Cancer Tissue Gallery- GTX639930

StAR antibody [HMV306] HistoMAXTM

 

Go to Normal Tissue Gallery
  
 Go back to product page
  

Go to HistoMAX page

 

Adrenal gland – Adrenocortical adenoma with intense StAR positivity of all tumor cells

Adrenal gland – Adrenocortical adenoma with strong StAR staining of all tumor cells

Adrenal gland –Adrenocortical adenoma with strong StAR staining of tumor cells

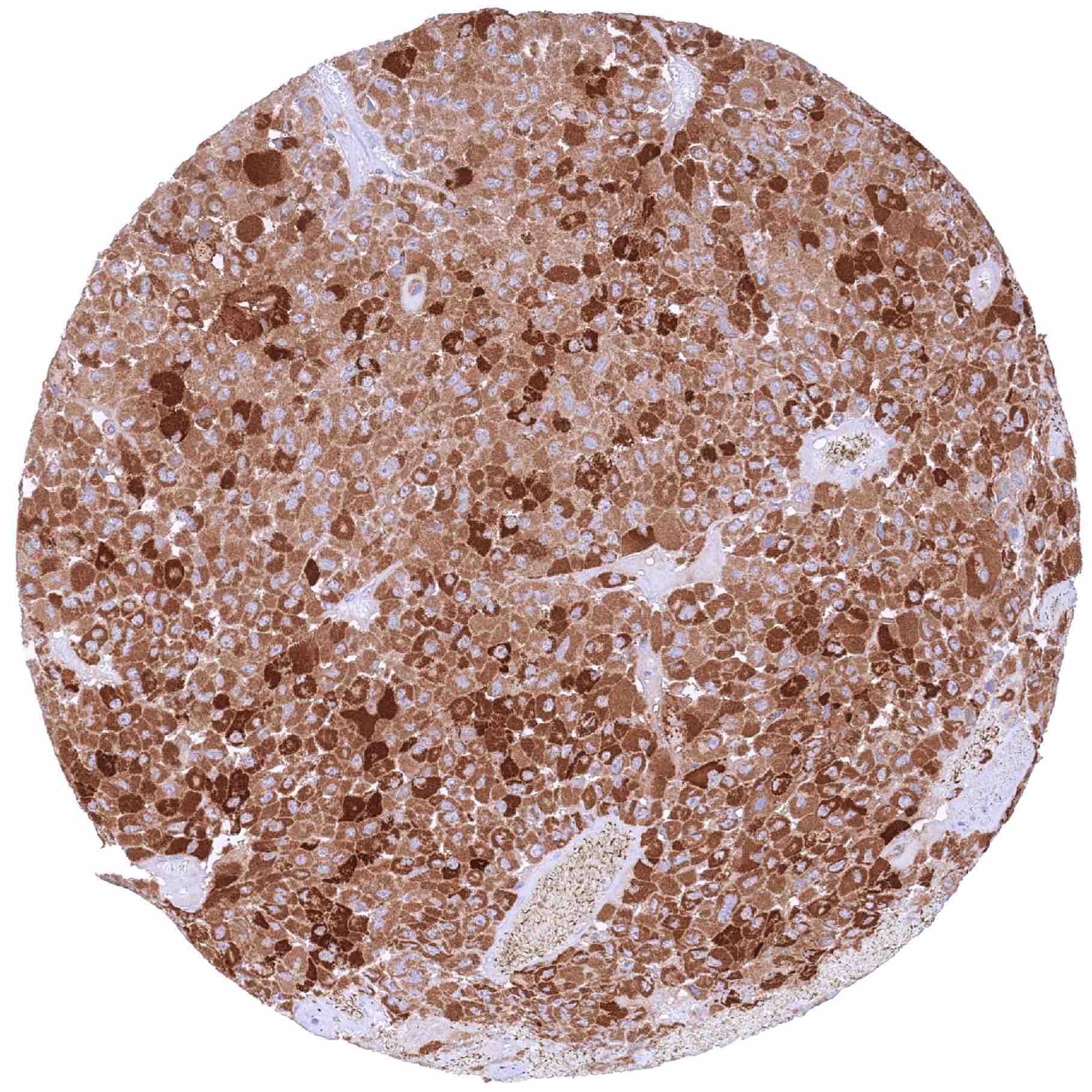
Adrenal gland – Adrenocortical carcinoma with intense StAR staining of all tumor cells

       

Adrenal gland – Adrenocortical carcinoma with strong StAR immunostaining of tumor cells

Adrenal gland – Adrenocortical carcinoma with strong StAR positivity of all tumor cells

