Cancer Tissue Gallery- GTX04363

pan Cytokeratin antibody [MSVA-000R] HistoMAX

 

Go to Normal Tissue Gallery
  
 Go back to product page
  

Go to HistoMAX page

 

Anaplastic thyroid cancer with strong pan Cytokeratin immunostaining.

pan Cytokeratin negative malignant mesothelioma.

pan Cytokeratin negative squamous cell carcinoma of the oral cavity.

Clear cell carcinoma of the kidney showing cytoplasmic pan Cytokeratin immunostaining of variable intensity.

       

Clear cell carcinoma of the ovary with incomplete membranous pan Cytokeratin immunostaining.

Hepatocellular carcinoma with strong diffuse pan Cytokeratin immunostaining.

Invasive lobular breast cancer showing strong diffuse pan Cytokeratin positivity in tumor cells.

Merkel cell carcinoma of the skin with diffuse pan Cytokeratin immunostaining.

       

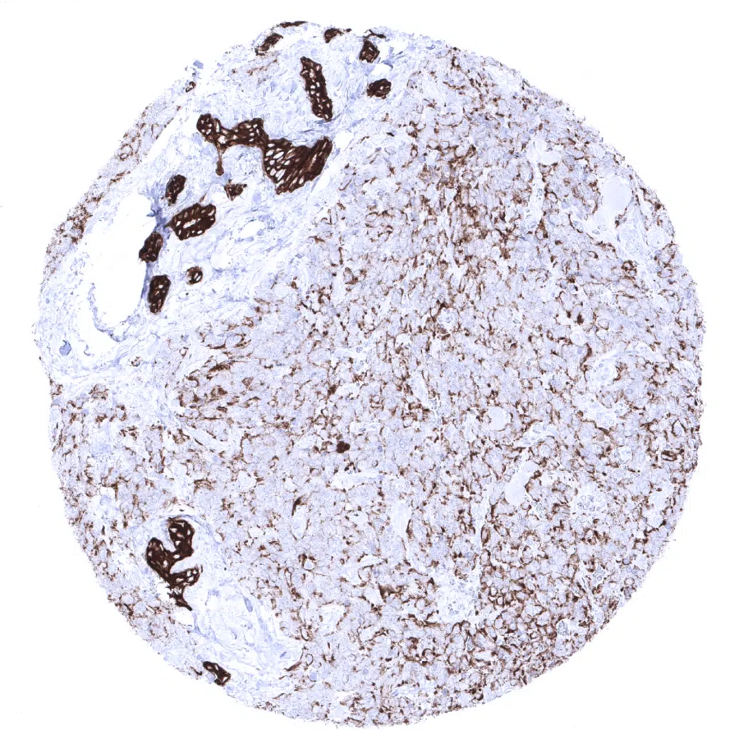
Neuroendocrine tumor of the pancreas with weak to moderate pan Cytokeratin immunostaining. A much stronger staining is seen in retained normal excretory ducts.

Papillary renal cell carcinoma showing focal membranous pan Cytokeratin immunostaining of variable intensity.

Renal angiomyolipoma showing distinct pan Cytokeratin immunostaining of muscular blood vessels.

Seminoma of the testis showing cytoplasmic perinuclear „dot-like“ pan Cytokeratin positivity in a fraction of cells.

       

Strong pan Cytokeratin immunostaining in a poorly differentiated adenocarcinoma of the colon.

Strong diffuse pan Cytokeratin immunostaining in a pancreatic adenocarcinoma.

Strong diffuse pan Cytokeratin immunostaining in a pancreatic adenocarcinoma. In this case fibroblasts of demoplastic sroma reaction also stain pan Cytokeratin positive.

Strong diffuse pan Cytokeratin immunostaining in an angiosarcoma.

       

 

| TOP |