Cancer Tissue Gallery- GTX04455

CDH16 antibody [MSVA-516R] HistoMAX

 

Go to Normal Tissue Gallery
  
 Go back to product page
  

Go to HistoMAX page

 

Adrenal gland - CDH16 negative adrenocortical adenoma.

Esophagus - CDH16 negative adenocarcinoma.

Kidney - Chromophobe renal cell carcinoma with strong CDH16 immunostaining of tumor cells (CDH16 immunohistochemistry)

Kidney - Clear cell renal cell carcinoma with weak to moderate CDH16 staining of a fraction of tumor cells (CDH16 immunohistochemistry).

       

Kidney - Oncocytoma with strong CDH16 immunostaining of tumor cells (CDH16 immunohistochemistry).

Kidney - Papillary renal cell carcinoma with weak CDH16 staining of most tumor cells (CDH16 immunohistochemistry).

Liver - CDH16 negative hepatocellular carcinoma.

Lung - CDH16 negative adenocarcinoma.

       

Lung - CDH16 negative small cell carcinoma.

Lung - CDH16 negative squamous cell carcinoma.

Lung - Neuroendocrine tumor showing strong CDH16 staining of tumor cells (CDH16 immunohistochemistry).

Lymph node - CDH16 negative Hodgkin's lymphoma.

       

Oral cavity - CDH16 negative squamous cell carcinoma.

Ovary - CDH16 negative serous high-grade carcinoma.

Ovary - Clear cell carcinoma with strong CDH16 immunostaining of tumor cells (CDH16 immunohistochemistry).

Ovary - Endometroid carcinoma with strong CDH16 immunostaining of tumor cells (CDH16 immunohistochemistry).

       

Pancreas - CDH16 negative neuroendocrine tumor.

Pancreas - Neuroendocrine tumor with moderate to strong CDH16 positivity of tumor cells (CDH16 immunohistochemistry)

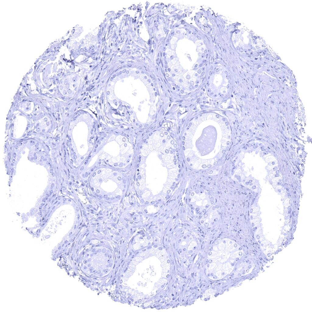
Prostate - CDH16 negative adenocarcinoma (Gleason 3+3=6)

Salivary gland - CDH16 negative Warthin tumor.

       

Soft tissue - CDH16 negative leiomyosarcoma.

Soft tissue - CDH16 negative liposarcoma.

Stomach - CDH16 negative adenocarcinoma.

Stomach - CDH16 negative gastrointestinal stromal tumor (GIST).

       

Testis - CDH16 negative seminoma

Thyroid - CDH16 negative medullary carcinoma.

Thyroid - CDH16 negative papillary carcinoma invading CDH16 positive normal thyroid (CDH16 immunohistochemistry)

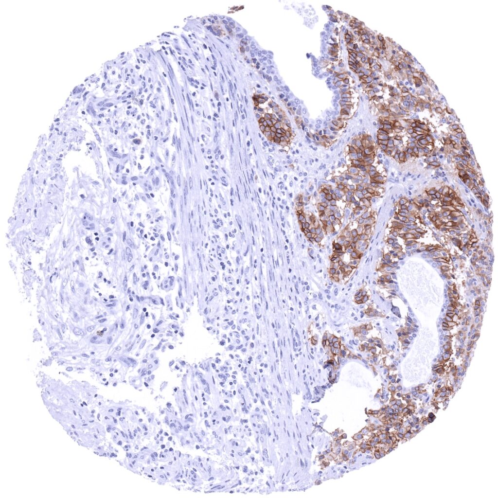
Thyroid - CDH16 staining is lacking in a papillary thyroid carcinoma but clearly visible in adjacent normal thyroid (CDH16 immunohistochemistry).

       

Thyroid - Complete lack of CDH16 staining in a follicular carcinoma (CDH16 immunohistochemistry)

Thyroid - Complete lack of CDH16 staining in a papillary carcinoma (CDH16 immunohistochemistry).

Thyroid - Follicular adenoma with strong CDH16 immunostaining of tumor cells (CDH16 immunohistochemistry).

Urinary bladder - CDH16 negative muscle-invasive urothelial carcinoma.

       

Uterus - Endometroid endometrium carcinoma with weak to moderate CDH16 immunostaining of the majority of tumor cells (CDH16 immunohistochemistry).

Uterus, cervix - Adenocarcinoma with strong CDH16 staining in about 60_ of tumor cells (CDH16 immunohistochemistry).

   

 

| TOP |