Cancer Tissue Gallery- GTX639940

MX1 antibody [HMV316] HistoMAX™

 

Go to Normal Tissue Gallery
  
 Go back to product page
  

Go to HistoMAX page

 

Adrenal gland – MX1 negative adrenocortical adenoma

Breast – Invasive breast cancer of no special type (NST) with faint MX1 staining of few tumor cells

Breast – Invasive breast cancer of no special type (NST) with strong MX1 positivity of tumor cells

Breast – Invasive lobular breast cancer with moderate to strong MX1 positivity of tumor cells

       

Breast – MX1 negative invasive lobular breast cancer

Colon – Colorectal adenocarcinoma with strong MX1 immunostaining of tumor cells

Esophagus – Adenocarcinoma with moderate to strong MX1 immunostaining of tumor cells

Esophagus – MX1 negative adenocarcinoma. Strong MX1 staining of inflammatory and endothelial cells

       

Kidney – MX1 negative clear cell carcinoma

Larynx – Squamous cell carcinoma with strong MX1 immunostaining of tumor cells

Larynx – Squamous cell carcinoma with strong MX1 staining of tumor cells. Stromal and inflammatory cells show a less intense MX1 staining

Liver – Cholangiocellular carcinoma with strong MX1 staining of tumor and stroma cells

       

Liver – MX1 negative hepatocellular carcinoma

Lung – Adenocarcinoma with strong MX1 staining of tumor cells. Inflammatory and stroma cells are also MX1 positive

Lung – Malignant mesothelioma with strong MX1 positivity of tumor cells

Lymph node – B-CLL with strong MX1 positivity of virtually all tumor cells

       

Lymph node – Diffuse large B-cell lymphoma with strong MX1 staining of all tumor cells

Lymph node – MX1 negative B-CLL

Lymph node – MX1 negative diffuse large B-cell lymphoma

Lymph node – MX1 negative Hodgkin’s lymphoma. Distinct MX1 staining of non-neoplastic cell types

       

Lymph node – MX1 negative Hodgkin’s lymphoma. Strong MX1 staining of non-neoplastic cells

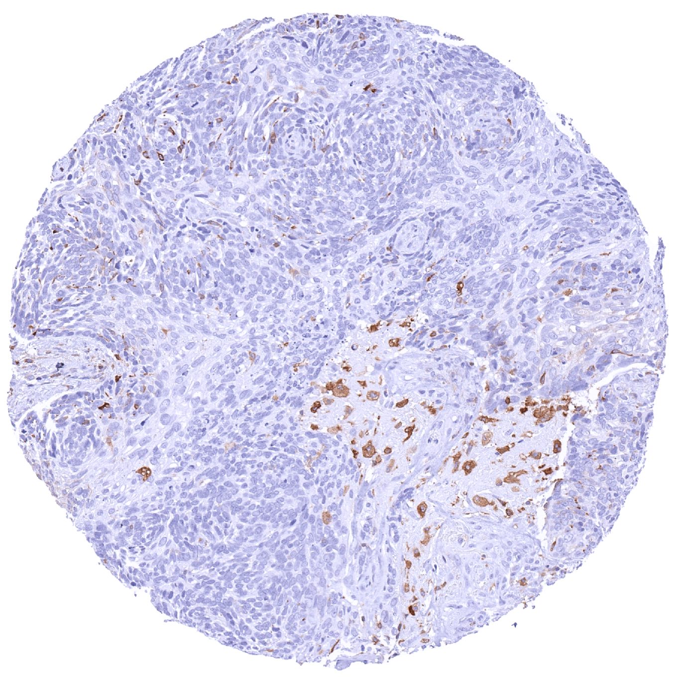
Oral cavity – Squamous cell carcinoma with faint MX1 positivity of only few tumor cells. Stromal and inflammatory cells exhibit a markedly more intense MX1 staining

Ovary – MX1 negative serous high-grade carcinoma

Ovary – Serous high-grade carcinoma with strong MX1 staining of all tumor cells

       

Pancreas – Ductal adenocarcinoma showing strong MX1 staining of tumor cells

Pancreas – MX1 negative neuroendocrine tumor

Penis – Squamous cell carcinoma with strong MX1 staining of tumor cells

Prostate – Adenocarcinoma (Gleason 5+5=10) with strong MX1 immunostaining of tumor cells

       

Prostate – MX1 negative adenocarcinoma (Gleason 3+3=6)

Salivary gland – MX1 negative Warthin tumor. Tumor-associated lymphocytes are MX1 positive

Skin – MX1 negative basal cell carcinoma. Distinct MX1 staining of inflammatory cells

Stomach – Gastric adenocarcinoma (intestinal type) with moderate MX1 immunostaining of tumor cells. Inflammatory and stroma cells are also MX1 positive

       

Stomach – Gastrointestinal stromal tumor (GIST) with intense MX1 staining of tumor cells

Testis – MX1 negative Leydig cell tumor

Testis – Seminoma with strong MX1 immunostaining of tumor cells. Tumor-infiltrating lymphocytes are also MX1 positive

Testis – Yolk sac tumor with weak MX1 immunostaining of few tumor cells. Strong MX1 staining of inflammatory cells

       

Thyroid – Anaplastic carcinoma with strong MX1 positivity of tumor and stroma cells

Thyroid – MX1 negative medullary carcinoma

Thyroid – Papillary cancer with strong MX1 immunostaining of tumor cells

Urinary bladder – Muscle-invasive urothelial carcinoma with strong MX1 staining of tumor and stroma cells

       

Urinary bladder – MX1 negative muscle-invasive urothelial carcinoma

Uterus, cervix – Adenocarcinoma with intense MX1 immunostaining of tumor cells

Vulva – Squamous cell carcinoma with strong MX1 staining of tumor cells. Stromal and inflammatory cells show a less intense MX1 staining

     

 

| TOP |