Cancer Tissue Gallery- GTX639942

Pepsinogen I antibody [HMV318] HistoMAXTM

 

Go to Normal Tissue Gallery
  
 Go back to product page
  

Go to HistoMAX page

 

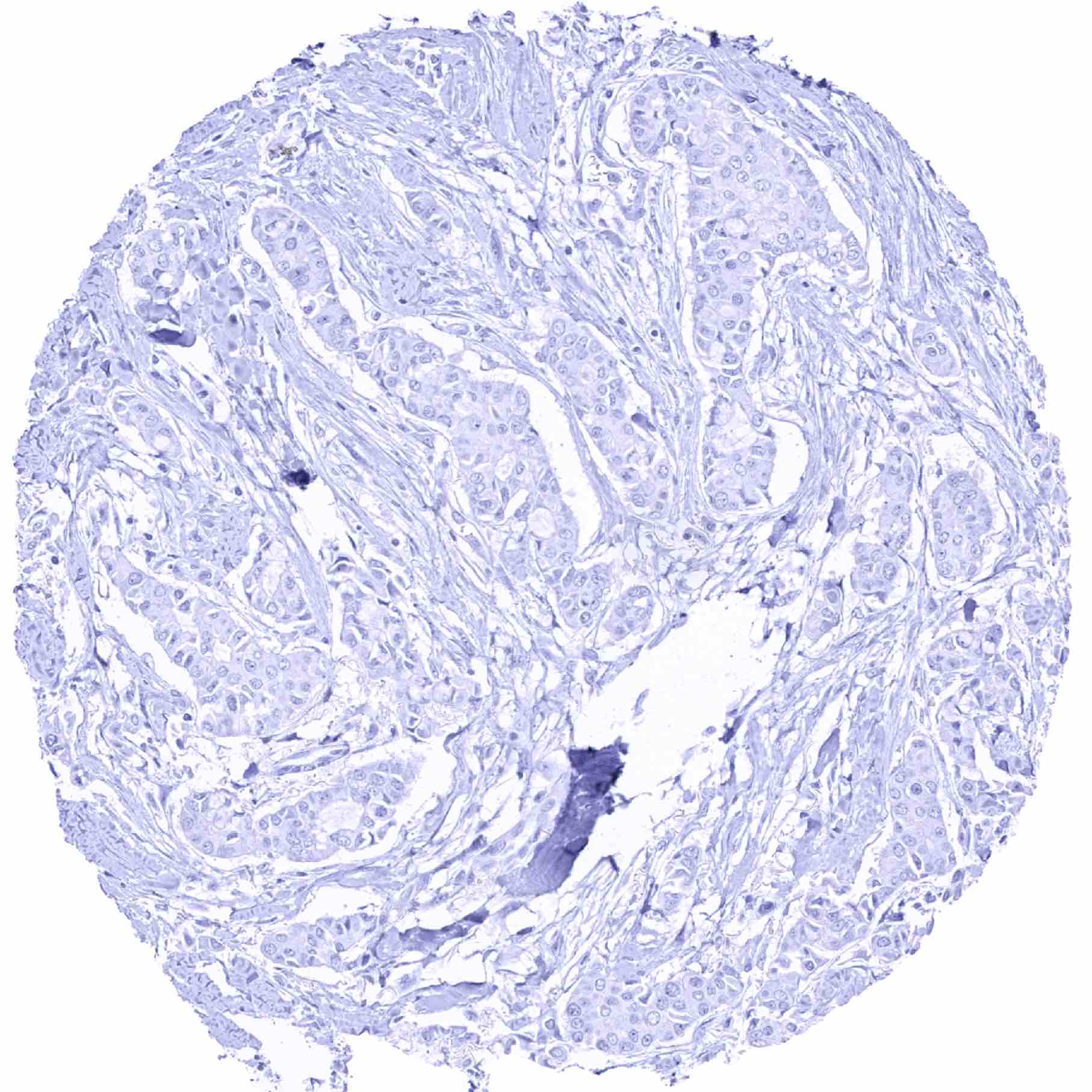
Breast – Pepsinogen-I negative invasive lobular breast cancer

Breast – Pepsinogen-I negative invasive breast cancer of no special type (NST)

