Cancer Tissue Gallery- GTX639935

KDM6A antibody [HMV311] HistoMAXTM

 

Go to Normal Tissue Gallery
  
 Go back to product page
  

Go to HistoMAX page

 

Adrenal gland – Adrenocortical adenoma with moderate KDM6A staining of tumor cells

Breast – Invasive breast cancer of no special type (NST) with strong KDM6A staining of all tumor cells

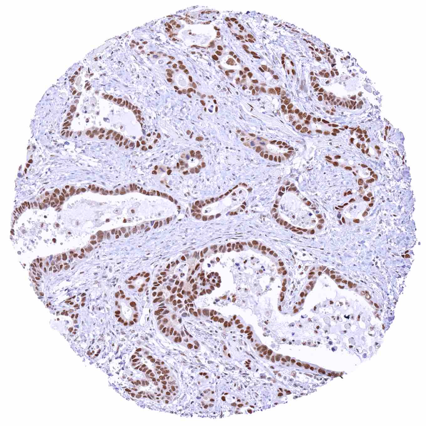
Breast – Invasive lobular breast cancer with strong KDM6A positivity of tumor cells

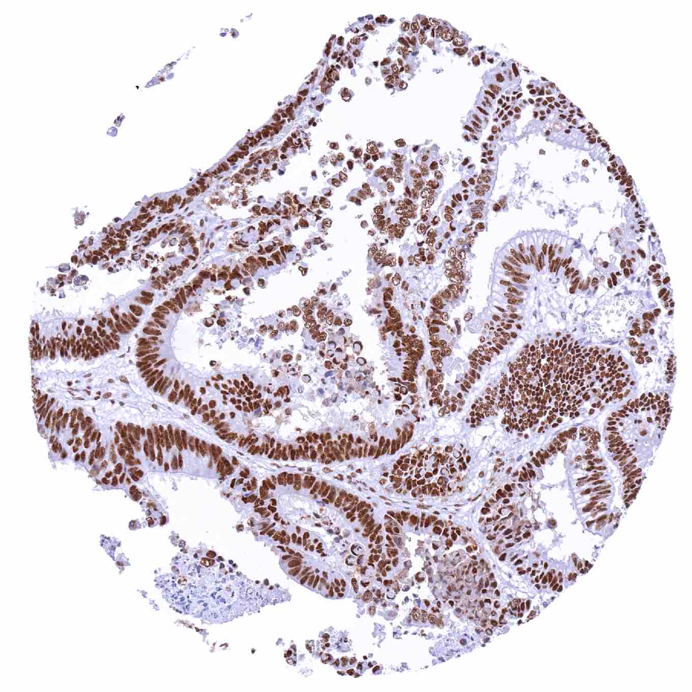
Colon – Colorectal adenocarcinoma with strong KDM6A staining of tumor cells

       

Esophagus – Adenocarcinoma with strong KDM6A staining of tumor cells

Esophagus – Squamous cell carcinoma showing a strong KDM6A positivity of tumor cells

Kidney – Clear cell renal cell carcinoma with weak KDM6A staining of tumor cells

Kidney – Papillary renal cell carcinoma with strong KDM6A positivity of tumor cells

       

Kidney, pelvis – Invasive urothelial carcinoma lacking KDM6 staining in tumor cells

Lung – Adenocarcinoma with strong KDM6A staining of tumor cells

Lung – Squamous cell carcinoma with strong KDM6A positivity of tumor cells

Lymph node – Diffuse large B-cell lymphoma with complete absence of KDM6 staining in tumor cells

       

Lymph node – Diffuse large B-cell lymphoma with strong KDM6A immunostaining of tumor cells

Lymph node – Follicular B-cell lymphoma with lack of KDM6 staining in tumor cells

Lymph node – Hodgkin’s lymphoma with strong KDM6A staining of tumor cells and of tumor adjacent normal lymphatic tissue

Ovary – Clear cell carcinoma with strong KDM6A positivity of tumor cells

       

Ovary – Serous high-grade carcinoma with complete absence of KDM6 staining in tumor cells

Ovary – Serous high-grade carcinoma with strong KDM6A immunostaining of tumor cells

Pancreas – Ductal adenocarcinoma with complete absence of KDM6 staining in tumor cells

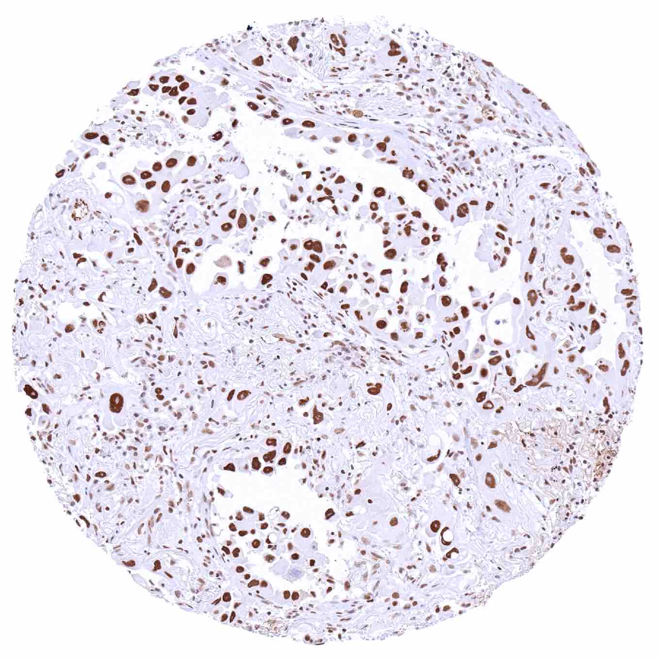
Pancreas – Neuroendocrine tumor with strong KDM6A positivity of tumor cells

       

Penis – Squamous cell carcinoma with strong KDM6A staining of tumor cells

Prostate – Adenocarcinoma (Gleason 3+3=6) with moderate intensity KDM6A staining of tumor cells

Salivary gland – Warthin tumor with moderate to strong KDM6A staining of tumor cells

Skin – Malignant melanoma with strong nuclear KDM6A positivity of tumor cells

       

Skin – Squamous cell carcinoma with moderate intensity KDM6A staining of tumor cells

Stomach – Gastric adenocarcinoma (intestinal type) with moderate KDM6A staining of tumor cells

Stomach – Gastrointestinal stromal tumor (GIST) showing a strong KDM6A staining of all tumor cells

Testis – Leydig cell tumor with weak to moderate KDM6A staining of tumor cells

       

Testis – Seminoma with strong KDM6A immunostaining of tumor cells

Thyroid – Anaplastic carcinoma with complete absence of KDM6 staining in tumor cells

Thyroid – Papillary cancer with strong KDM6A staining of tumor cells

Urinary bladder – Muscle-invasive urothelial carcinoma with complete absence of KDM6 staining in tumor cells

       

Urinary bladder – Muscle-invasive urothelial carcinoma with complete absence of KDM6A staining in tumor cells.

Urinary bladder – Muscle-invasive urothelial carcinoma with complete absence of KDM6A staining in tumor cells

Urinary bladder – Muscle-invasive urothelial carcinoma with strong KDM6A staining of tumor cells

Urinary bladder – Non-invasive urothelial carcinoma (low grade, pTaG2) with complete lack of KDM6 staining in tumor cells

       

 

| TOP |