Cancer Tissue Gallery- GTX642296

p27 Kip1 antibody [HMV3970] HistoMAX™

 

Go to Normal Tissue Gallery
  
 Go back to product page
  

Go to HistoMAX page

 
Adrenal gland – Adrenocortical carcinoma with strong nuclear p27 staining of all tumor cells.
 

 

Adrenal gland – Pheochromocytoma with a weak to moderate, predominantly nuclear p27 staining of tumor cells.
 

 

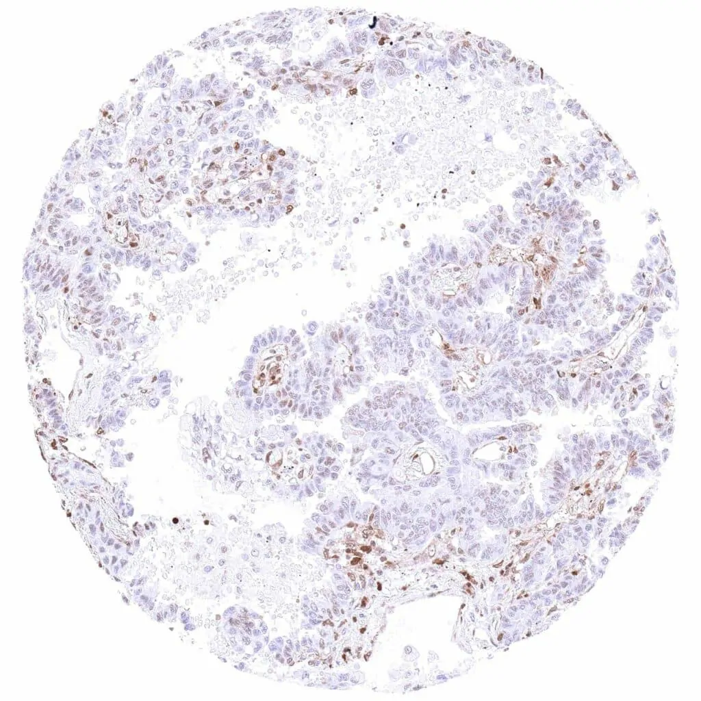
Breast – Invasive breast cancer of no special type (NST) with strong p27 staining of tumor cells.
 

 

Breast – Invasive lobular breast cancer with strong nuclear and cytoplasmic p27 staining of tumor cells.
 

 

       
Colon – Colorectal adenocarcinoma with weak to strong, nuclear and cytoplasmic p27 staining of most tumor cells.
 

 

Esophagus – Adenocarcinoma with moderate to strong, predominantly nuclear p27 staining of tumor cells.
 

 

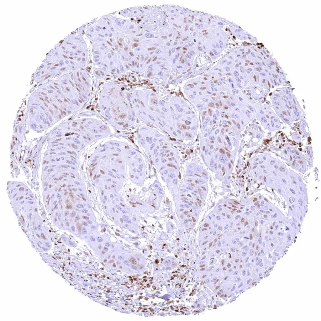
Esophagus – Squamous cell carcinoma with variable, weak to strong p27 positivity of tumor cells.
 

 

Kidney – Chromophobe renal cell carcinoma with distinct nuclear p27 staining of all tumor cells.
 

 

       
Kidney – Clear cell renal cell carcinoma with weak to moderate, predominantly nuclear p27 staining of tumor cells.
 

 

Kidney – Oncocytoma with weak to moderate nuclear p27 staining of tumor cells. A strong cytoplasmic and nuclear p27 staining is also seen in stroma cells (especially in endothelial cells).
 

 

Kidney – Papillary renal cell carcinoma with moderate to strong nuclear and cytoplasmic p27 staining of tumor cells.
 

 

