Cancer Tissue Gallery- GTX04364

Mucin 5AC antibody [MSVA-109M] HistoMAX

 

Go to Normal Tissue Gallery
  
 Go back to product page
  

Go to HistoMAX page

 

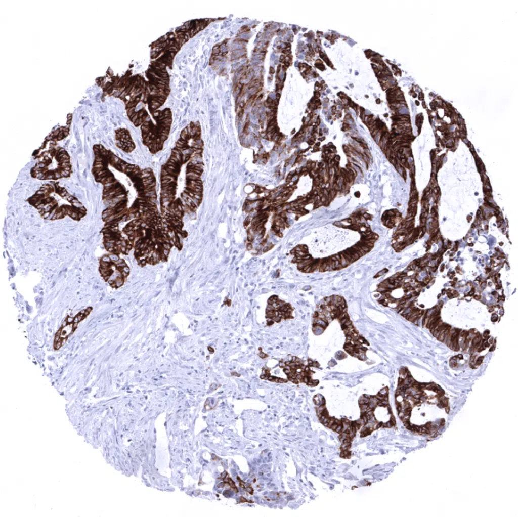
Colon- Colorectal adenocarcinoma containing areas with diffuse MUC5AC positivity next to areas with rather few interspersed MUC5AC positive cells.

Colon- Colorectal adenocarcinoma with few scattered MUC5AC positive cells. The distribution of positive cells mirrors the MUC5AC expression pattern in normal colon mucosa.

Colon- Colorectal adenocarcinoma with weak to moderate MUC5AC immunostaining in about 25% of the tumor cells

Colon- Focal MUC5AC positivity in a cholangiocellular carcinoma also showing focal squamoid differentiation

       

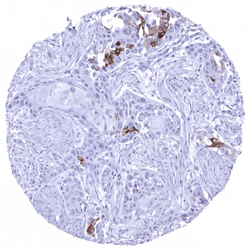
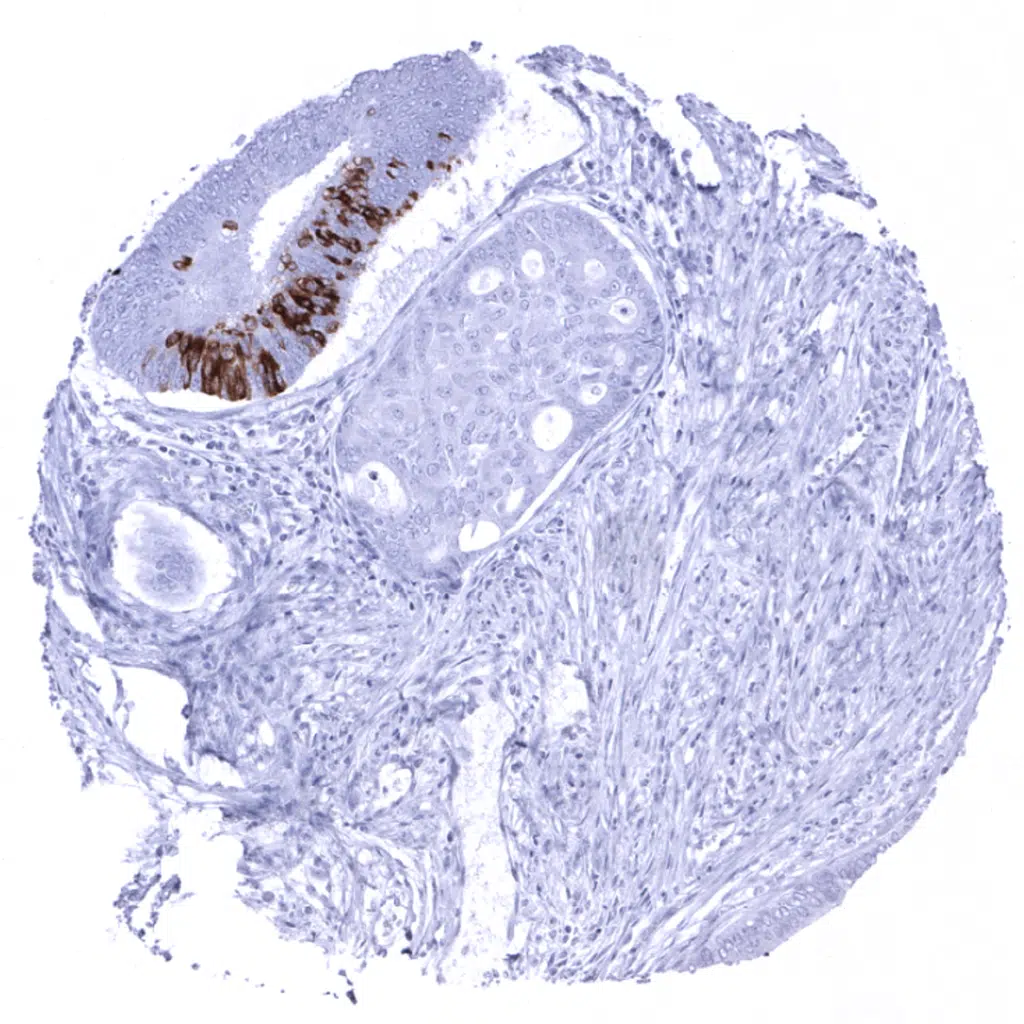
Colon- Focal MUC5AC positivity in a colorectal adenocarcinoma

