Cancer Tissue Gallery- GTX640562

PAI2 antibody [HMV330] HistoMAXTM

 

Go to Normal Tissue Gallery Go back to product page Go to HistoMAX page

 

Breast  – PAI2 negative invasive breast cancer of no special type (NST)
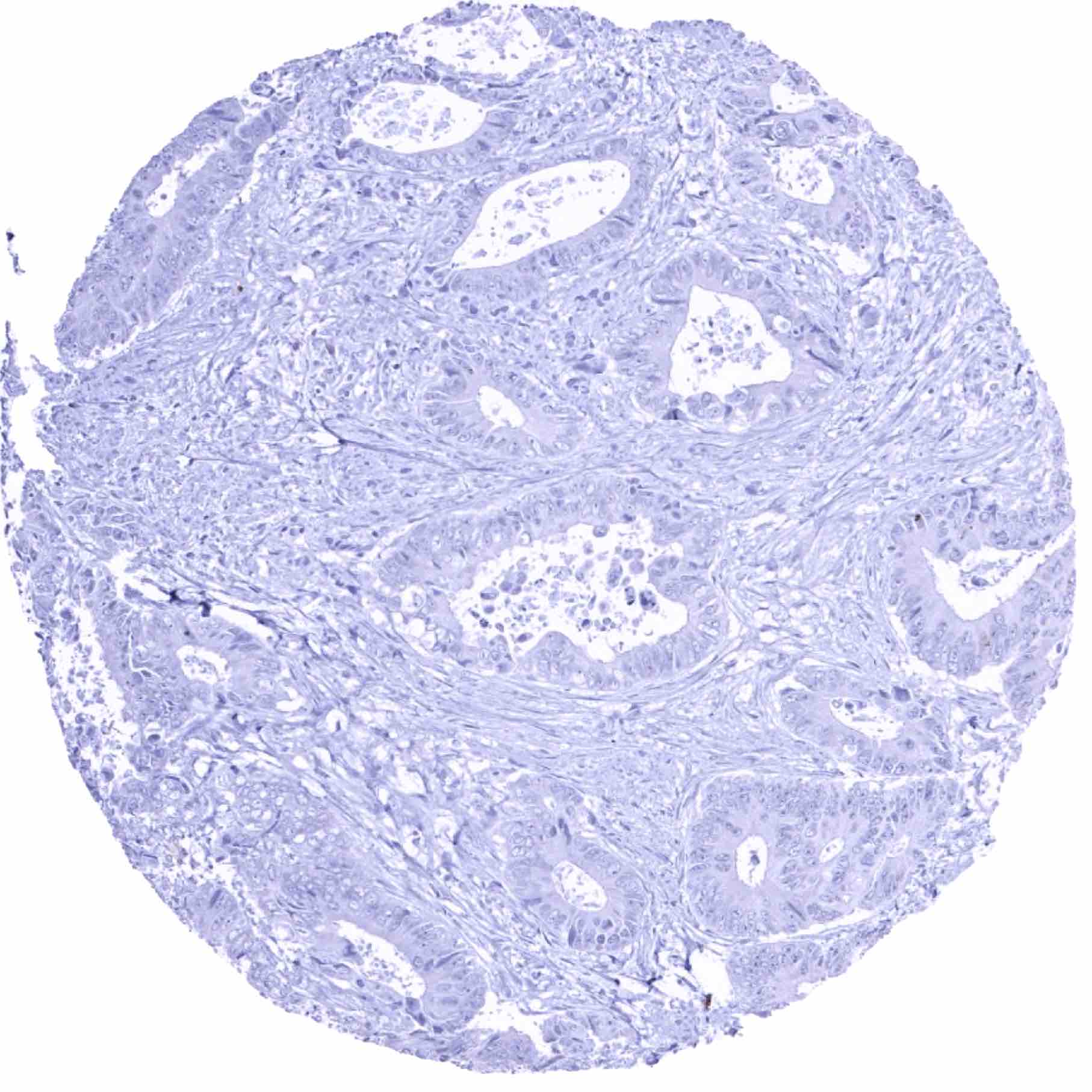
Colon – PAI2 negative colorectal adenocarcinoma
Esophagus – PAI2 negative adenocarcinoma
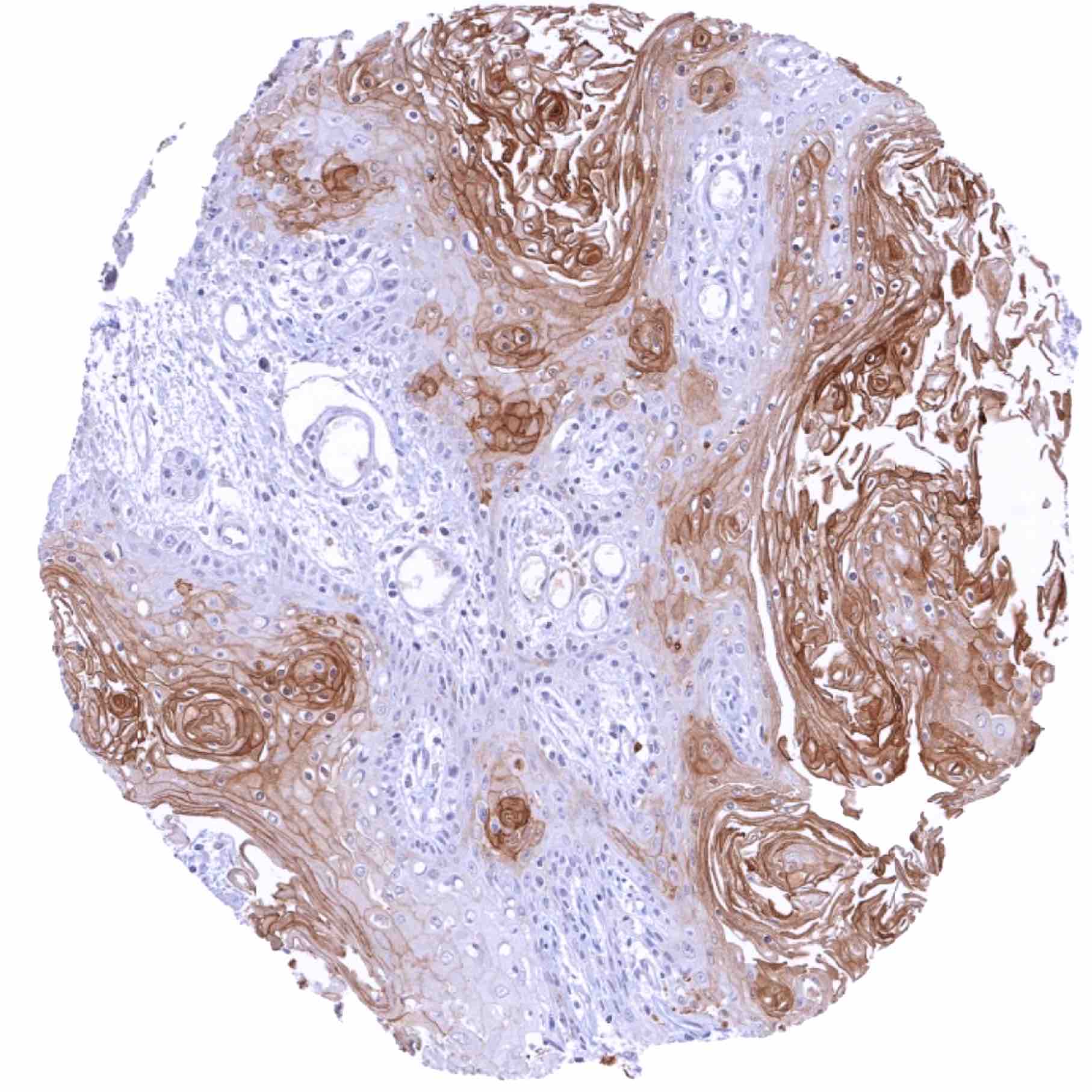
Esophagus – Squamous cell carcinoma with moderate to strong PAI2 positivity of intermediate and superficial tumor cell layers
