Normal Tissue Gallery- GTX639939

CD32B antibody [HMV315] HistoMAXTM

 

Go to Cancer Tissue Gallery
  
 Go back to product page
  

Go to HistoMAX page

 

Adrenal gland – Distinct CD38B positivity of monocytic cells

Aorta, media

Appendix, mucosa – Strong CD38B staining of B-lymphocytes and perhaps also other inflammatory cells

Appendix, muscular wall

       

Bone marrow – CD38B staining of a significant fraction of cells

Breast – CD38B staining of inflammatory cells

Bronchus, mucosa – CD38B staining of inflammatory cells

Cerebellum (white matter)

       

Cerebellum, cortex (molecular layer, Purkinje cell layer, granule cell layer)

Cerebrum, grey matter

Cerebrum, white matter

Colon descendens, mucosa – Strong CD38B staining of a focal accumulation of B-lymphocytes

       

Colon descendens, muscular wall

Duodenum, Brunner gland

Duodenum, mucosa – Strong CD38B staining of numerous inflammatory cells

Epididymis (Caput) – Distinct CD38B staining of a fraction (not of all!) of endothelial cells in small vessels

       

Epididymis (Cauda)

Esophagus, squamous epithelium – Esophagus, squamous epithelium – Distinct CD38B staining of intraepithelial and stromal cells

Fallopian tube, mucosa – Strong CD38B staining of inflammatory cell types

Fat

       

