Normal Tissue Gallery- GTX04473

Somatostatin antibody [MSVA-638R] HistoMAXTM

 

a
Go to Cancer Tissue Gallery
  
 Go back to product page
  

Go to HistoMAX page

 

Adrenal gland – A subset of cells shows somatostatin positivity of variable intensity

Adrenal gland – Somatostatin staining is lacking in this sample

Anal canal, skin

Aorta, media

       

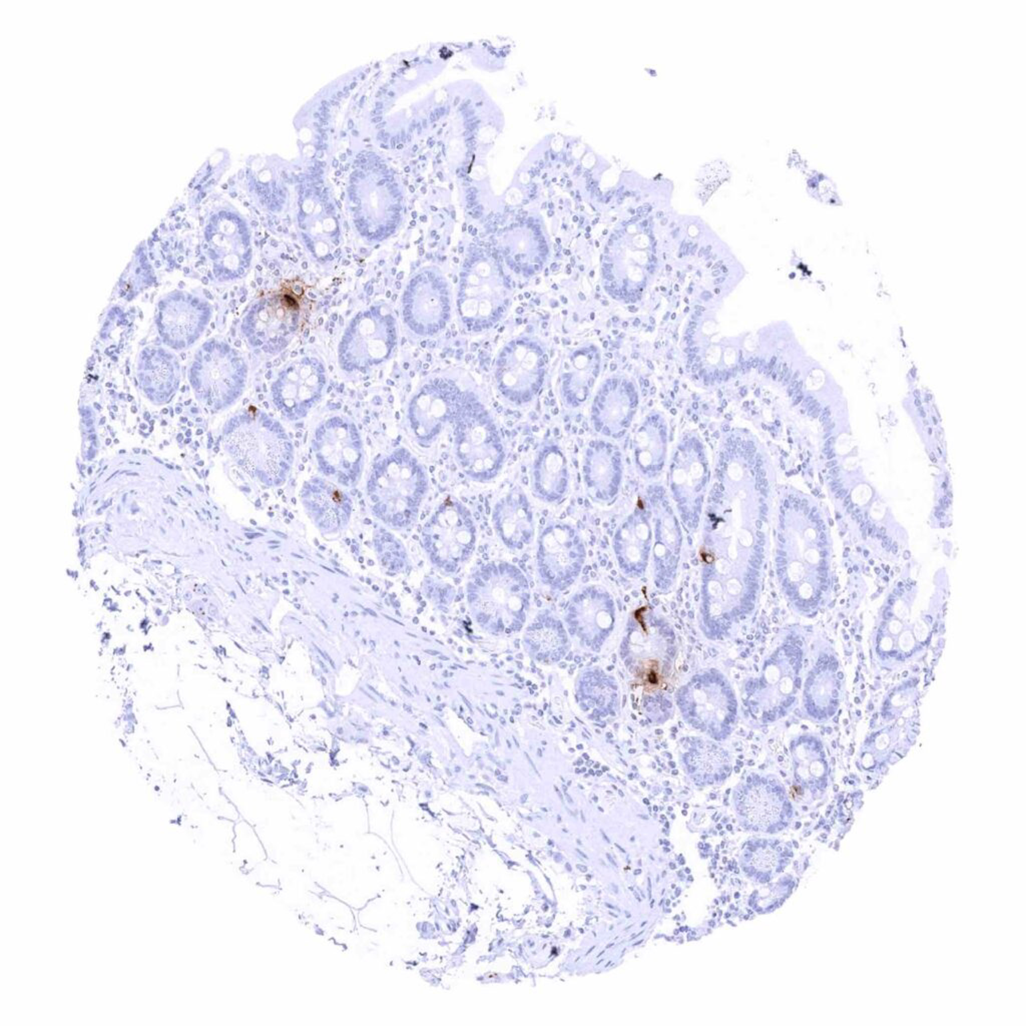
Appendix, mucosa

Appendix, muscular wall

Bone marrow

Breast

       

Bronchus, mucosa

Bronchus, mucosa

Cerebellum, cortex (Stratum moleculare)

Cerebellum, grey (Stratum neuronorum)

       

Cerebrum, grey matter – A small subset of neurons shows somatostatin positivity of variable intensity

Cerebrum, white matter

Colon descendens, mucosa – Intense somatostatin staining of scattered neuroendocrine (delta) cells. Contamination artifacts of adjacent cells are caused by very high levels of somatostatin expression in positive cells.

Colon descendens, muscular wall

       

Duodenum – Strong somatostatin positivity of scattered neuroendocrine cells

Duodenum, Brunner gland – Moderate to strong somatostatin positivity of scattered neuroendocrine cells

Duodenum, mucosa – Intense somatostatin staining of scattered neuroendocrine (delta) cells

Epididymis

       

Esophagus, squamous epithelium

Fallopian tube, mucosa

Fat

Gallbladder, epithelium

       

Heart muscle

Ileum, mucosa – Intense somatostatin staining of scattered neuroendocrine (delta) cells

Kidney, cortex

Kidney, medulla

       

Kidney, pelvis, urothelium

Liver

Lung

Lymph node

       

Ovary, stroma

Pancreas – Strong somatostatin positivity of a subset of pancreatic islet cells

Parathyroid gland

Parotid gland

       

Pituitary gland, anterior lobe

Pituitary, posterior lobe- infundibulum

Placenta (amnion and chorion)

Placenta early, decidua

       

Placenta, early

Placenta, mature

Prostate

Rectum, mucosa – Strong somatostatin positivity of scattered neuroendocrine (delta) cells

       

Seminal vesicle

Sinus paranasales

Skeletal muscle

Skin

       

Spleen

Stomach, antrum – Distinct somatostatin staining of scattered neuroendocrine (delta) cells

Stomach, antrum – Distinct somatostatin staining of scattered neuroendocrine (delta) cells

Stomach, corpus – Weak somatostatin staining of few scattered neuroendocrine cells

       

Sublingual gland

Testis

Thymus

Thyroid gland

       

Tonsil, surface epithelium

Tonsil

Urinary bladder, muscular wall

Urinary bladder, urothelium

       

Uterus, ectocervix

Uterus, endocervix

Uterus, endometrium (proliferation)

Uterus, endometrium (secretion)

       

Uterus, endometrium (secretion)

Uterus, myometrium

   

 

| TOP |