Esophagus – Squamous cell carcinoma with moderate to strong, cytoplasmic and nuclear PAI2 staining of most tumor cells
Kidney – PAI2 negative clear cell carcinoma
Kidney – PAI2 negative oncocytoma
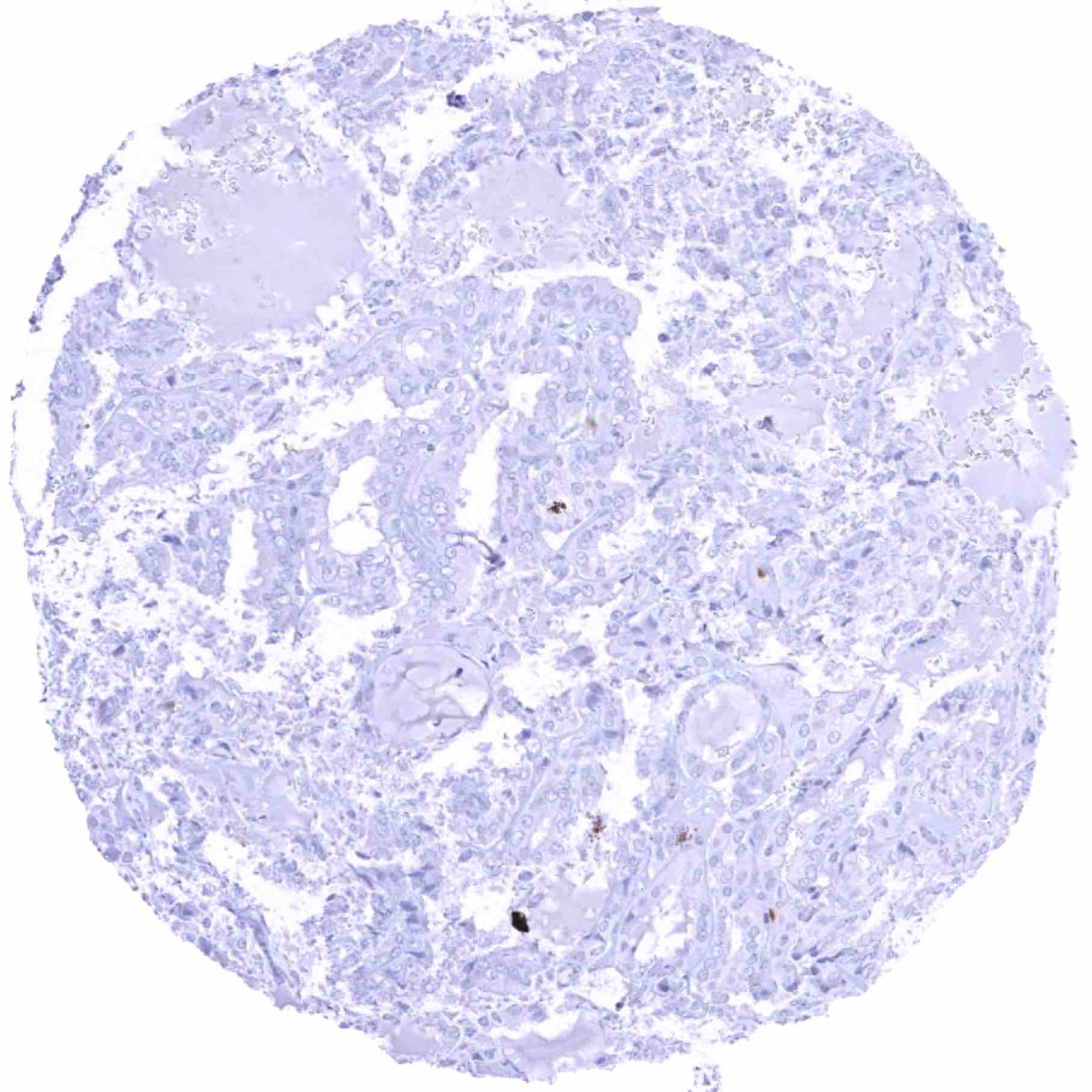
Kidney – PAI2 negative papillary renal cell carcinoma. PAI2 positivity of few intratumoral macrophages
Kidney – PAI2 negative papillary renal cell carcinoma
Oral cavity – Squamous cell carcinoma with weak to moderate, predominantly cytoplasmic PAI2 staining of most tumor cells
Ovary – PAI2 negative clear cell carcinoma