Gallbladder, epithelium – CD38B staining of few inflammatory cells

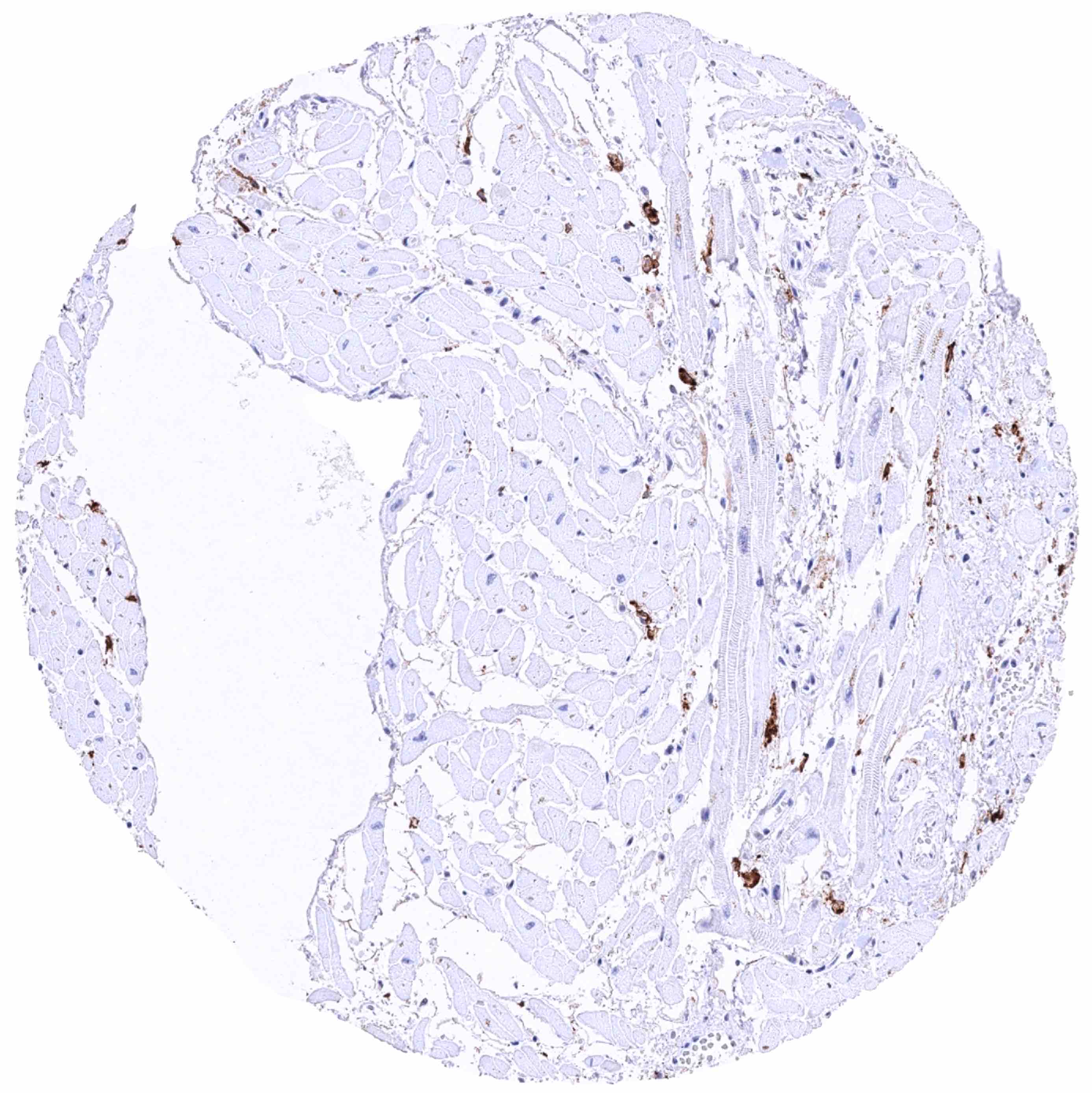
Heart muscle

Heart muscle

Ileum, mucosa – CD38B staining of some inflammatory cells

       

Kidney, cortex – CD38B staining of some inflammatory cells and perhaps also of some endothelial cells of some microvessels

Kidney, medulla

Liver – Distinct CD38B staining of endothelial cells of liver sinusoids

Lung

       

Lymph node – CD38B staining of variable intensity in a large fraction of B-lymphocytes and perhaps also other cells

Ovary, corpus luteum – Strong CD38B staining of few (inflammatory) cells

Ovary, follicular cyst – Strong CD38B staining of all endothelial cells

Ovary, stroma – Strong CD38B staining of few inflammatory cells

       

Pancreas – CD38B staining of some inflammatory cells

Parathyroid gland

Parotid gland

Parotid gland

       

Pituitary gland, posterior lobe – Distinct CD38B staining of some (monocytic and-or endothelial) cells

Placenta (amnion and chorion)

Placenta, mature – Strong CD38B staining of all endothelial cells

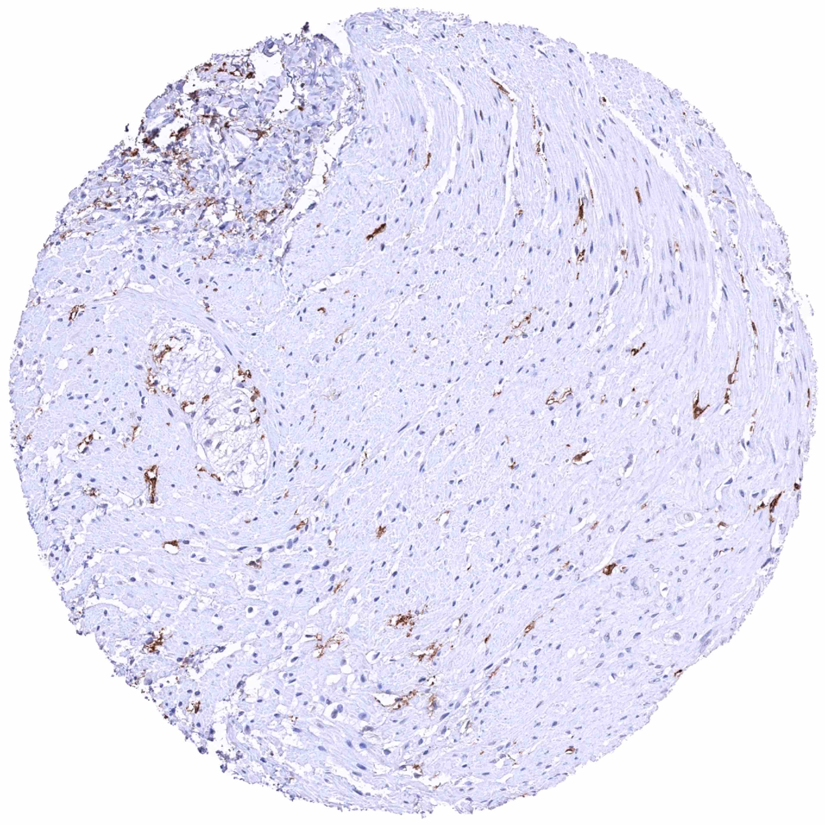
Prostate

       

