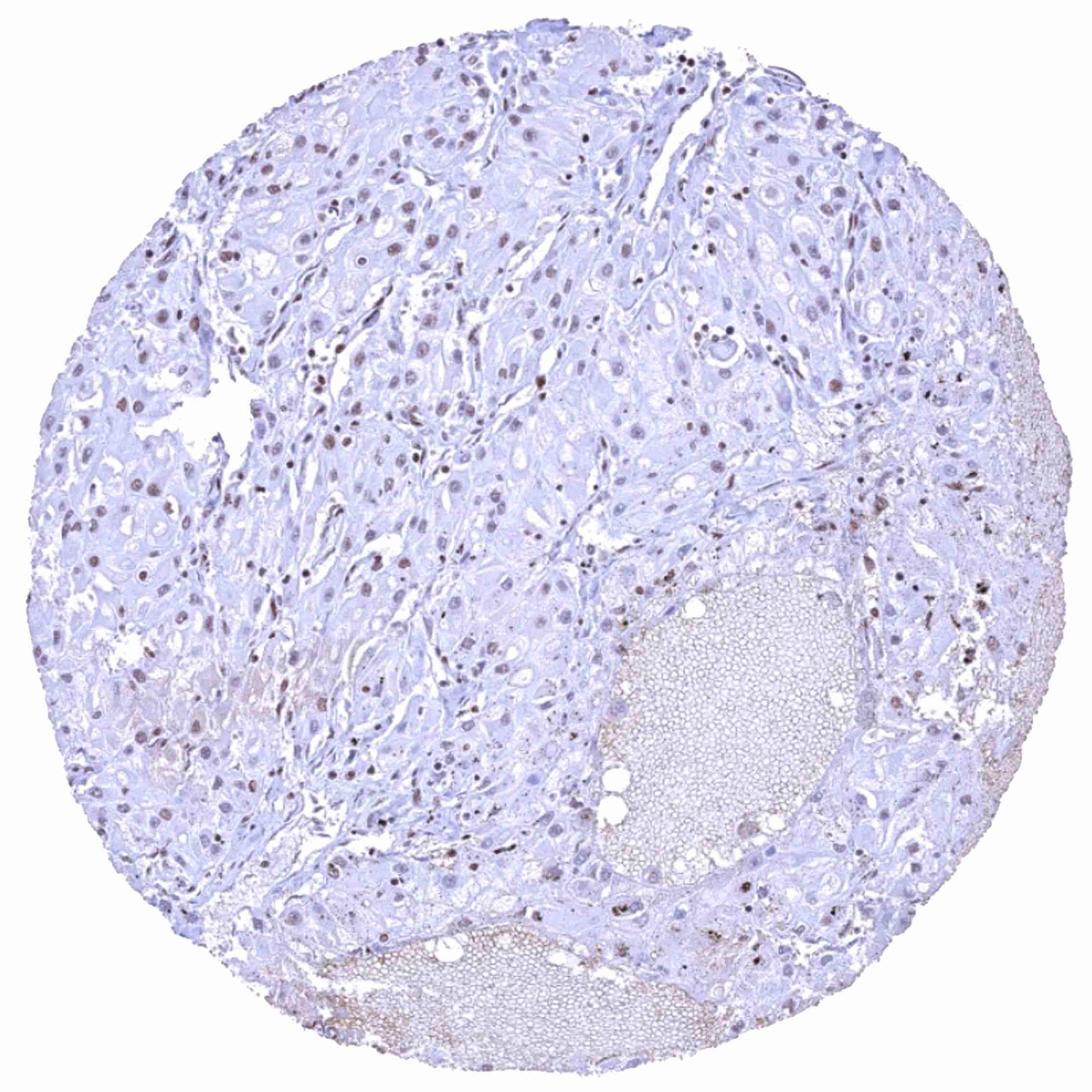
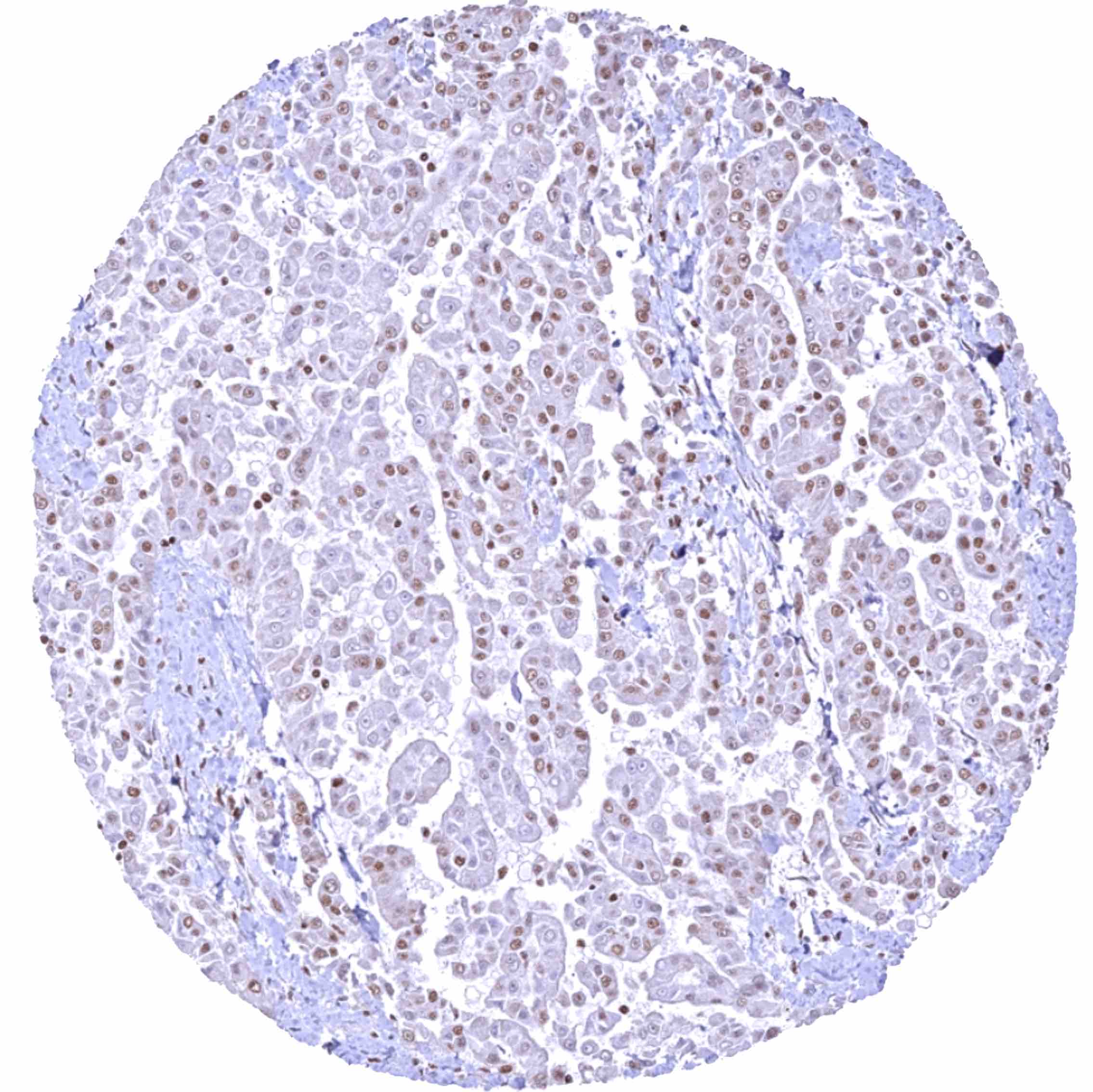
Prostate – Adenocarcinoma (Gleason 3+3=6) with only a weak BRD4 staining of tumor cells while staining is markedly more intense in non-neoplastic glands.