Colon – Pepsinogen-I negative colorectal adenocarcinoma

Esophagus – Pepsinogen-I negative adenocarcinoma

       

Esophagus – Pepsinogen-I negative squamous cell carcinoma

Kidney – Pepsinogen-I negative clear cell carcinoma

Kidney – Pepsinogen-I negative oncocytoma

Kidney – Pepsinogen-I negative papillary renal cell carcinomaAKT antibody

       

Oral cavity – Pepsinogen-I negative squamous cell carcinoma

Ovary – Pepsinogen-I negative clear cell carcinoma

Ovary – Pepsinogen-I negative endometroid carcinoma

Ovary – Pepsinogen-I negative serous high-grade carcinoma

       

Pharynx – Pepsinogen-I negative squamous cell carcinoma

Prostate – Pepsinogen-I negative adenocarcinoma (Gleason 4+3=7)

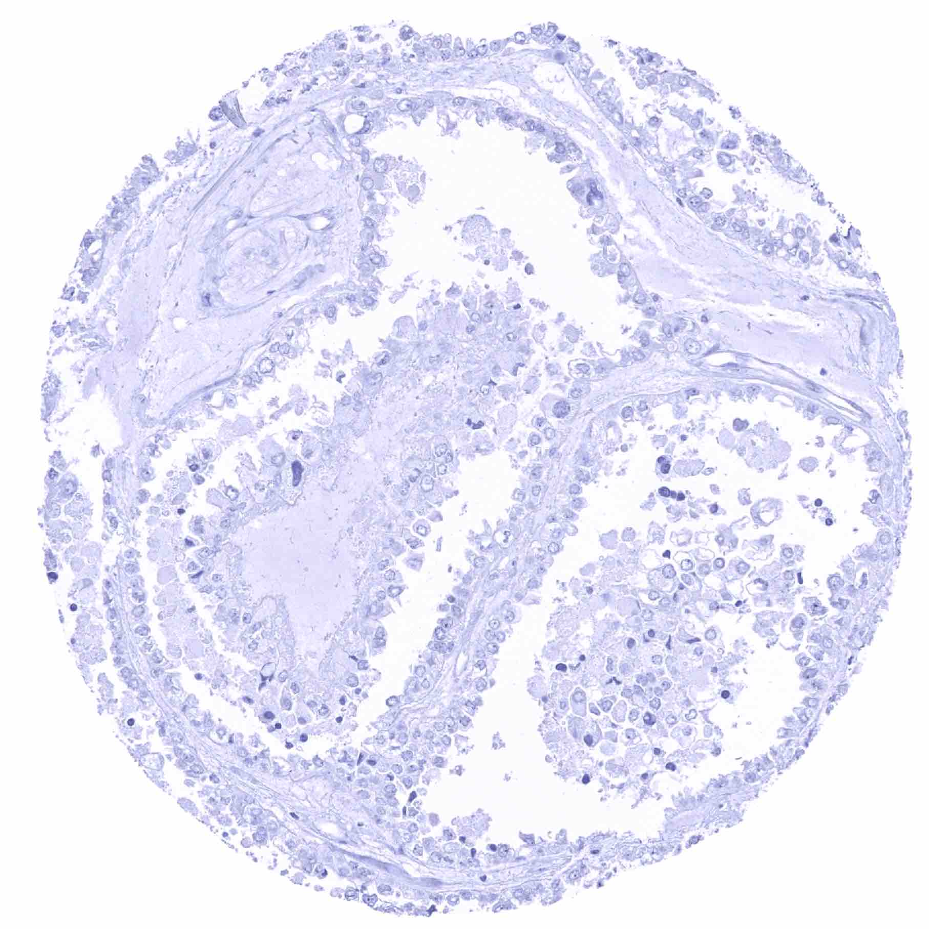
Stomach – gastric adenocarcinoma of the fundic gland type (GA-FG) with distinct pepsinogen-I staining of tumor cells

Stomach – Pepsinogen-I negative gastric adenocarcinoma.

       

Stomach – Pepsinogen-I negative gastric adenocarcinoma

Thyroid – Pepsinogen-I negative follicular carcinoma

Urinary bladder – Pepsinogen-I negative muscle-invasive urothelial carcinoma

     

 

| TOP |