Cancer Tissue Gallery- GTX640564

Vimentin antibody [HMV332] HistoMAXTM

 

Go to Normal Tissue Gallery Go back to product page Go to HistoMAX page

 

Breast – Vimentin negative invasive breast cancer of no special type (NST). Strong Vimentin positivity of stromal cells
Colon – Vimentin negative colorectal adenocarcinoma. Strong Vimentin positivity of stromal cells
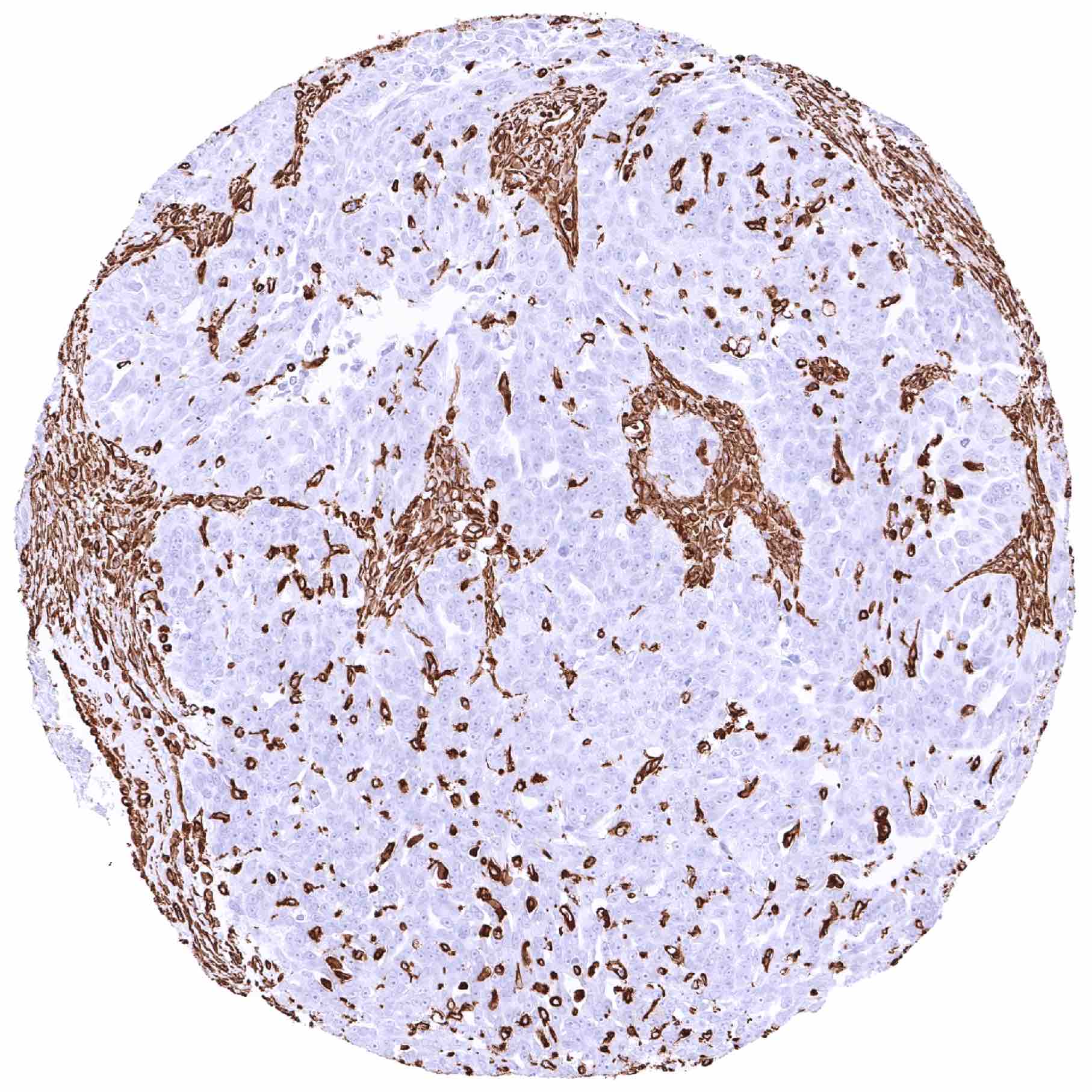
Colon – Vimentin negative colorectal adenocarcinoma
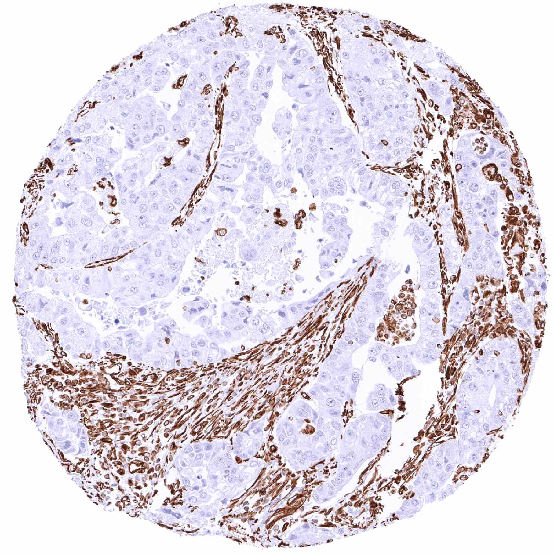
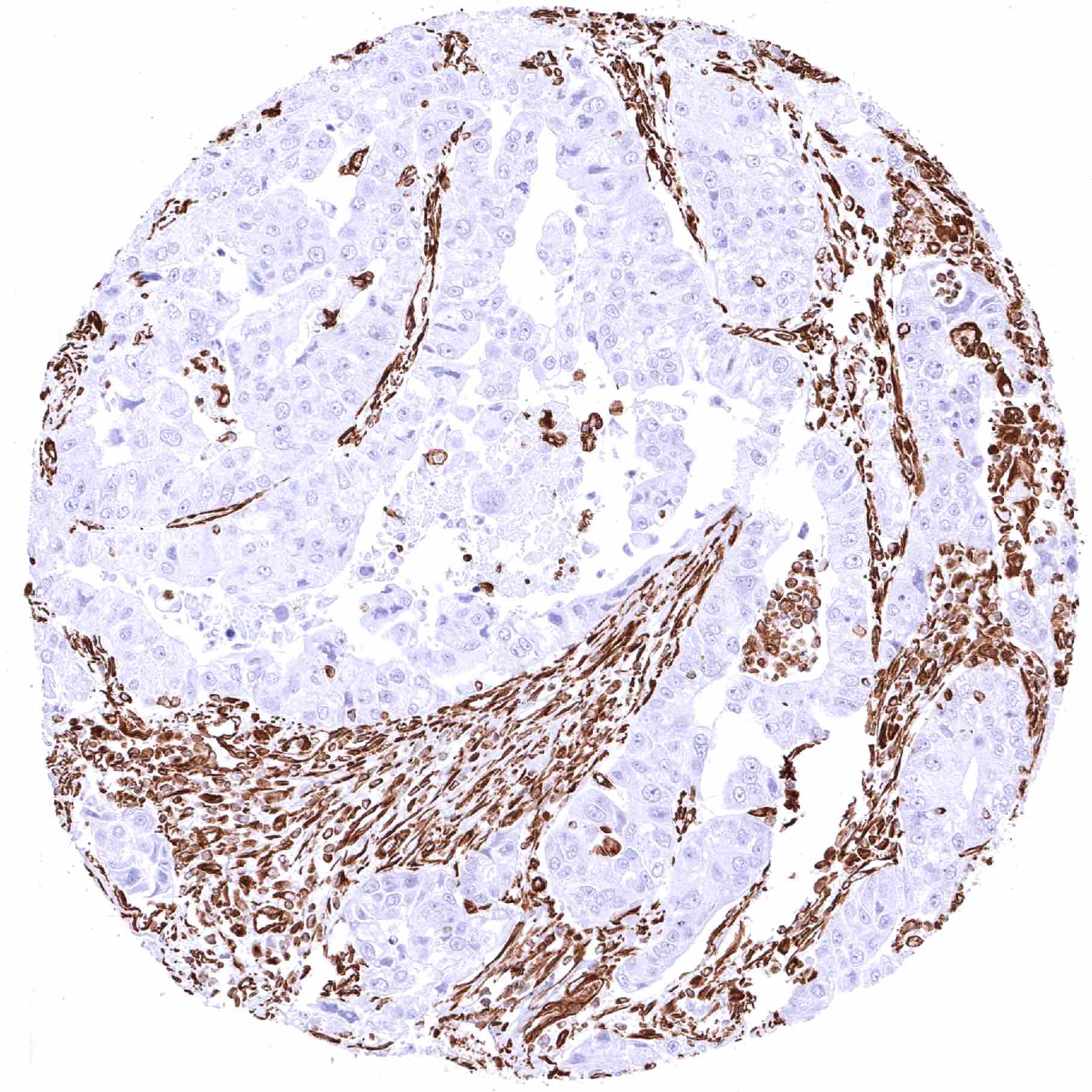
Esophagus – Vimentin negative adenocarcinoma. Strong Vimentin positivity of stromal cells. (2)
Esophagus – Vimentin negative adenocarcinoma. Strong Vimentin positivity of stromal cells
Esophagus – Vimentin negative squamous cell carcinoma. Strong Vimentin positivity of stromal cells
Kidney – Clear cell renal cell carcinoma with strong Vimentin positiivity of tumor cells
Kidney – Clear cell renal cell carcinoma with weak membranous vimentin staining of tumor cells
Kidney – Papillary renal cell carcinoma with strong vimentin staining of tumor cells
Kidney – Vimentin negative oncocytoma
Oral cavity – Vimentin negative squamous cell carcinoma. Strong Vimentin positivity of stromal cells
Ovary – Endometroid carcinoma with strong Vimentin immunostaining of most tumor cells. Stromal cells are also vimentin positive
Ovary – Serous high-grade carcinoma with weak to moderate membranous vimentin staining of a fraction of tumor cells
Ovary – Vimentin negative endometroid carcinoma. Strong Vimentin positivity of stromal cells
Ovary – Vimentin negative serous high-grade carcinoma. Strong Vimentin positivity of stromal cells
Pharynx – Vimentin negative squamous cell carcinoma. Strong Vimentin positivity of stromal cells
Prostate – Vimentin negative adenocarcinoma (Gleason 3+3=6)
Thyroid – Follicular cancer with strong membranos vimentin immunostaining of tumor cells
Urinary bladde – Vimentin negative non-invasive papillary urothelial carcinoma (pTa)
Urinary bladder – Vimentin negative muscle-invasive urothelial carcinoma. Strong Vimentin positivity of stromal cells

| TOP |