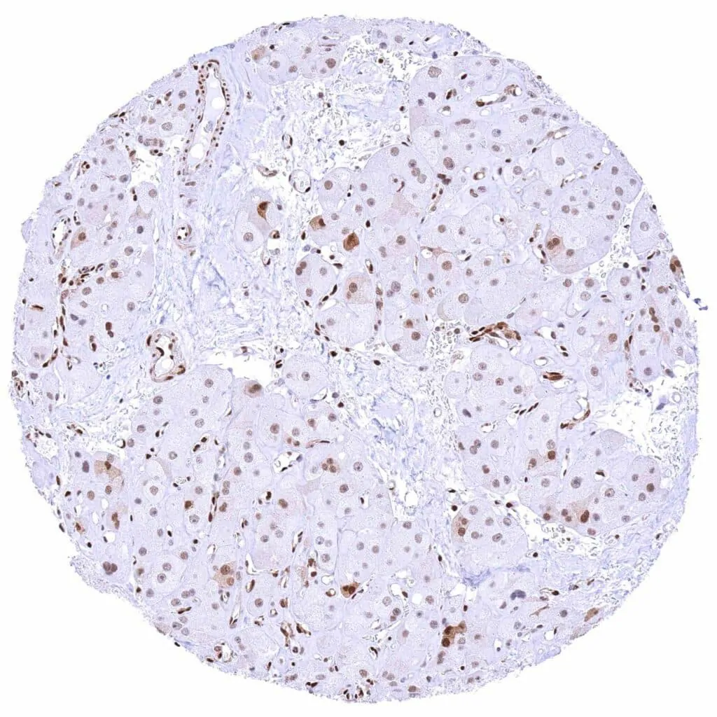
Liver – Hepatocellular carcinoma with weak to moderate, predominantly cytoplasmic p27 staining of a fraction of tumor cells.
 

 

       
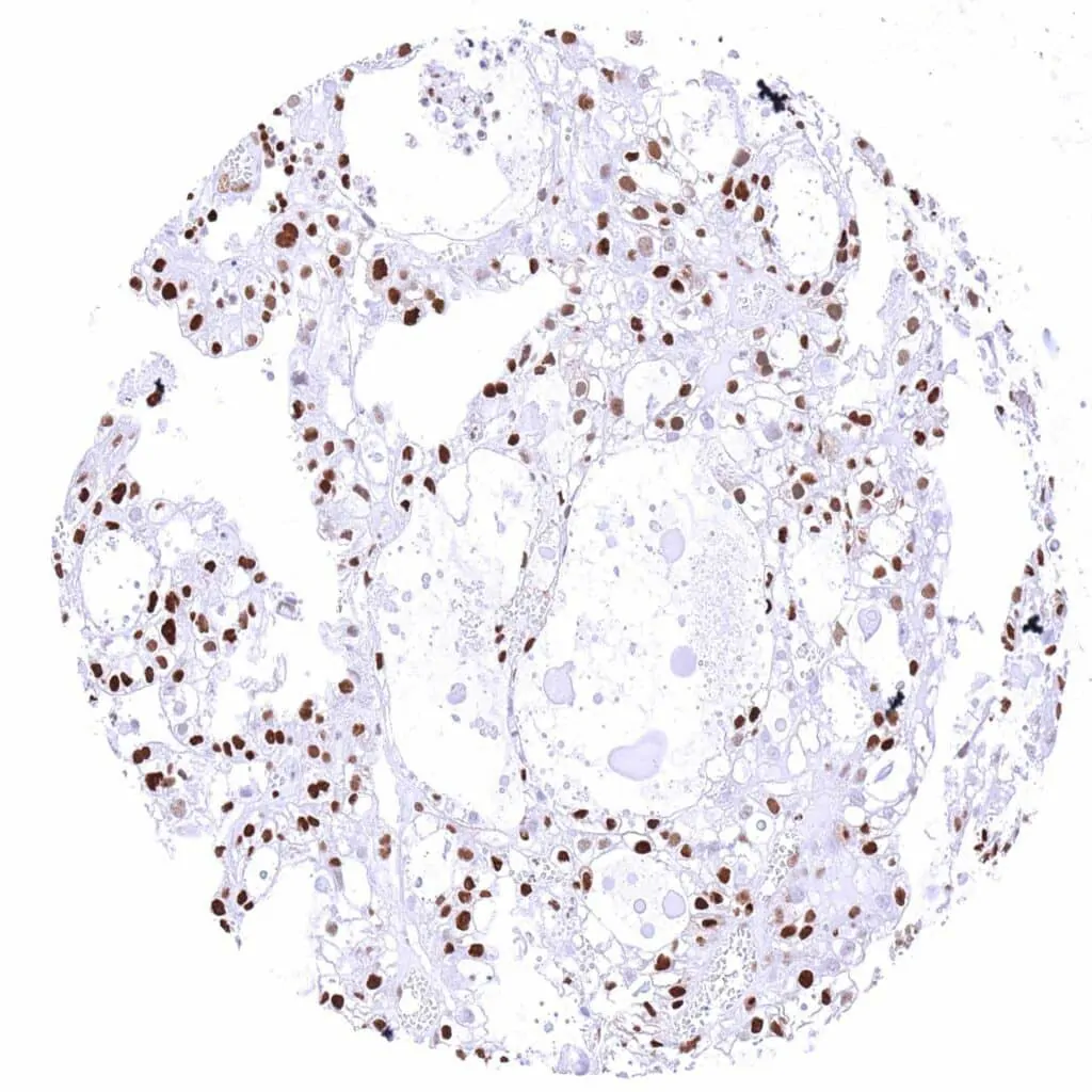
Lung – Adenocarcinoma with faint p27 staining of few tumor cells. Strong p27 positivity of stroma cells.
 

