Cancer Tissue Gallery- GTX04406

Mammaglobin A antibody [MSVA-457R] HistoMAX

 

Go to Normal Tissue Gallery
  
 Go back to product page
  

Go to HistoMAX page

 

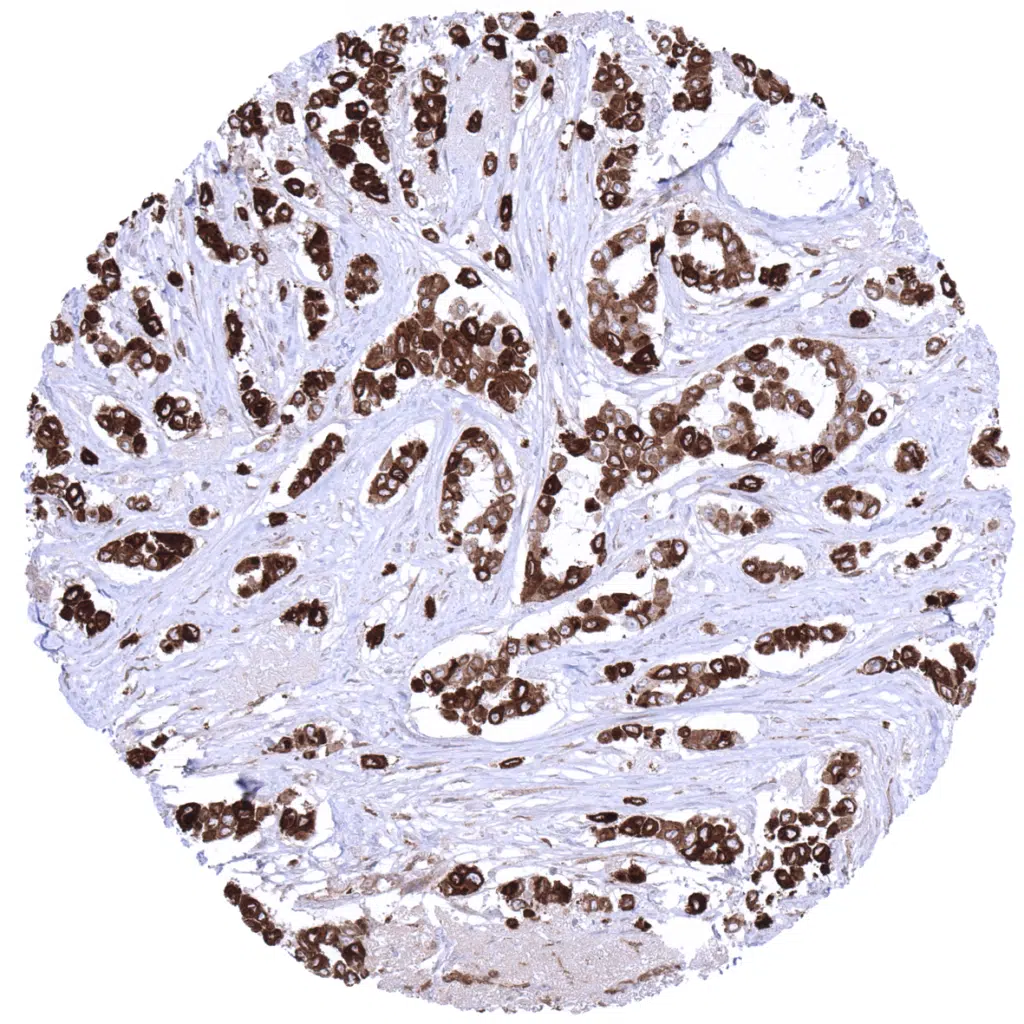
Breast- Invasive breast cancer of no special type (NST) with variable mammaglobin immunostaining in tumor cells (mosaic pattern).

Breast- Invasive lobular breast cancer showing strong mammaglobin immunostaining in tumor cells.

Breast- Invasive lobular breast cancer showing strong mammaglobin positivity of tumor cells.

Breast- Invasive lobular breast cancer with strong mammaglobin expression in tumor cells.

       

Breast- Mammaglobin negative invasive breast cancer of no special type (NST).

Liver- Mammaglobin negative cholangiocellular carcinoma.

Kidney- Mammaglobin negative clear cell renal cell carcinoma.

Lung- Mammaglobin negative small cell carcinoma.

       

Ovary- Endometroid carcinoma showing strong mammaglobin positivity of _90% of tumor cells.

Ovary- Mammaglobin negative serous high-grade carcinoma.

Pancreas- Mammaglobin negative ductal adenocarcinoma.

Pancreas- Mammaglobin negative neuroendocrine tumor.

       

Penis- Mammaglobin negative squamous cell carcinoma.

Prostate- Mammaglobin negative adenocarcinoma (Gleason 3+3=6).

Salivary gland- Pleomorphic adenoma showing strong mammaglobin immunostaining.

Testis- Mammaglobin negative seminoma.

       

Thyroid- Mammaglobin negative medullary cancer.

Urinary bladder- Mammaglobin negative muscle-invasive urothelial carcinoma.

Uterus- Endometroid carcinoma of the endometrium showing strong mammaglobin immunostaining.

     

 

| TOP |