Normal Tissue Gallery- GTX04380

EpCAM antibody [MSVA-326R] HistoMAX

 

Go to Cancer Tissue Gallery
  
 Go back to product page
  

Go to HistoMAX page

 

Adrenal gland – In the adrenal gland, EpCAM staining can be very faint or even absent.

Adrenal gland – In the adrenal gland, a weak membranous staining of adrenocortical cells can be seen.

Aorta, media

Appendix, mucosa

       

Appendix, muscular wall

Bone marrow

Breast – In the breast gland, luminal cells are strongly positive but basal/myoepithelial cells show much less or absent staining.

Bronchus, mucosa

       

Cerebellum (granule cell layer, white matter)

Cerebellum (molecular layer, Purkinje cell layer, granule cell layer)

Cerebrum, grey matter

Cerebrum, white matter

       

Colon descendens, mucosa

Colon descendens, mucosa

Duodenum, Brunner gland

Duodenum, mucosa

       

Epididymis

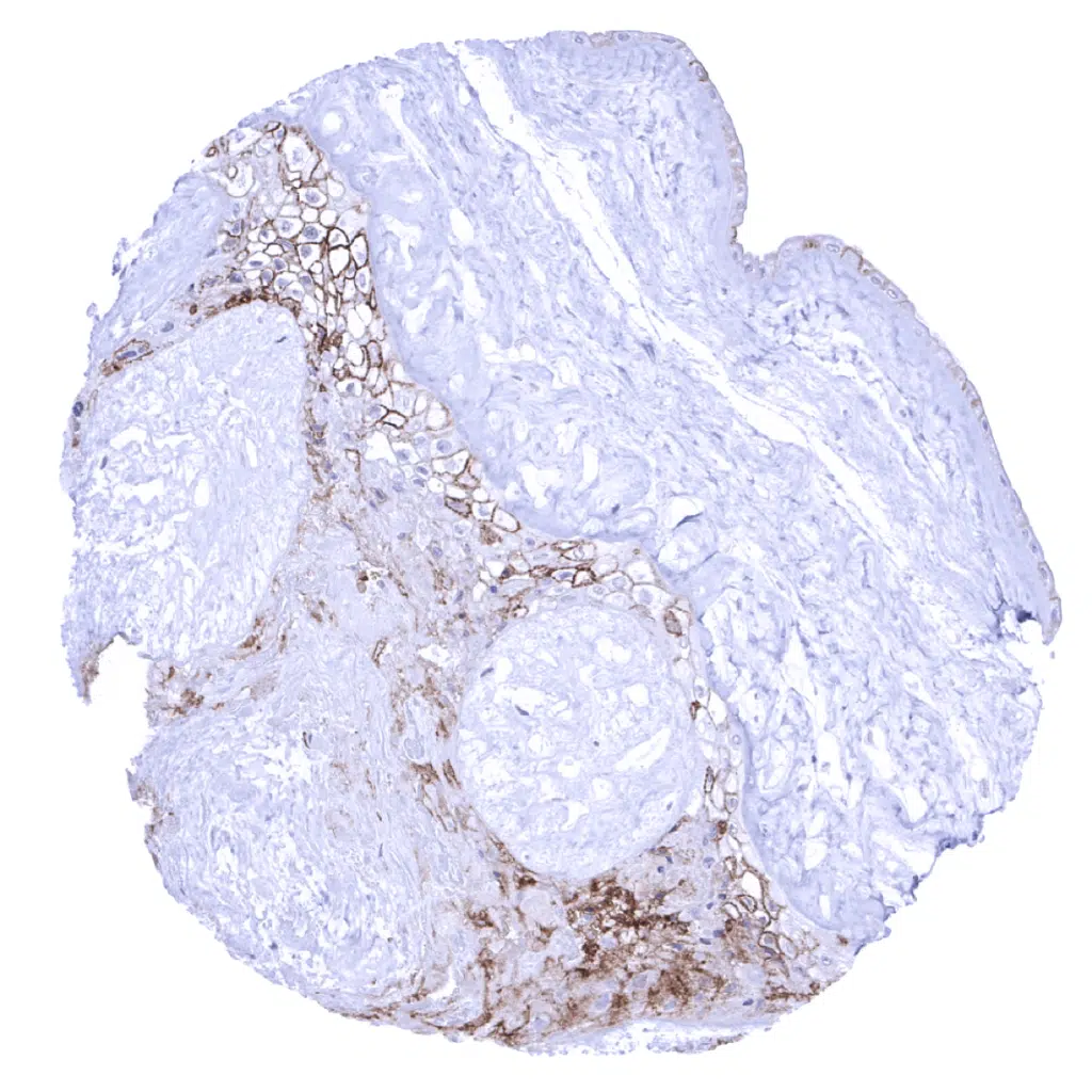
Esophagus, squamous epithelium – A weak to moderate EpCam immunostaining is seen in the suprabasal cell layers of esophageal squamous epithelium.

Fallopian tube, mucosa

Fat

       

Gallbladder, epithelium

Heart muscle

Ileum, mucosa

Kidney, cortex – In the kidney, a strong staining is seen in the distal tubuli while staining is less intense and focussed to the basolateral membranes in the majority of proximal tubulus cells. Scattered epithelial cells lining the Bowman capsule are also positive.

       

Liver – In the liver, hepatocytes are EpCAM negative but EpCAM is strongly expressed in epithelial cells of the bile ducts.

Liver – In the liver, hepatocytes are EpCAM negative but EpCAM is strongly expressed in epithelial cells of the bile ducts.

Lung – In the lung, a weak to moderate EpCAM immunostaining is seen in pneumocytes.

Lymph node

       

Ovary, stroma

Ovary, stroma – A strong EpCAM immunostaining is seen in oocytes of the ovary.

Pancreas

Parathyroid gland

       

Parotid gland

Pituitary gland, anterior lobe

Pituitary gland, posterior lobe

Placenta, first trimester – In the first trimester placenta only cytotrophoblast cells shows a weak to moderate EpCAM staining.

       

Placenta, mature – In the mature placenta, a weak membranous staining of the basal membrane of the trophoblast layer is occasionally seen.

Placenta, mature, amnion and chorion – EpCam immunostaining is moderate in chorion cells and weak in amnion cells of the placenta.

Prostate

Rectum, mucosa

       

Seminal vesicle

Sinus paranasales

Skeletal muscle

Skin

       

Spleen

Stomach, antrum

Stomach, corpus – EpCAM is strongly expressed in epithelial cells of the stomach. Only parietal cells show a weaker staining limited to the basolateral membranes.

Testis – In the testis, spermatogonia and spermatocytes show strong EpCAM immunostaining but Sertoli and Leydig cells are negative.

       

Thymus – Most thymus epithelial cells including corpuscles of Hassall’s show a weak to moderate EpCAM positivity.

Thyroid gland

Tonsil – A moderate EpCAM positivity is seen in a subset of squamous epithelial cells of the tonsil crypts.

Tonsil, surface epithelium – A weak to moderate EpCam immunostaining is seen in the basal cell layers of squamous epithelium of the tonsil surface.

       

Urinary bladder, muscular wall

Urinary bladder, urothelium

Uterus, ectocervix – A weak EpCam positivity is seen in the basal cell layer of squamous epithelium of the ectocervix.

Uterus, endocervix

       

Uterus, endometrium (pregnancy)

Uterus, endometrium (proliferation)

Uterus, endometrium (secretion)

Uterus, myometrium

       

 

| TOP |