Prostate – BRD4 negative adenocarcinoma (Gleason 3+3=6). A nuclear BRD4 staining is only seen in stroma cells.

Prostate – BRD4 negative adenocarcinoma (Gleason 3+3=6). Distinct nuclear BRD4 staining of inflammatory cells.

       

Stomach – Gastric adenocarcinoma (intestinal type) with BRD4 loss in a fraction of tumor cells. Distinct nuclear BRD4 staining of inflammatory cells.

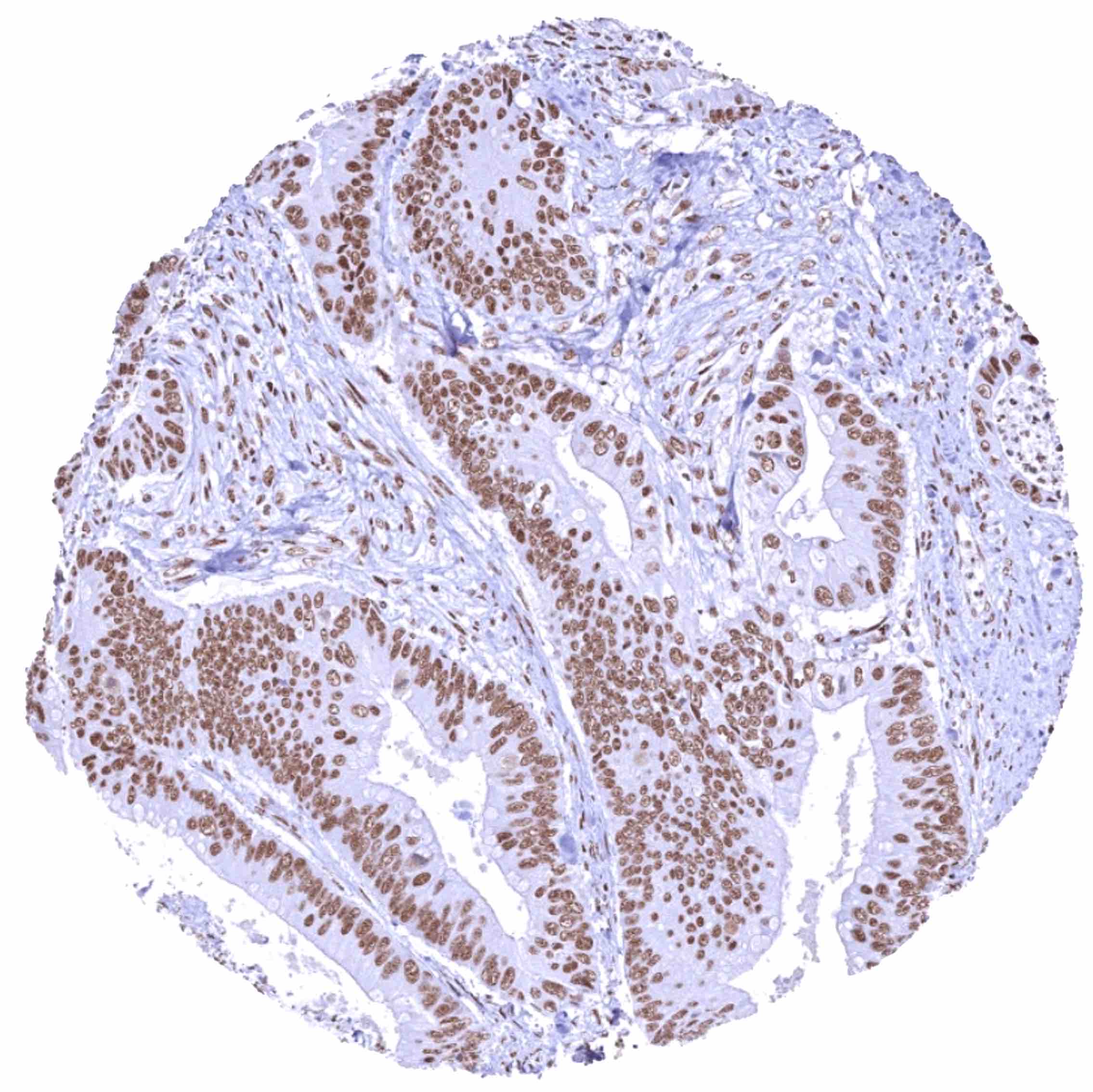
Thyroid – Papillary cancer with strong BRD4 positivity of tumor cells.

Urinary bladder – Muscle-invasive urothelial carcinoma with intense BRD4 staining of all tumor cells.

Urinary bladder – Non-invasive urothelial carcinoma (low grade, pTaG2) with strong BRD4 staining of tumor cells.

       

 

| TOP |