Cancer Tissue Gallery- GTX04444

MCM7 antibody [MSVA-507R] HistoMAX

 

Go to Normal Tissue Gallery
  
 Go back to product page
  

Go to HistoMAX page

 

Adrenal gland- Adrenocortical adenoma with only few MCM7 positive tumor cells

Anal canal- Squamous cell carcinoma showing MCM7 positivity in a large fraction of tumor cells, predominantly in the basal layers

Breast- Invasive breast cancer of no special type (NST) with moderate to strong MCM7 positivity of most tumor cells

Colon- Colorectal adenocarcinoma with a large fraction of MCM7 positive tumor cells

       

Esophagus- Squamous cell carcinoma showing strong nuclear MCM7 staining of most tumor cells

Kidney- Clear cell renal cell carcinoma containing only few MCM7 positive tumor cells

Liver- Hepatocellular carcinoma showing a weak to moderate MCM7 positivity in only a fraction of tumor cells

Lung- Strong MCM7 positivity in all tumor cells of a small cell carcinoma

       

Lymph node- B-CLL showing MCM7 positivity in a fraction of tumor cells

Lymph node- B-CLL showing MCM7 positivity in only a fraction of tumor cells

Lymph node- Diffuse large B-cell lymphoma with moderate to strong MCM7 positivity of all tumor cells

Lymph node- Hodgkin’s lymphoma with strong MCM7 immunostaining of most neoplastic cells and of a fraction of associated inflammatory cells

       

Ovary- Serous high-grade carcinoma with strong MCM7 immunostaining of tumor cells

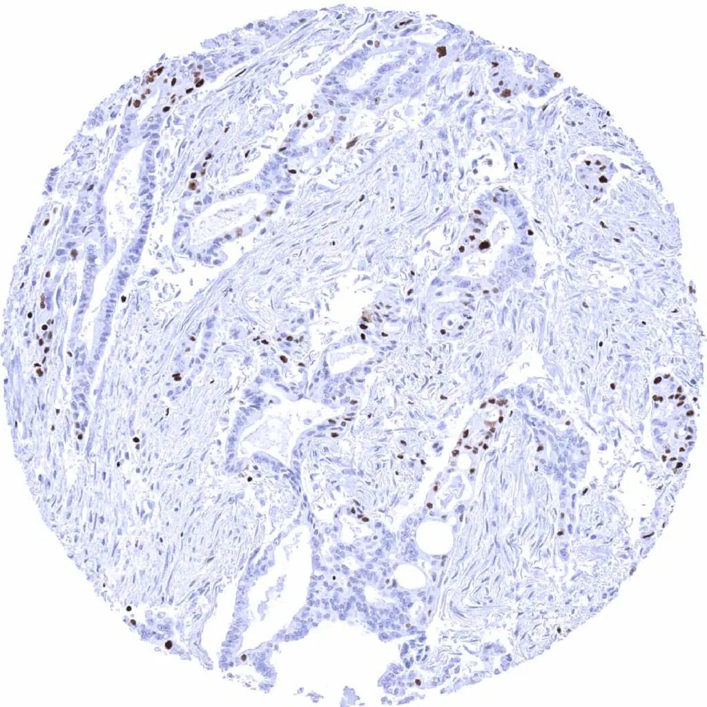
Pancreas- Ductal adenocarcinoma with MCM7 staining of a fraction of tumor cells

Pancreas- Neuroendocrine tumor containing only few MCM7 positive tumor cells

Penis- Squamous cell carcinoma with strong MCM7 immunostaining of tumor cells

       

Pharynx- Squamous cell carcinoma with strong MCM7 immunostaining of virtually all tumor cells

Prostate- Adenocarcinoma (Gleason 3+3=6) with strong MCM7 immunostaining of a limited number of tumor cells

Salivary gland- Warthin tumor displaying strong MCM7 staining in few epithelial cells and few lymphocytes

Soft tissue- Liposarcoma with strong MCM7 immunostaining of all tumor cells

       

Stomach- Gastric adenocarcinoma (diffuse type) with moderate to strong MCM7 staining of virtually all tumor cells

Stomach- Gastrointestinal stromal tumor (GIST) showing moderate MCM7 staining in a fraction of tumor cells

Testis- Leydig cell tumor with strong MCM7 immunostaining of few tumor cells

Testis- Seminoma with moderate MCM7 positivity of all tumor cells

       

Thyroid- Medullary cancer with weak to moderate MCM7 positivity of a small fraction of tumor cells

Thyroid- Papillary cancer with moderateto strong MCM7 staining of few tumor cells

Urinary bladder- Muscle-invasive urothelial carcinoma depicting strong MCM7 positivity in all tumor cells

Uterus- Leiomyosarcoma showing a strong MCM7 immunostaining of all tumor cells

       

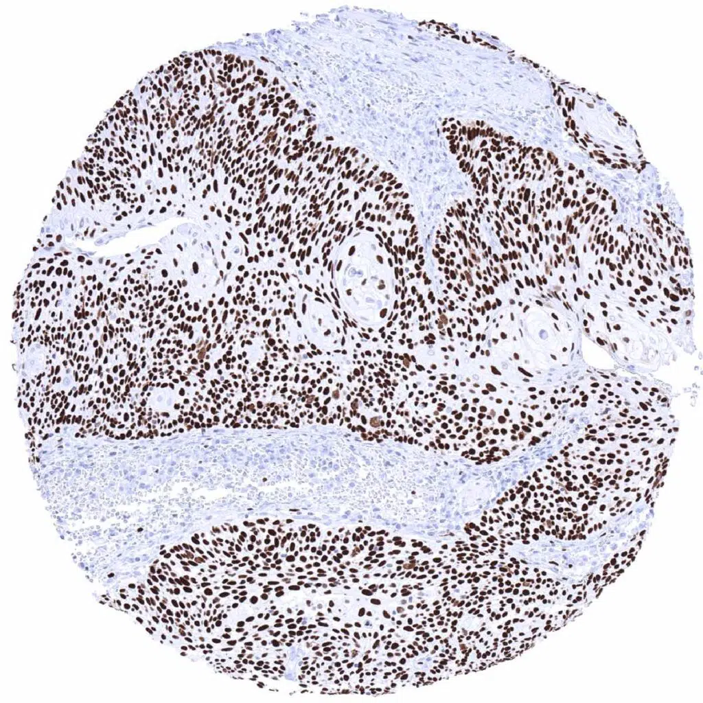
Uterus, cervix- Squamous cell carcinoma with strong MCM7 immunostaining of tumor cells

 

 

| TOP |