 

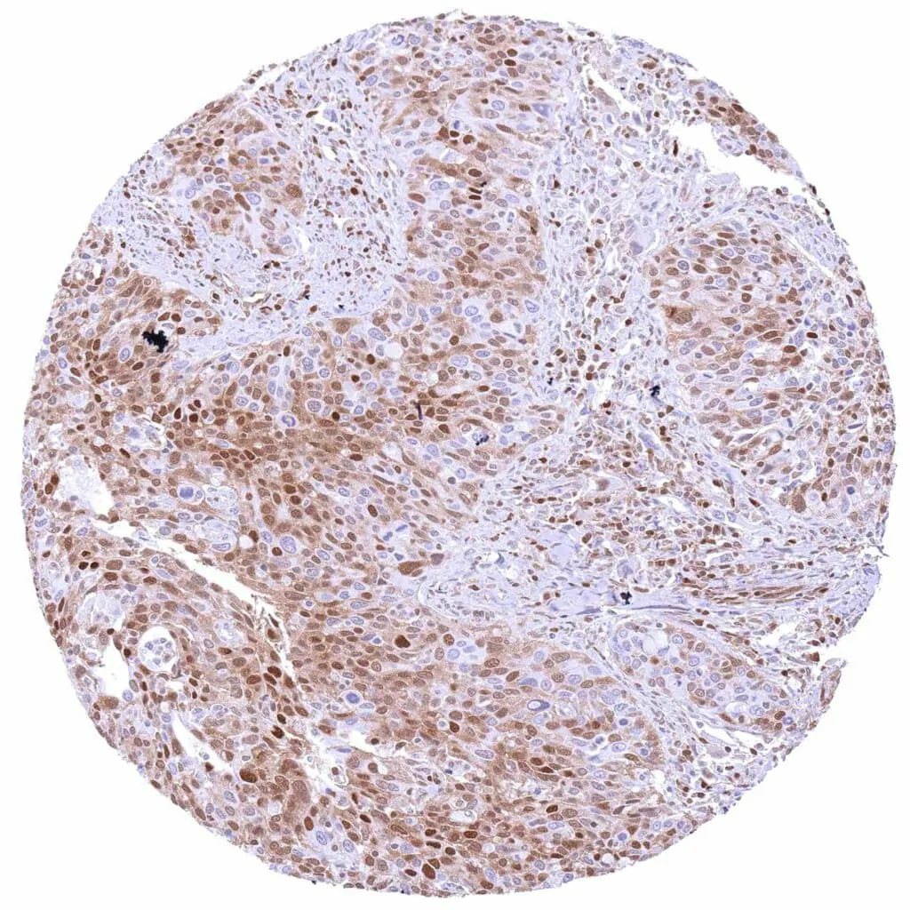
Lung – Adenocarcinoma with strong, predominantly nuclear p27 staining of most tumor cells.
 

 

Lung – Adenocarcinoma with strong, predominantly nuclear p27 staining of most tumor cells.
 

 

Lung – Squamous cell carcinoma with weak, predominantly nuclear p27 positivity of only few tumor cells. Strong p27 staining of stroma cells.
 

