Cancer Tissue Gallery- GTX639941

HMGB1 antibody [HMV317] HistoMAXTM

 

Go to Normal Tissue Gallery
  
 Go back to product page
  

Go to HistoMAX page

 

Adrenal gland – Adrenocortical adenoma with weak to moderate HMGB1 staining of tumor cells

Adrenal gland – Pheochromocytoma lacking HMGB1 staining in tumor cells

Adrenal gland – Pheochromocytoma with absence HMGB1 staining in tumor cells

Esophagus – Adenocarcinoma showing a strong HMGB1 staining of tumor cells

       

Esophagus – Squamous cell carcinoma lacking HMGB1 staining in tumor cells

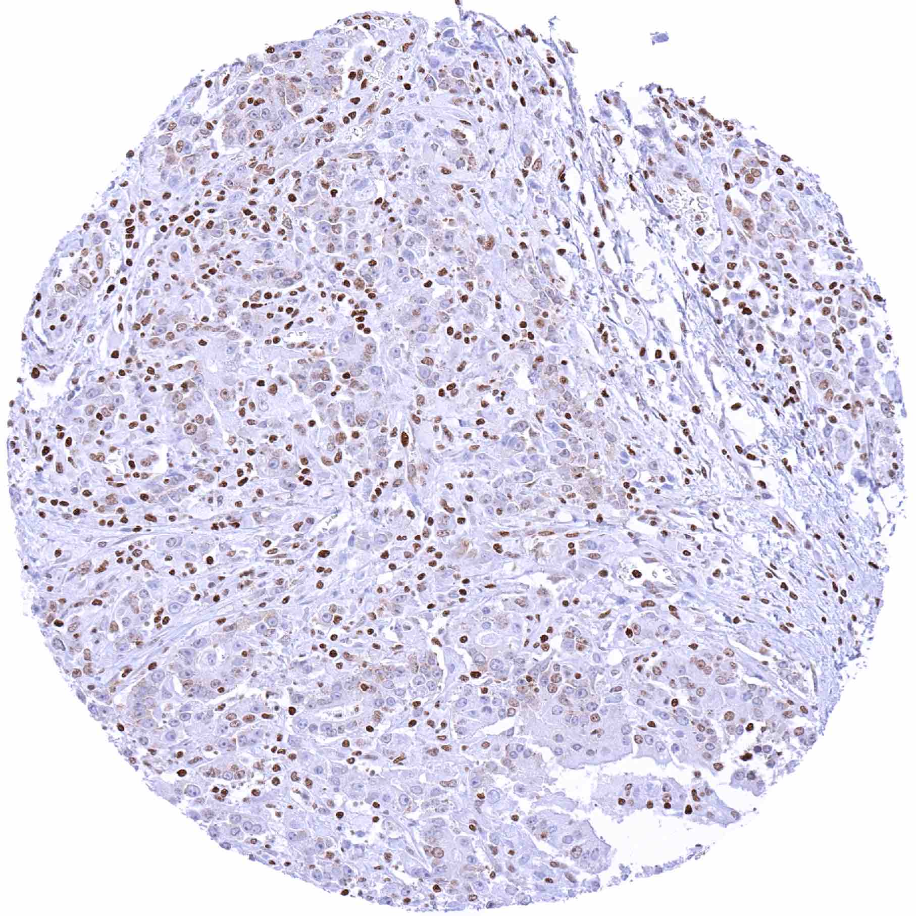
Esophagus – Squamous cell carcinoma with strong HMGB1 staining of tumor cells

Kidney – Chromophobe renal cell carcinoma with a complete loss of HMGB1 staining of tumor cells

Kidney – Chromophobe renal cell carcinoma with strong HMGB1 immunostaining of all tumor cells

       

Kidney – Clear cell renal cell carcinoma with a complete loss of HMGB1 staining i tumor cells

Kidney – Clear cell renal cell carcinoma with strong HMGB1 staining of all tumor cells