Rectum, mucosa – CD38B staining of some inflammatory cells

Seminal vesicle

Sinus paranasales

Skeletal muscle – Strong CD38B staining of a fraction (not of all!) of endothelial cells in small vessels

       

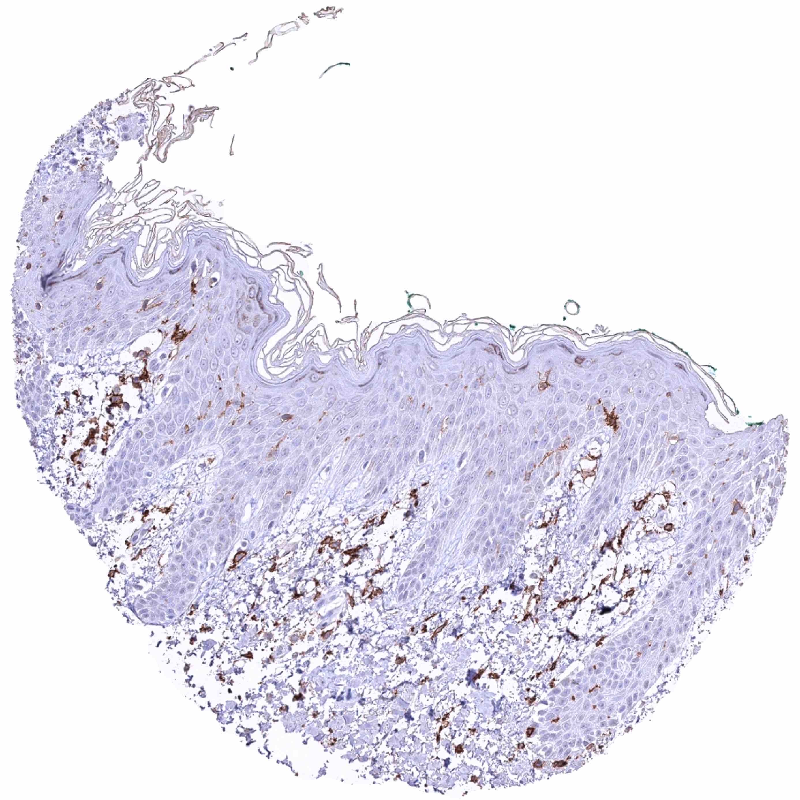
Skin – Distinct CD38B staining of intraepidermal dendritic cells (Langerhans cells). Other inflammatory cells are also CD38B positive

Skin

Spleen – CD38B staining of variable intensity in most B-lymphocytes of the white pulpa

Stomach, antrum

       

Stomach, corpus – Distinct CD38B positivity of some inflammatory cells. Weak non-specific background staining of gastric glands

Stomach, corpus – Strong CD38B staining of many inflammatory cells

Testis – Distinct CD38B staining of a fraction (not of all!) of endothelial cells in small vessels. Some inflammatory cells also stain positive

Thymus – CD38B staining of only few cells

       