Colon- Moderate MUC5AC positivity in about 50% of the tumor cells in a cholangiocellular carcinoma of the liver

Colon- MUC5AC negative colorectal adenocarcinoma

Colon- Scattered MUC5AC positive cells in a colorectal adenocarcinoma. The distribution of positive cells is comparable to the MUC5AC expression pattern in normal colon mucosa.

       

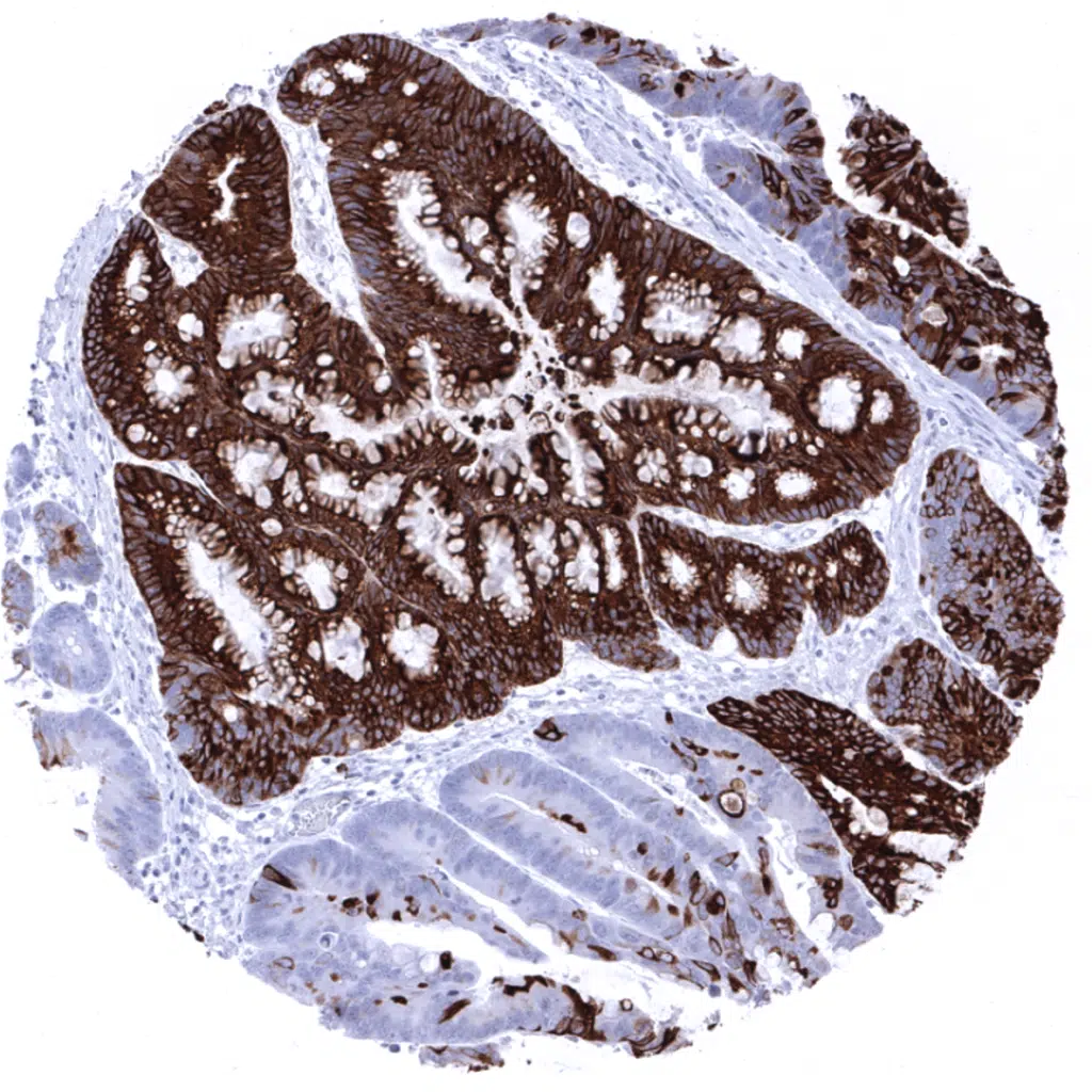
Colon- Strong diffuse MUC5AC immunostaining in a colorectal adenocarcinoma.