 

       
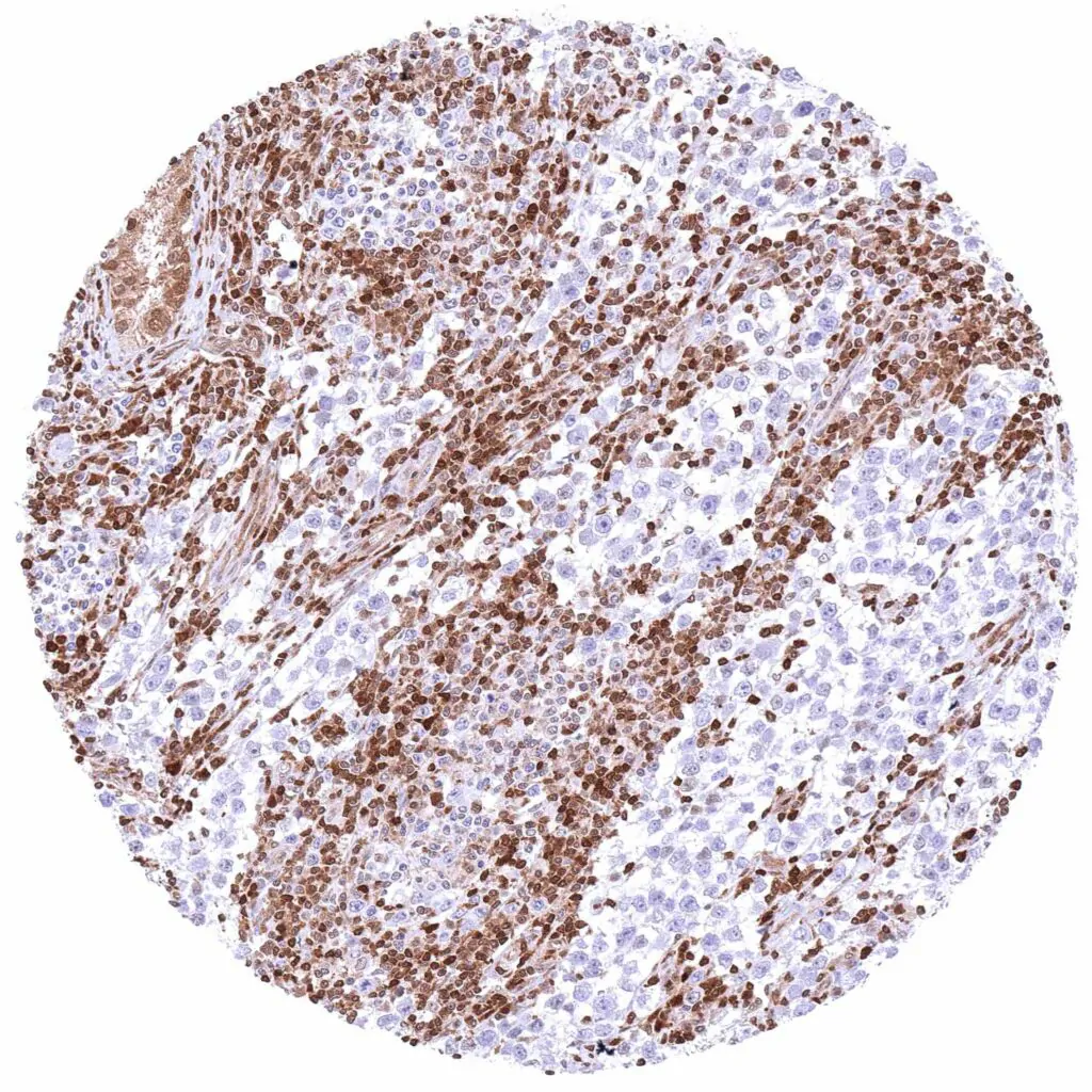
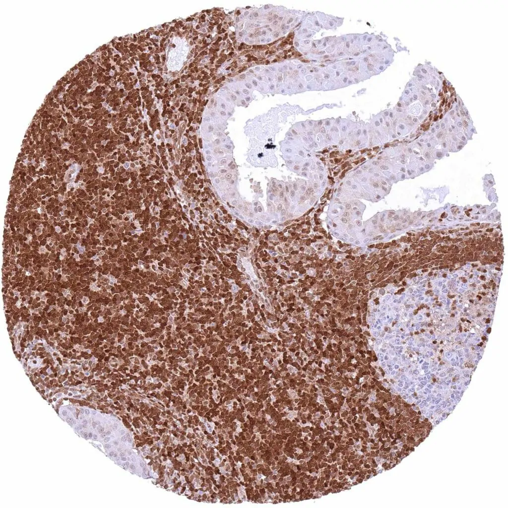
Lymph node – B-CLL with intense nuclear and cytoplasmic p27 positivity of all tumor cells.
 

