Normal Tissue Gallery- GTX04421

Histone H3 antibody [MSVA-903M] HistoMAX

 

Go to Cancer Tissue Gallery
  
 Go back to product page
  

Go to HistoMAX page

 

Adrenal gland

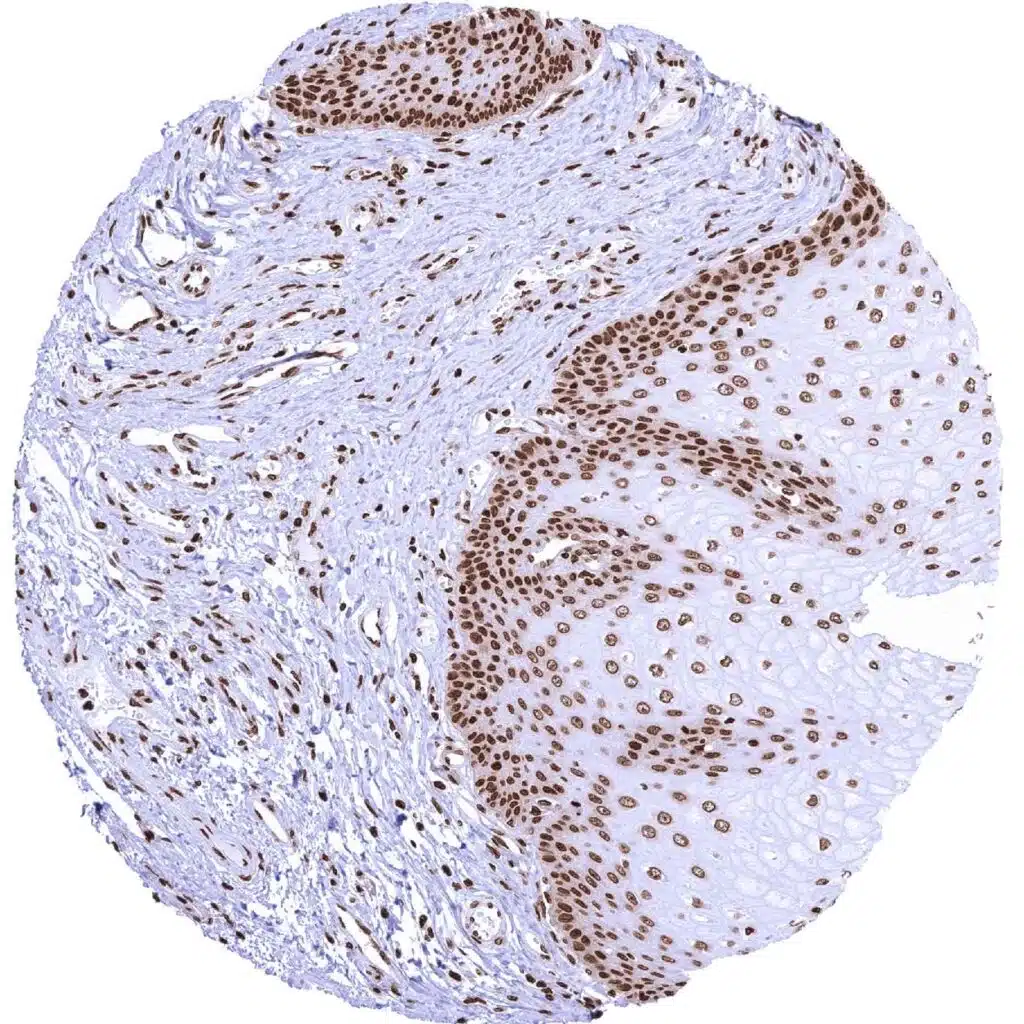
Anal canal, skin – Histone H3 staining of all nuclei. In the squamous epithelium, the staining intensity decreases towards the surface

Aorta, media

Appendix, muscular wall

       

Bone marrow

Breast

Bronchus, mucosa

Cerebellum (white matter)

       

Cerebellum, (molecular layer, Purkinje cell layer, granule cell layer)

Cerebrum, grey matter

Cerebrum, white matter

Colon descendens, mucosa

       

Colon descendens, muscular wall

Duodenum, Brunner gland

Duodenum, mucosa

Epididymis, caput

       

Epididymis, cauda

Esophagus, squamous epithelium

Fallopian tube, mucosa

Fat

       

Gallbladder, epithelium

Heart muscle

Ileum, mucosa

Kidney, cortex

       

Kidney, medulla

Liver

Lung

Lymph node

       

Ovary, stroma

Pancreas

Parathyroid gland

Parotid gland

       

Pituitary gland, anterior lobe

Pituitary gland, posterior lobe

Placenta, early

Placenta, mature

       

Placenta(amnion and chorion)

Prostate

Rectum, mucosa

Seminal vesicle

       

Sinus paranasales

Skeletal muscle

Skeletal muscle

Skin

       

Skin

Stomach, antrum

Stomach, corpus

Testis

       

Thymus

Thymus (2)

Thyroid gland

Tonsil, surface epithelium

       

Tonsil

Urinary bladder, muscular wall

Urinary bladder, urothelium

Uterus, Ectocervix

       

Uterus, Endocervix

Uterus, endometrium (pregnancy)

Uterus, endometrium (proliferation)

Uterus, endometrium (secretion)

       

Uterus, myometrium

 

 

| TOP |