Ovary – PAI2 negative endometroid carcinoma
Ovary – PAI2 negative serous high-grade carcinoma
Pharynx – Squamous cell carcinoma with weak to moderate, cytoplasmic and nuclear PAI2 positivity of a large fraction of tumor cells
Prostate – PAI2 negative adenocarcinoma (Gleason 3+3=6)
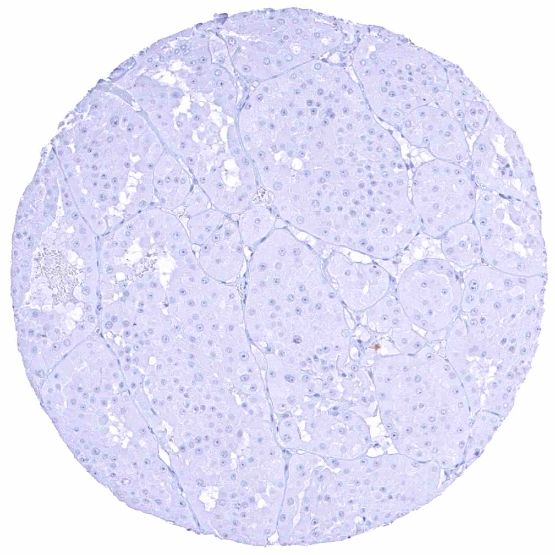
Thyroid – PAI2 negative follicular carcinoma
Thyroid – PAI2 negative papillary carcinoma
Urinary bladder – PAI2 negative non-invasive papillary urothelial carcinoma (pTa)
   

| TOP |