 

Lymph node – Diffuse large B-cell lymphoma lacking p27 staining in at least most tumor cells. Strong p27 staining of (non-neoplastic) inflammatory cells and stroma cells.
 

 

Lymph node – Diffuse large B-cell lymphoma with strong, predominantly nuclear p27 staining of tumor cells.
 

 

Lymph node – p27 negativity of at least most of the cells of a Hodgkin’s lymphoma. Strong p27 staining of inflammatory cells and other stroma cells.
 

 

       
Ovary – Clear cell carcinoma with strong nuclear p27 positivity of tumor cells.
 

 

Ovary – Endometroid carcinoma with a variable, weak to strong, predominantly cytoplasmic p27 staining of tumor cells.
 

 

Ovary – Malignant mixed Mullerian tumor with strong, predominantly nuclear p27 staining of a large subset of tumor cells.
 

 

Ovary – Serous high-grade carcinoma with a variable, weak to strong, predominantly nuclear p27 staining of most tumor cells.
 

 

       
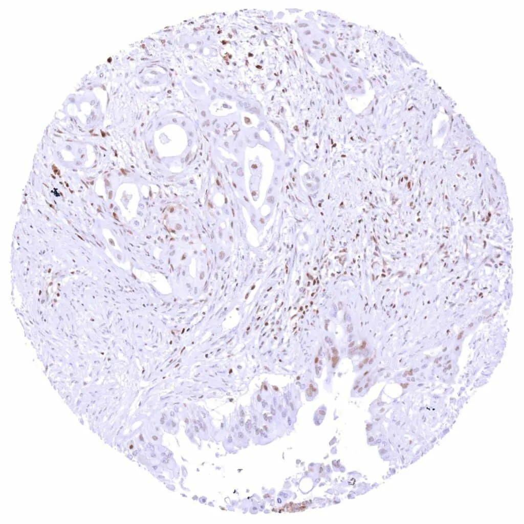
Pancreas – Ductal adenocarcinoma with weak to moderate, predominantly nuclear p27 staining of few tumor cells.
 

 

Pancreas – Neuroendocrine tumor with strong, predominantly nuclear p27 positivity of tumor cells.
 

 

Penis – Squamous cell carcinoma with a variable, weak to strong, predominantly cytoplasmic p27 positivity of most tumor cells.
 

 

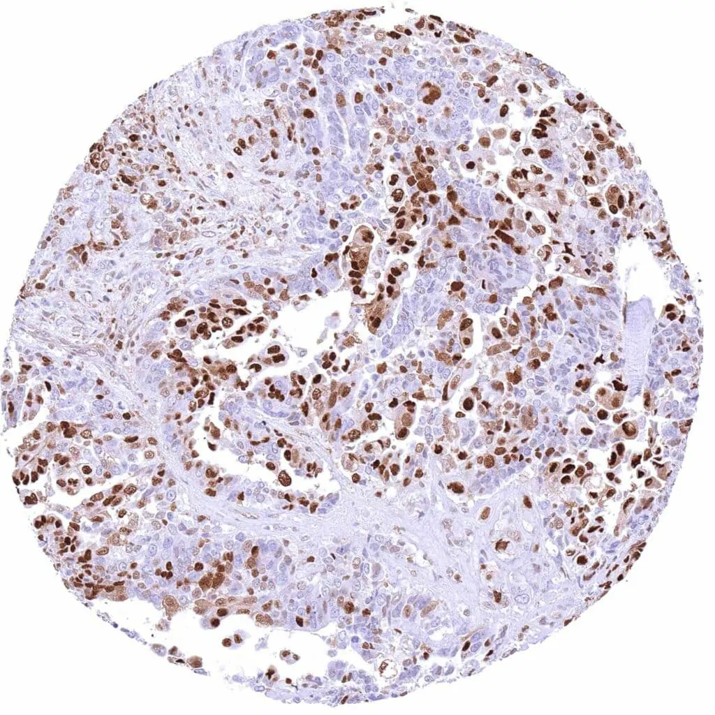
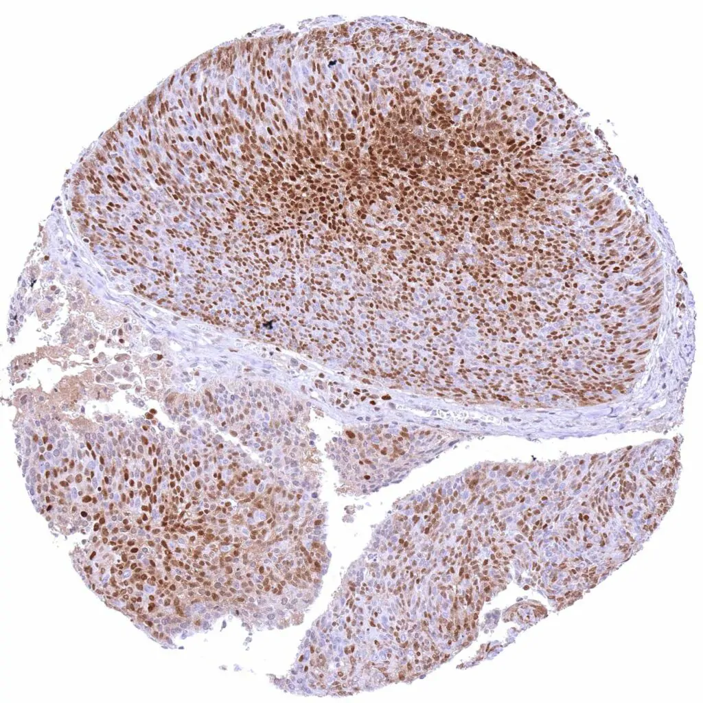
Pharynx – Squamous cell carcinoma with strong, predominantly nuclear p27 staining of most tumor cells.
 

