Cancer Tissue Gallery- GTX640566

PARP antibody [HMV334] HistoMAXTM

 

Go to Normal Tissue Gallery Go back to product page Go to HistoMAX page

 

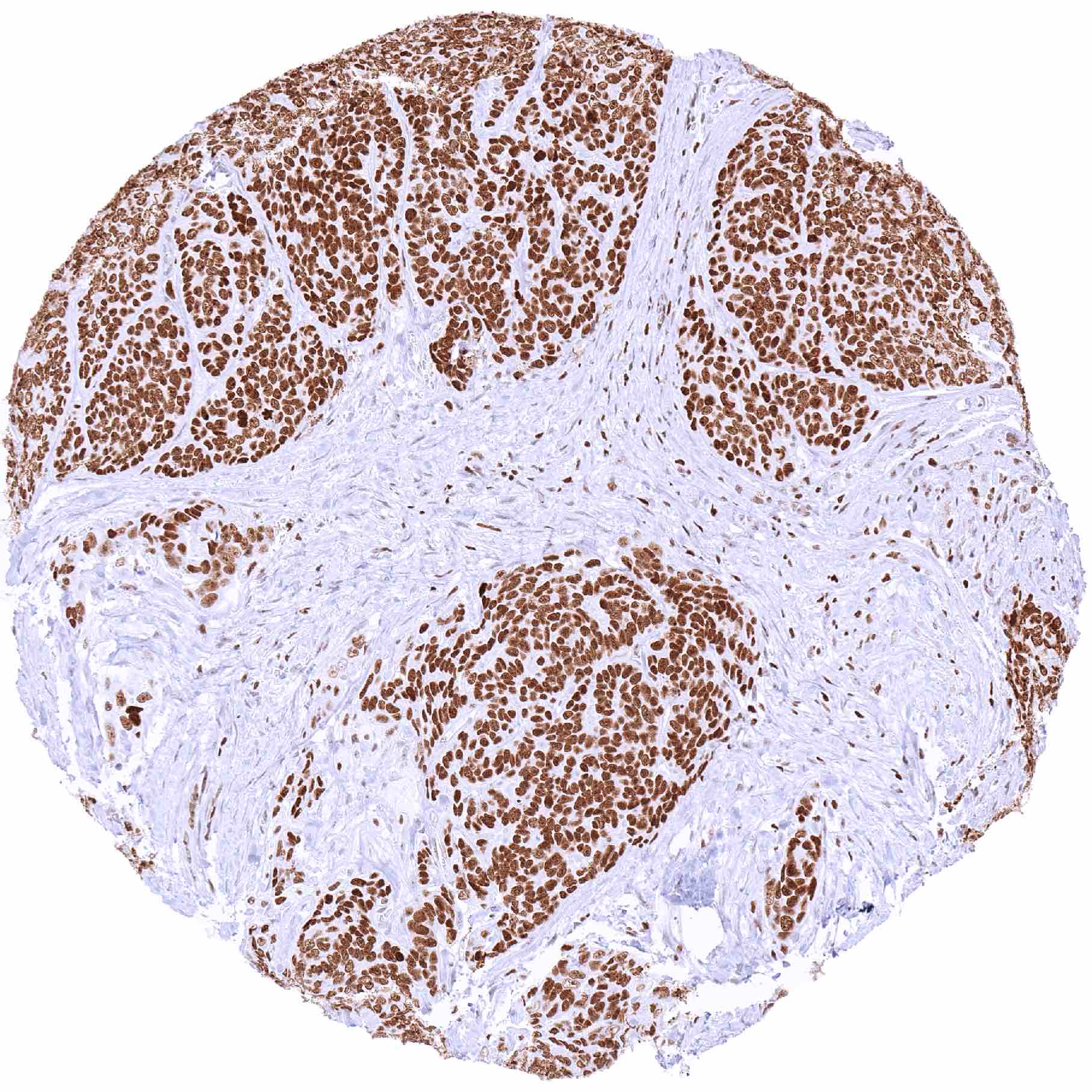
Adrenal gland – Adrenocortical adenoma displaying a strong PARP1 staining of tumor cells
Breast – Invasive breast cancer of no special type (NST) with only a weak to moderate PARP1 staining of tumor cells while the staining is more intense in tumor-associated lymphocytes
Breast – Invasive lobular breast cancer with strong PARP1 positivity of tumor cells
Colon – Colorectal adenocarcinoma with strong PARP1 staining of tumor cells
Esophagus – Adenocarcinoma with intense PARP1 staining of tumor cells
Esophagus – Squamous cell carcinoma showing a strong PARP1 staining of tumor cells
Kidney – Clear cell renal cell carcinoma with strong PARP1 staining of tumor cells
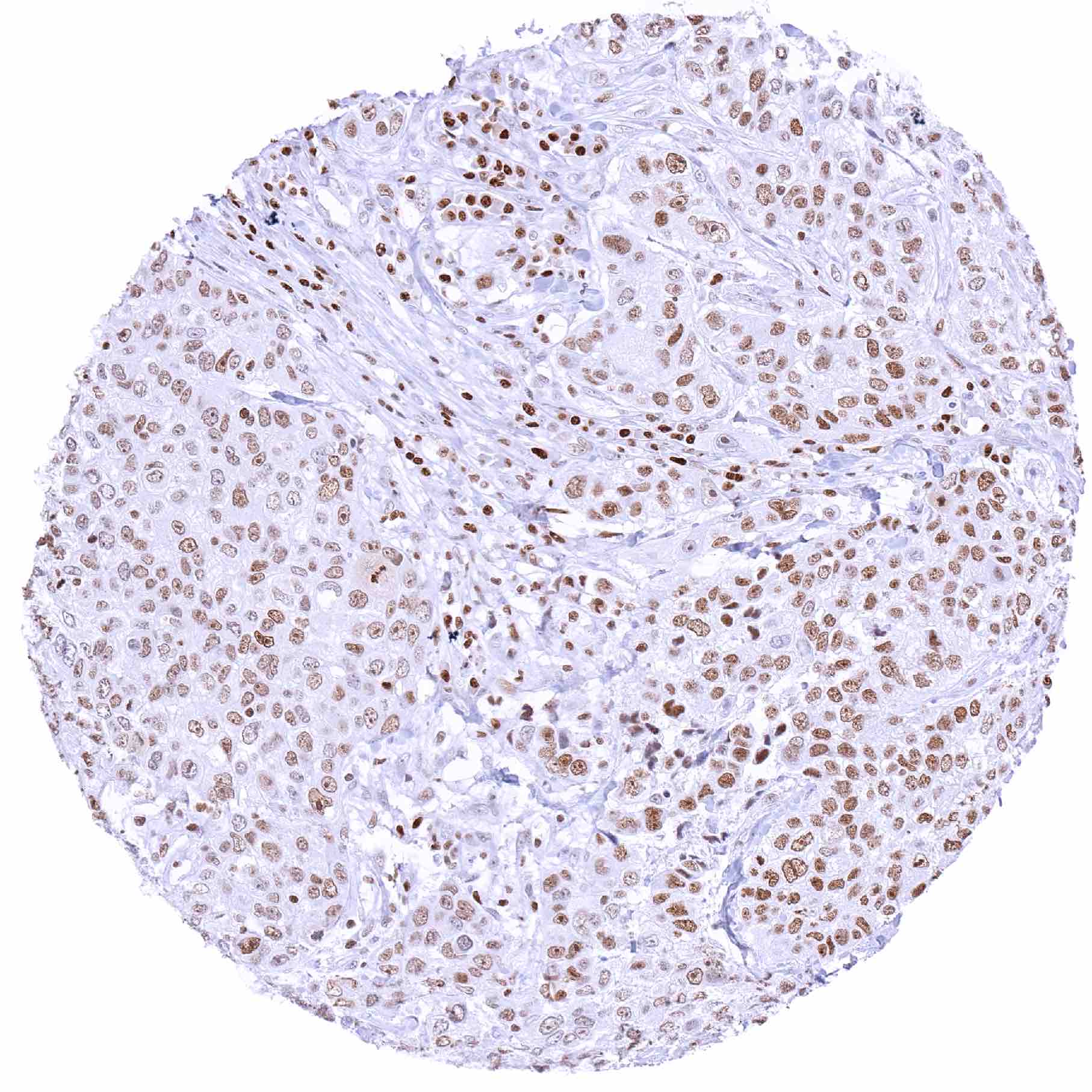
Liver – Cholangiocellular carcinoma showing a moderate PARP1 staining of tumor cells
Liver – Hepatocellular carcinoma with strong PARP1 posiivity of tumor cells
Lung – Adenocarcinoma with strong PARP1 staining of tumor cells
Lymph node – Diffuse large B-cell lymphoma with intense PARP1 staining of all cells
Ovary – Clear cell carcinoma with moderate PARP1 staining of tumor cells
Ovary – Endometroid carcinoma with strong PARP1 positivity of all tumor cells. The PARP1 staining intensity is markedly weaker in stromal cells
Ovary – Serous high-grade carcinoma with intense PARP1 staining of tumor cells