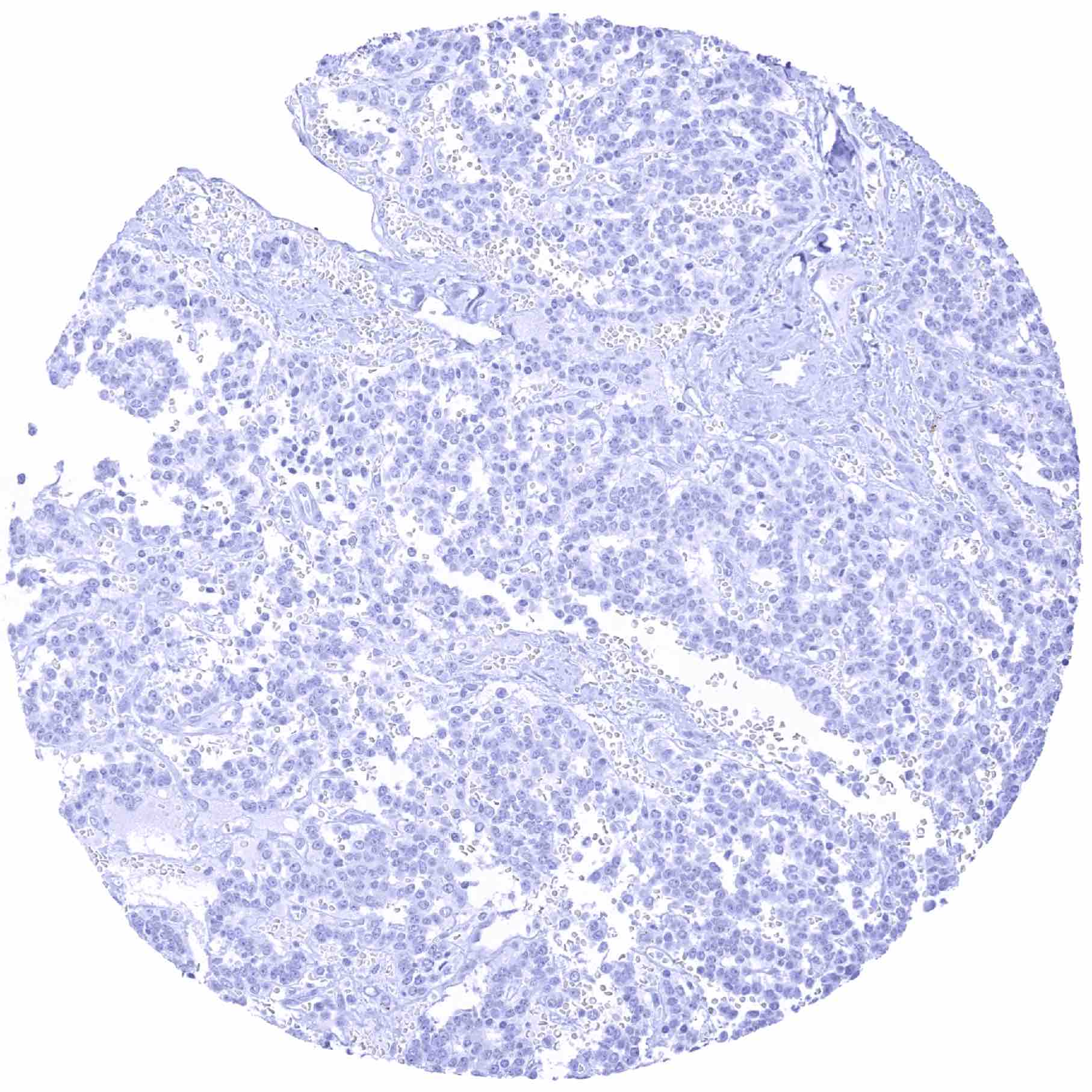
Adrenal gland – StAR negative pheochromocytoma

Anal canal – StAR negative squamous cell carcinoma

       

Breast – StAR negative invasive lobular breast cancer

Colon – StAR negative colorectal adenocarcinoma

Esophagus – StAR negative adenocarcinoma

Esophagus – StAR negative squamous cell carcinoma

       

Kidney – StAR negative clear cell carcinoma

Kidney – StAR negative papillary renal cell carcinoma

Lung – StAR negative adenocarcinoma

Lymph node – StAR negative Hodgkin’s lymphoma

       

Oral cavity – StAR negative squamous cell carcinoma

Ovary – StAR negative endometroid carcinoma containing few interspersed StAR positive stroma cells

Ovary – StAR negative mucinous carcinoma containing a limited number of interspersed StAR positive stroma cells