 

       
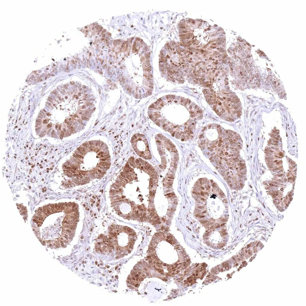
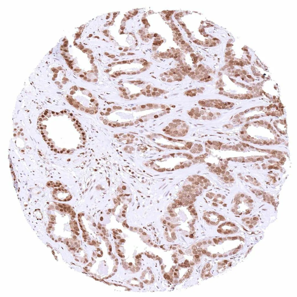
Prostate – Adenocarcinoma (Gleason 3+3=6) with moderate to strong, predominantly nuclear p27 positivity of tumor cells.
 

 

Prostate – Adenocarcinoma (Gleason 5+5=10) with a variable, weak to strong nuclear and cytoplasmic p27 staining of tumor cells.
 

 

Prostate: Adenocarcinoma (Gleason 4+4=8) with strong p27 immunostaining of tumor cells.
 

 

Salivary gland – Warthin tumor with weak cytoplasmic and nuclear p27 staining of few tumor cells while there is a strong p27 staining of inflammatory cells and other stroma cells.
 

 

       
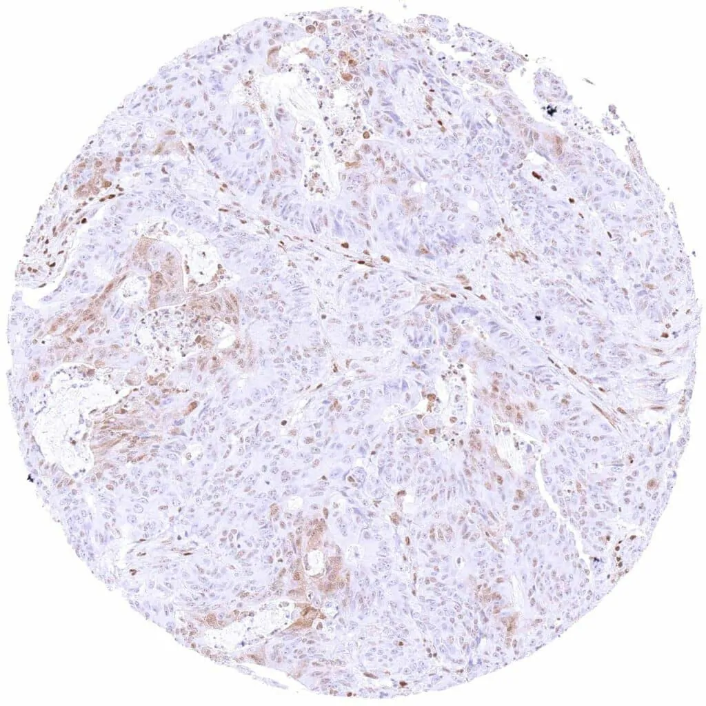
Skin – p27 negative squamous cell carcinoma with strong p27 staining of stroma cells.
 

