Cancer Tissue Gallery- GTX04478

Hepatocyte Specific Antigen antibody [MSVA-OCE5] HistoMAX

 

Go to Normal Tissue Gallery
  
 Go back to product page
  

Go to HistoMAX page

 

Breast- Hepatocyte negative invasive breast cancer of no special type (NST)

Colon- Colorectal adenocarcinoma showing a weak focal Hepatocyte positivity

Esophagus- Adenocarcinoma with strong Hepatocyte positivity of tumor cells

Esophagus- Hepatocyte negative squamous cell carcinoma

       

Kidney- Hepatocyte negative clear cell carcinoma

Liver- Hepatocellular carcinoma showing a strong cytoplasmic Hepatocyte staining of most tumor cells

Liver- Hepatocellular carcinoma with strong Hepatocyte immunostaining of all tumor cells

Liver- Hepatocyte negative cholangiocellular carcinoma

       

Lung- Hepatocyte negative malignant mesothelioma (epitheloid)

Lung- Hepatocyte negative small cell carcinoma

Lymph node- Hepatocyte negative diffuse large B-cell lymphoma

Lymph node- Hepatocyte negative Hodgkin’s lymphoma

       

Ovary- Hepatocyte negative serous high-grade carcinoma

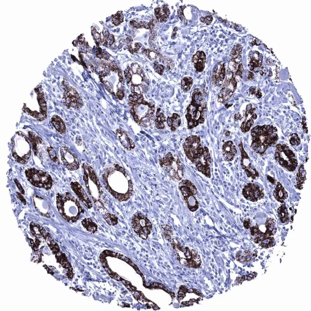
Pancreas- Adenocarcinoma of the papilla Vaterii with strong Hepatocyte staining of tumor cells

Pancreas- Hepatocyte negative neuroendocrine tumor

Penis- Squamous cell carcinoma with strong diffuse Hepatocyte staining of tumor cells

       

Prostate- Hepatocyte negative adenocarcinoma (Gleason 3+3=6)

Salivary gland- Hepatocyte negative Warthin tumor

Stomach- Gastric adenocarcinoma (diffuse type) with strong Hepatocyte staining of all tumor cells

Stomach- Gastric adenocarcinoma (intestinal type) exhibiting a strong Hepatocyte staining of tumor cells

       

Stomach- Hepatocyte negative gastrointestinal stromal tumor (GIST)

Testis- Hepatocyte negative Leydig cell tumor

Testis- Hepatocyte negative seminoma

Thyroid- Hepatocyte negative medullary carcinoma

       

Thyroid- Hepatocyte negative papillary carcinoma

Urinary bladder- Muscle-invasive urothelial carcinoma showing a diffuse weak Hepatocyte positivity of tumor cells

Uterus- Cervical adenocarcinoma with focal weak to moderate Hepatocyte positivity of tumor cells

Uterus, cervix- Hepatocyte negative squamous cell carcinoma

       

 

| TOP |