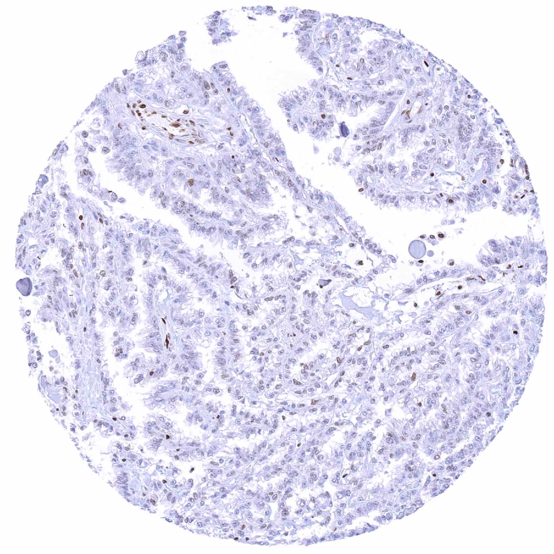
Kidney – Papillary renal cell carcinoma lacking HMGB1 staining in tumor cells

Kidney – Papillary renal cell carcinoma with strong HMGB1 positivity of tumor cells

       

Liver – Cholangiocellular carcinoma lacking HMGB1 immunostaining in tumor cells

Liver – Cholangiocellular carcinoma with moderate to strong HMGB1 staining of tumor cells

Liver – Hepatocellular carcinoma with moderate to strong HMGB1 staining of tumor cells

Lung – Malignant mesothelioma with only a faint HMGB1 staining of tumor cells

       

Lymph node – Angioimmunoblastic T-cell lymphoma with absence of HMGB1 positivity in the tumor cells

Oral cavity – Squamous cell carcinoma lacking HMGB1 staining in tumor cells

Oral cavity – Squamous cell carcinoma with moderate intensity HMGB1 staining of tumor cells

Oral cavity – Squamous cell carcinoma with strong HMGB1 immunostaining of tumor cells

       

Ovary – Clear cell carcinoma showing a complete lack of HMGB1 staining in tumor cells

Ovary – Malignant mixed Mullerian tumor exhibiting a strong HMGB1 staining of tumor cells

Pancreas – Neuroendocrine tumor with strong HMGB1 positivity of tumor cells

Prostate – Adenocarcinoma (Gleason 3+3=6) largely lacking HMGB1 staining of tumor cells

       

Prostate – Adenocarcinoma (Gleason 5+5=10) lacking HMGB1 staining in tumor cells

Prostate – Adenocarcinoma (Gleason 5+5=10) with strong nuclear and moderate cytoplasmic HMGB1 staining of tumor cells

Prostate – Recurrent adenocarcinoma (Gleason 5+5=10) after hormonal therapy now showing a complete loss HMGB1 staining of tumor cells

Salivary gland – Warthin tumor with strong HMGB1 staining of tumor and inflammatory cells

       

Soft tissue – Chondrosarcoma largely lacking HMGB1 staining of tumor cells

Soft tissue – Primitive neuroektodermal tumor (PNET) showing intense HMGB1 staining of tumor cells

Soft tissue – Sarcoma NOS largely lacking HMGB1 staining in tumor cells

Soft tissue – Sarcoma NOS showing absence of HMGB1 staining in tumor cells

       

Soft tissue – Sarcoma NOS with strong HMGB1 immunostaining of tumor cells

Stomach – Gastric adenocarcinoma (intestinal type) with strong nuclear and moderate cytoplasmic HMGB1 staining of tumor cells

Stomach – Gastric adenocarcinoma largely lacking HMGB1 staining in tumor cells

Stomach – Gastrointestinal stromal tumor (GIST) lacking HMGB1 staining of tumor cells

       

Stomach – Gastrointestinal stromal tumor (GIST) with moderate to strong HMGB1 immunostaining of tumor cells

Testis – Seminoma lacking HMGB1 immunostaining in tumor cells

Urinary bladder – Muscle-invasive urothelial carcinoma showing a strong HMGB1 positivity of all tumor cells

Uterus – Leiomyosarcoma with moderate HMGB1 immunostaining of tumor cells

       

Vulva – Squamous cell carcinoma with largely lacking HMGB1 staining of tumor cells

Vulva – Squamous cell carcinoma with strong HMGB1 staining of tumor cells

   

 

| TOP |