 

Soft tissue – Leiomyosarcoma with weak, predominantly nuclear p27 staining of few cells.
 

 

Stomach – Gastric adenocarcinoma (intestinal type) with weak p27 staining of a subset of tumor cells.
 

 

Stomach – Gastrointestinal stromal tumor (GIST) with a distinct nuclear and cytoplasmic p27 staining of all tumor cells.
 

 

       
Testis – Leydig cell tumor with a variable, weak to strong, cytoplasmic and nuclear p27 staining of most tumor cells.
 

 

Testis – p27 negative seminoma with strong p27 staining of inflammatory cells and other stroma cells.
 

 

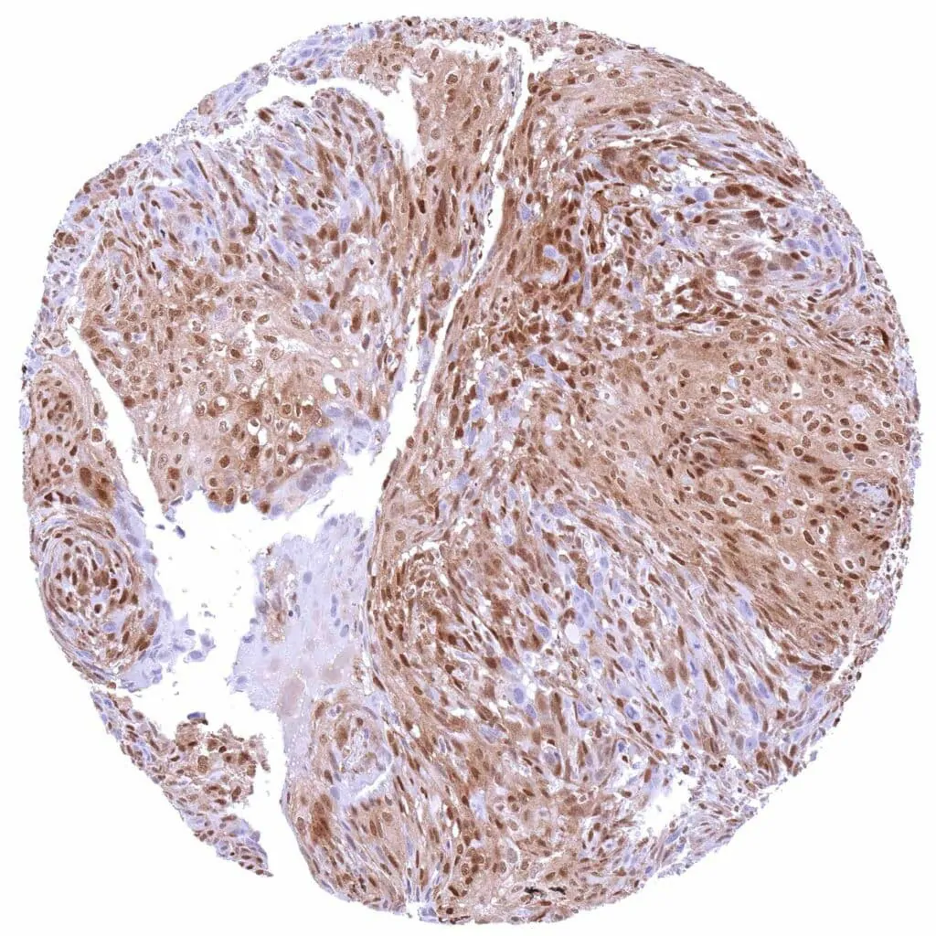
Urinary bladder – Muscle-invasive urothelial carcinoma with moderate to strong, predominantly nuclear p27 staining of tumor cells.
 

 

Urinary bladder – Muscle-invasive urothelial carcinoma with weak to moderate, predominantly nuclear p27 staining of few tumor cells. p27 staining is more prominent in inflammatory cells and stroma cells.
 

 

       
Uterus, cervix – Squamous cell carcinoma with a variable, weak to strong, predominantly cytoplasmic p27 staining of tumor cells.
 

 

Vulva – Squamous cell carcinoma with a variable, weak to strong, predominantly cytoplasmic p27 positivity of tumor cells.
 

 

Vulva – Squamous cell carcinoma with weak to moderate, predominantly nuclear p27 staining of a rather small subset of tumor cells.
 

 

     

 

| TOP |