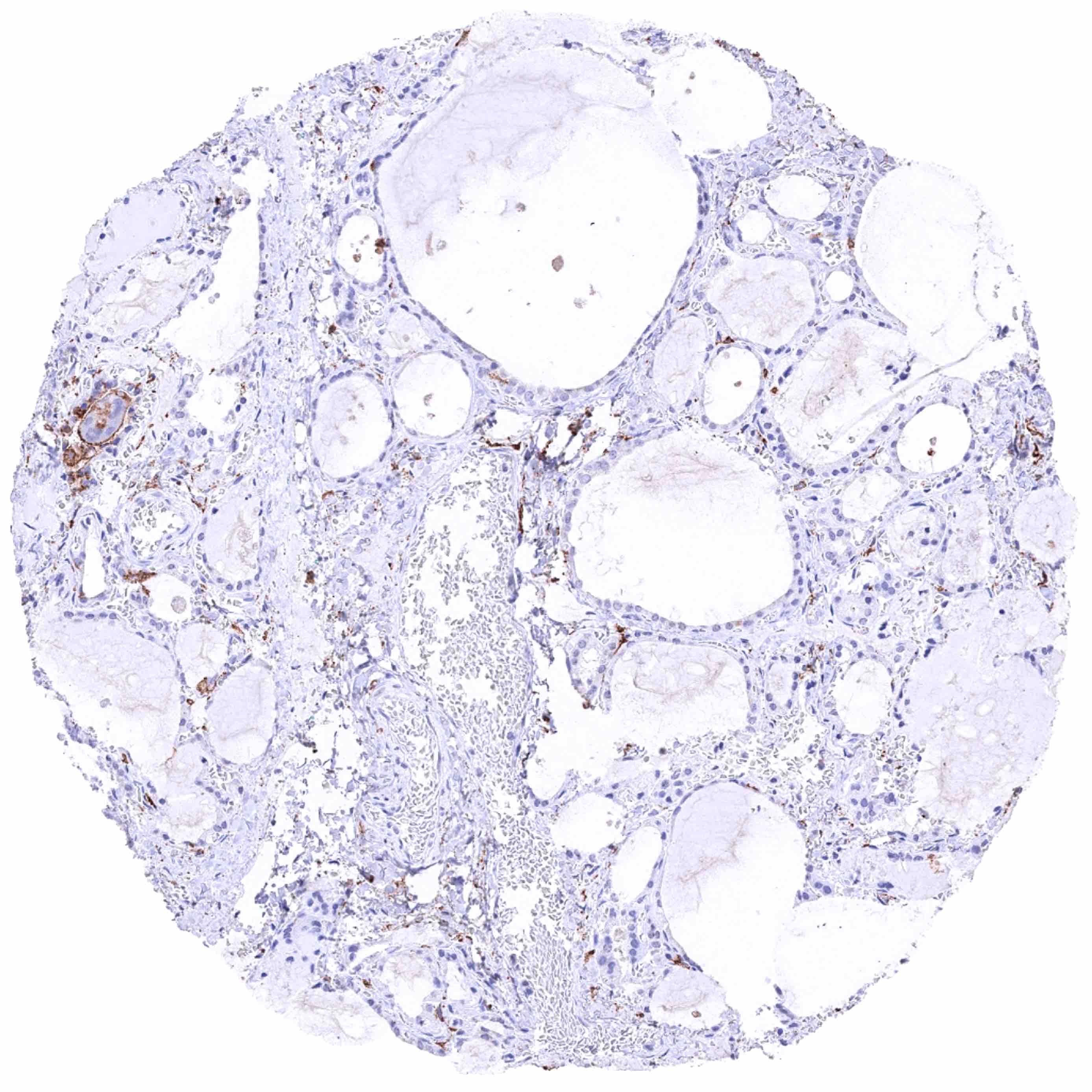
Thyroid gland

Tonsil – CD38B staining of variable intensity in a large fraction of B-lymphocytes and perhaps also other cells. CD32B staining is least intense in most germinal centre cells

Tonsil – CD38B staining of variable intensity in a large fraction of B-lymphocytes and perhaps also other cells. CD32B staining intensity is low in most germinal centre cells

Tonsil, surface epithelium – CD38B staining of variable intensity in a large fraction of B-lymphocytes and perhaps also other cells

       

Urinary bladder, muscular wall

Urinary bladder, urothelium – Distinct CD38B staining of intraepithelial and stromal inflammatory cells

Uterus, ectocervix – Distinct CD38B staining of intraepithelial dendritic cells. Other inflammatory cells are also CD38B positive

Uterus, endocervix – CD38B staining of inflammatory cells

       

Uterus, endometrium (pregnancy) – CD38B staining of few inflammatory cells

Uterus, endometrium (pregnancy) – Strong CD38B staining of inflammatory cells (and perhaps also some endothelial cells)

Uterus, endometrium (proliferation)

Uterus, endometrium (secretion)

       

Uterus, myometrium – Strong CD38B staining of inflammatory cells

 

 

| TOP |