Pancreas – Ductal adenocarcinoma with intense PARP1 positivity of all tumor cells
Pancreas – Neuroendocrine tumor displaying a strong PARP1 positivity of tumor cells
Penis – Squamous cell carcinoma with a weak to moderate PARP1 staining of tumor cells while the staining is more intense in tumor-associated lymphocytes
Pharynx – Squamous cell carcinoma with strong PARP1 positivity of all tumor cells
Prostate – Adenocarcinoma (Gleason 3+3=6) with weak PARP1 staining of tumor cells
Prostate – Adenocarcinoma (Gleason 4+4=8) with moderate to strong PARP1 positivity of tumor cells
Prostate – Adenocarcinoma (Gleason 5+5=10) with intense PARP1 staining of all tumor cells
Salivary gland – Warthin tumor with weak to moderate PARP1 staining of tumor cells and a markedly more intense staining of associated lymphocytes
Skin – Malignant melanoma with strong PARP1 positivity of tumor cells
Stomach – Gastric adenocarcinoma (diffuse type) showing an intense PARP1 staining of tumor cells
Stomach – Gastric adenocarcinoma (intestinal type) with strong PARP1 staining of 100_ of tumor cells
Stomach – Gastrointestinal stromal tumor (GIST) with strong PARP1 immunostaining of tumor cells
Stomach – Gastrointestinal stromal tumor (GIST) with weak to moderate PARP1 positivity of tumor cells
Testis – Seminoma showing a strong PARP1 staining of tumor cells
Urinary bladder – Muscle-invasive urothelial carcinoma with moderate PARP1 positivity of tumor cells
Uterus – Leiomyoma with moderate PARP1 staining of tumor cells
   

| TOP |