Cancer Tissue Gallery- GTX04409

Mucin 6 antibody [MSVA-806R] HistoMAX

 

Go to Normal Tissue Gallery
  
 Go back to product page
  

Go to HistoMAX page

 

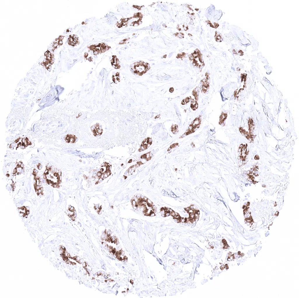
Breast – Strong MUC6 immunostaining in an invasive carcinoma of no special type (NST).

Colon – Colorectal adenocarcinoma exhibiting strong MUC6 staining in all tumor cells.

Esophagus – MUC6 negative squamous cell carcinoma.

Esophagus – Strong MUC6 immunostaining in an esophageal adenocarcinoma.

       

Kidney – MUC6 negative papillary renal cell carcinoma.

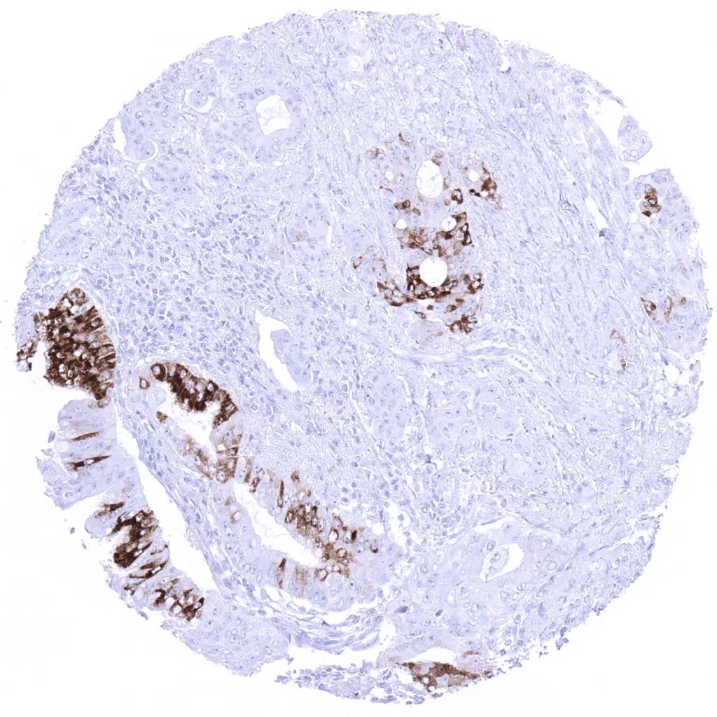
Liver – Cholangiocellular carcinoma with strong MUC6 positivity.

Lung – Moderate to strong MUC6 immunostaining in a fraction of cells of a pulmonary adenocarcinoma.

Oral cavity – MUC6 negative squamous cell carcinoma.

       

Ovary – MUC6 negative serous high-grade carcinoma.

Pancreas – Strong MUC6 immunostaining ina fraction of cells in a ductal adenocarcinoma.

Prostate – Adenocarcinoma (Gleason 5+5=10) showing moderate to strong MUC6 staining in cancer cells.

Skin – MUC6 negative Merkel cell carcinoma.

       

Stomach – Gastric adenocarcinoma (diffuse type) with strong MUC6 staining in cancer cells.

Stomach – Strong MUC6 staining in all cancer cells of a gastric adenocarcinoma (intestinal type).

Thyroid – MUC6 negative papillary carcinoma containing hemosiderin pigment.

Urinary bladder – Muscle-invasive urothelial carcinoma with strong MUC6 immunostaining.

       

Uterus – Strong MUC6 positivity in all cells of an endometrioid endometrium carcinoma.

 

 

| TOP |