Colon- Strong diffuse MUC5AC positivity in a colorectal adenocarcinoma exhibiting an intestinal type growth pattern.

Colon- strong MUC5AC expression in a mucinous colorectal adenocarcinoma.

Colon- Weak to moderate MUC5AC immunostaining in about 50% of the tumor cells of a colorectal adenocarcinoma showing a solid growth pattern.

       

Uterus- Strong diffuse MUC5AC positivity in an endometroid endometrium cancer.

Lung- adenocarcinoma with very few scattered MUC5AC positive cells.

Lung- Few scattered MUC5AC positive cells in a lepidic adenocarcinoma.

Lung- Focal MUC5AC expression in an adenocarcinoma.

       

Lung- Strong diffuse MUC5AC positivity in an adenocarcinoma.

Ovary – Scattered MUC5AC positive cells in a serous high-grade carcinoma.

Urinary bladder- Moderate to strong MUC5AC immunostaining in about 50% of cells of a muscle invasive urothelium carcinoma.

Urinary bladder- MUC5AC positivity in a very small fraction of tumor cells in a muscle invasive urothelium carcinoma.

       

Urinary bladder- Muscle-invasive urothelial carcinoma (pT2) with intense MUC5AC positivity in about 80% of tumor cells.

Pancreas- Intense MUC5AC staining in all cells of a ductal adenocarcinoma. Adjacent normal pancreatic tissue stains negative.

Pancreas- Moderate intensity MUC5AC positivity in a ductal adenocarcinoma (90% of tumor cells).

Pancreas- MUC5AC positivity in about 80% of tumor cells in a ductal adenocarcinoma. A normal excretory duct stains negative.

       

Pancreas- Strong diffuse MUC5AC immunostaining in a ductal adenocarcinoma.

Stomach- Mucinous adenocarcinoma with intense MUC5AC positivity of all tumor cells.

Stomach- Strong MUC5AC immunostaining in a gastric adenocarcinoma (100% of tumor cells)

Stomach- Strong MUC5AC positivity in a diffuse type gastric adenocarcinoma.

       

Stomach- Strong MUC5AC positivity in an intestinal type gastric adenocarcinoma.

Stomach- Variable levels of MUC5AC expression in the cells of a gastric adenocarcinoma.

Pancreas: Strong diffuse MUC5AC immunostaining in an adenocarcinoma of the ampulla of Vater.

Ovary: Strong MUC5AC immunostaining in about 80% of the cells in a mucinous carcinoma.

       

 

| TOP |