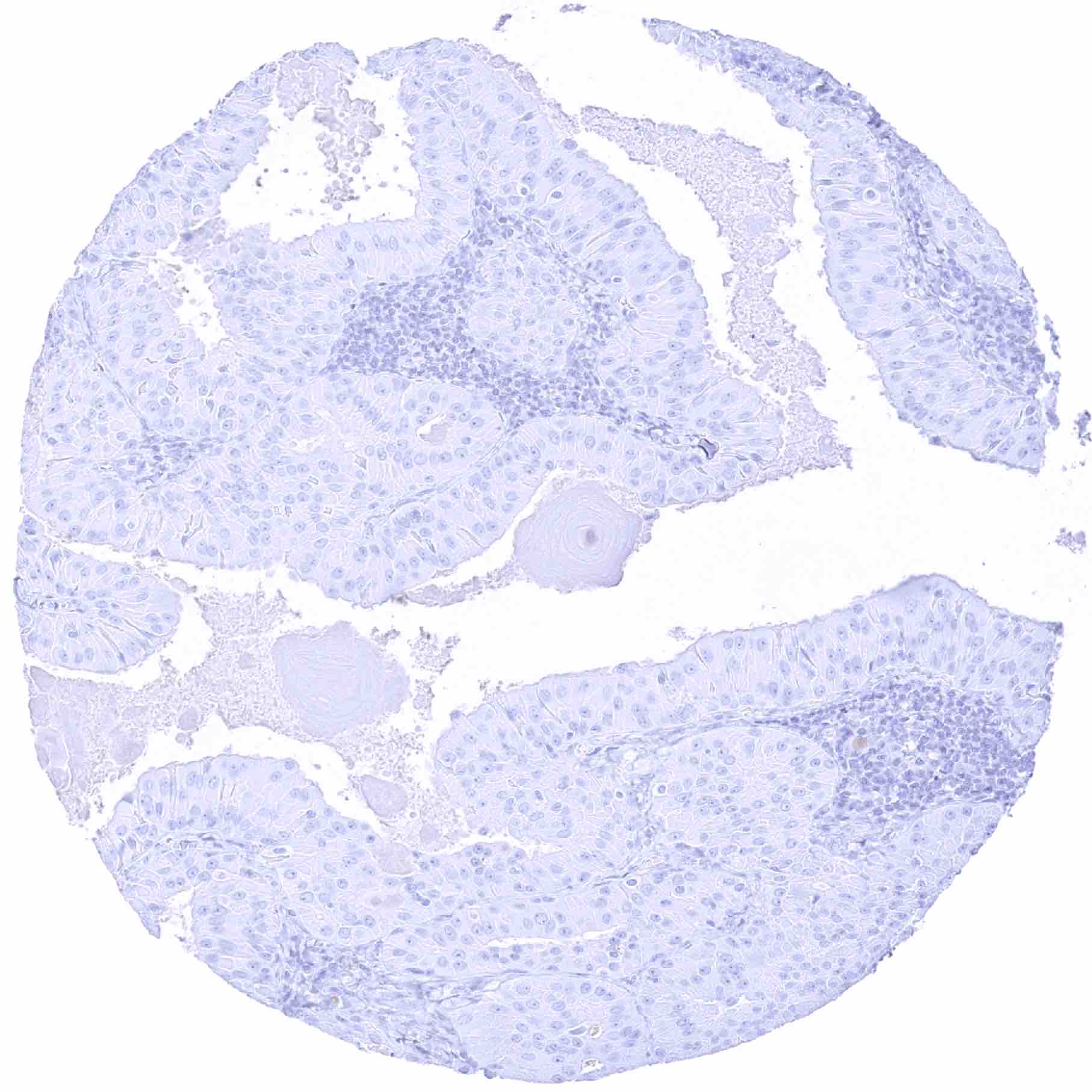
Ovary – StAR negative serous high-grade carcinoma

       

Pancreas – StAR negative neuroendocrine tumor

Prostate – StAR negative adenocarcinoma (Gleason 3+3=6)

Salivary gland – StAR negative Warthin tumor

Soft tissue – StAR negative leiomyosarcoma

       

Stomach – StAR negative gastric adenocarcinoma

Stomach – StAR negative gastrointestinal stromal tumor (GIST)

Testis – Leydig cell tumor with intense StAR staining of all tumor cells

Testis – StAR negative seminoma containing groups of interspersed StAR positive Leydig cells

       

Testis – StAR negative seminoma

Urinary bladder – StAR negative muscle-invasive urothelial carcinoma

   

 

| TOP |