Cancer Tissue Gallery- GTX04414

SATB2 antibody [MSVA-702R] HistoMAXTM

 

Go to Normal Tissue Gallery
  
 Go back to product page
  

Go to HistoMAX page

 

Bone – Osteosarcoma showing a moderate to strong SATB2 positivity of tumor cells.

Bone – Osteosarcoma with strong SATB2 immunostaining of all tumor cells.

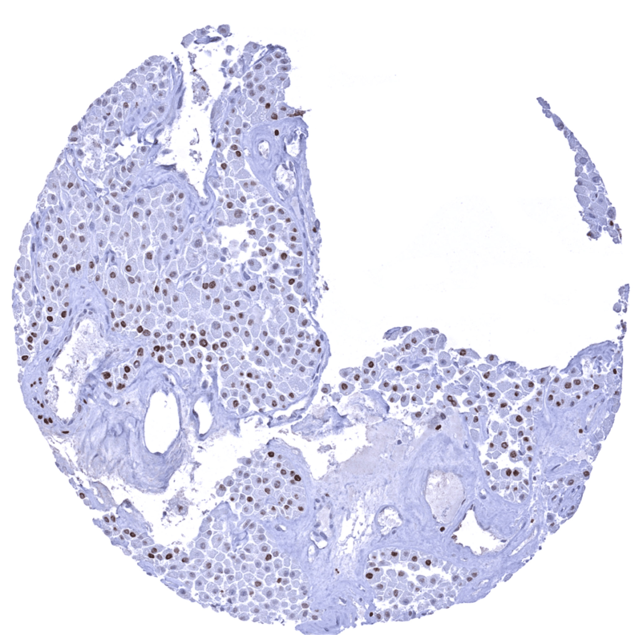
Breast – SATB2 negative invasive breast cancer of no special type (NST).

Breast – SATB2 negative invasive lobular breast cancer.

       

Colon – Colorectal adenocarcinoma exhibiting only a weak SATB2 immunostaining of tumor cells.

Colon – Colorectal adenocarcinoma showing strong SATB2 immunostaining of all tumor cells.

Colon – Colorectal adenocarcinoma with strong SATB2 positivity of tumor cells.

Colon – Colorectal adenoma with intense SATB2 immunostaining of tumor cells.

       

Colon – Neuroendocrine tumor showing strong SATB2 positivity of tumor cells.

Esophagus – Adenocarcinoma showing a moderate to strong SATB2 staining of tumor cells.

Esophagus – Adenocarcinoma with a weak to moderate SATB2 positivity of tumor cells.

Esophagus – Squamous cell carcinoma depicting a strong SATB2 positivity of the majority of tumor cells.

       

Kidney – Oncocytoma exhibiting a moderate SATB2 immunostaining of a fraction of tumor cells.

Kidney – Papillary renal cell carcinoma showing moderate SATB2 immunostaining of tumor cells.

Kidney – Papillary renal cell carcinoma showing weak SATB2 immunostaining of tumor cells.

Kidney – SATB2 negative clear cell renal cell carcinoma.

       

Kidney – SATB2 negative papillary renal cell carcinoma.

Liver – SATB2 negative cholangiocellular carcinoma.

Lung – SATB2 negative adenocarcinoma.

Lymph node – SATB2 negative diffuse large B-cell lymphoma.

       

Ovary – SATB2 negative clear cell carcinoma.

Ovary – SATB2 negative serous high-grade carcinoma.

Pancreas – Neuroendocrine tumor showing a faint SATB2 immunostaining of tumor cells.

Pancreas – SATB2 negative ductal adenocarcinoma.

       

Prostate – SATB2 negative adenocarcinoma (Gleason 3+3=6).

Salivary gland – SATB2 negative pleomorphic adenoma.

Skin – Merkel cell carcinoma showing a moderate to strong SATB2 immunostaining of all tumor cells.

Soft tissue – Leiomyosarcoma showing a faint SATB2 immunostaining of most tumor cells.

       

Stomach – Gastric adenocarcinoma (diffuse type) showing a weak to moderate SATB2 immunostaining of tumor cells.

Stomach – Gastric adenocarcinoma exhibiting a weak to moderate SATB2 positivity of tumor cells.

Stomach – SATB2 negative gastrointestinal stromal tumor (GIST).

Testis – SATB2 negative seminoma.

       

Thyroid – SATB2 negative medullary cancer.

Urinary bladder – Muscle-invasive urothelial carcinoma exhibiting a moderate SATB2 immunostaining of a fraction of tumor cells.

Urinary bladder – Small cell carcinoma with a moderate intensity SATB2 immunostaining of the majority of tumor cells.

Urinary bladder – SATB2 negative muscle-invasive urothelial carcinoma.

       

Uterus – Endometroid endometrium carcinoma with weak to moderate SATB2 immunostaining of the majority of tumor cells.

Uterus, cervix – SATB2 negative squamous cell carcinoma.

   

 

| TOP |