Normal Tissue Gallery- GTX639930

StAR antibody [HMV306] HistoMAXTM

 

Go to Cancer Tissue Gallery
  
 Go back to product page
  

Go to HistoMAX page

 

Adrenal gland – Strong StAR staining of adrenocortical cells while medullary cells are StAR negative

Adrenal gland – Strong StAR staining of adrenocortical cells

Aorta, media

Appendix, mucosa

       

Appendix, muscular wall

Bone marrow

Breast

Bronchus, mucosa – Distinct membranous StAR staining of luminal membranes of respiratory epithelial cells

       

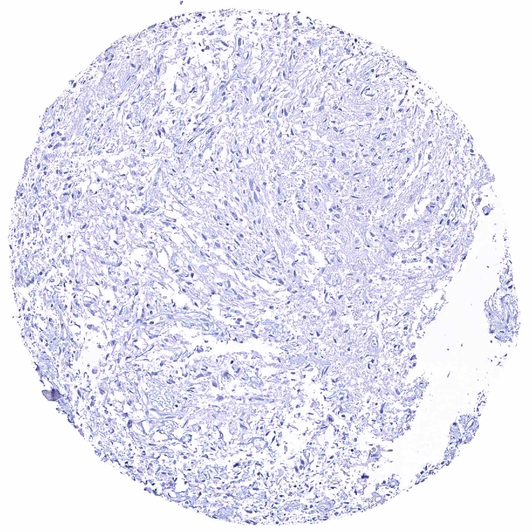
Cerebellum (white matter)

Cerebellum, cortex (molecular layer, Purkinje cell layer, granule cell layer)

Cerebrum, grey matter

Cerebrum, white matter

       

Colon descendens, mucosa

Colon descendens, muscular wall

Duodenum, Brunner Gland

Duodenum, mucosa

       

Epididymis (Caput) – Absence of StAR staining of luminal membranes in the caput epididymis

Epididymis (Cauda) – Distinct membranous StAR staining of luminal membranes of epithelial cells

Esophagus, squamous epithelium

Fallopian tube, mucosa – Distinct membranous StAR staining of luminal membranes of a subset of epithelial cells

       

Fat

Gallbladder, epithelium

Heart muscle

Ileum, mucosa

       

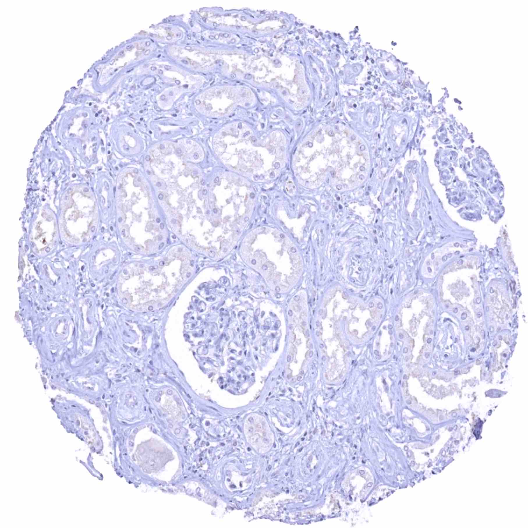
Kidney, cortex

Kidney, medulla

Liver

Lung

       

Lymph node

Ovary, corpus luteum – Strong cytoplasmic StAR staining of corpus luteum cells

Ovary, follicular cyst – Strong cytoplasmic StAR staining of theca interna cells of a follicular cyst

Ovary, stroma – Few stroma cells with a distinct cytoplasmic StAR staining in this sample

       

Pancreas

Parathyroid gland

Parotid gland

Pituitary gland, anterior lobe

       

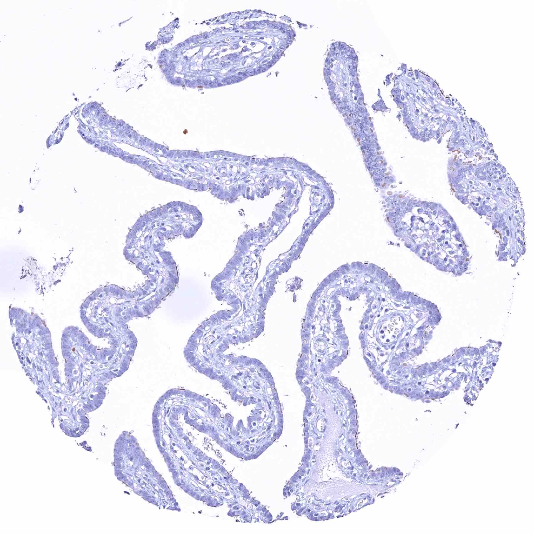
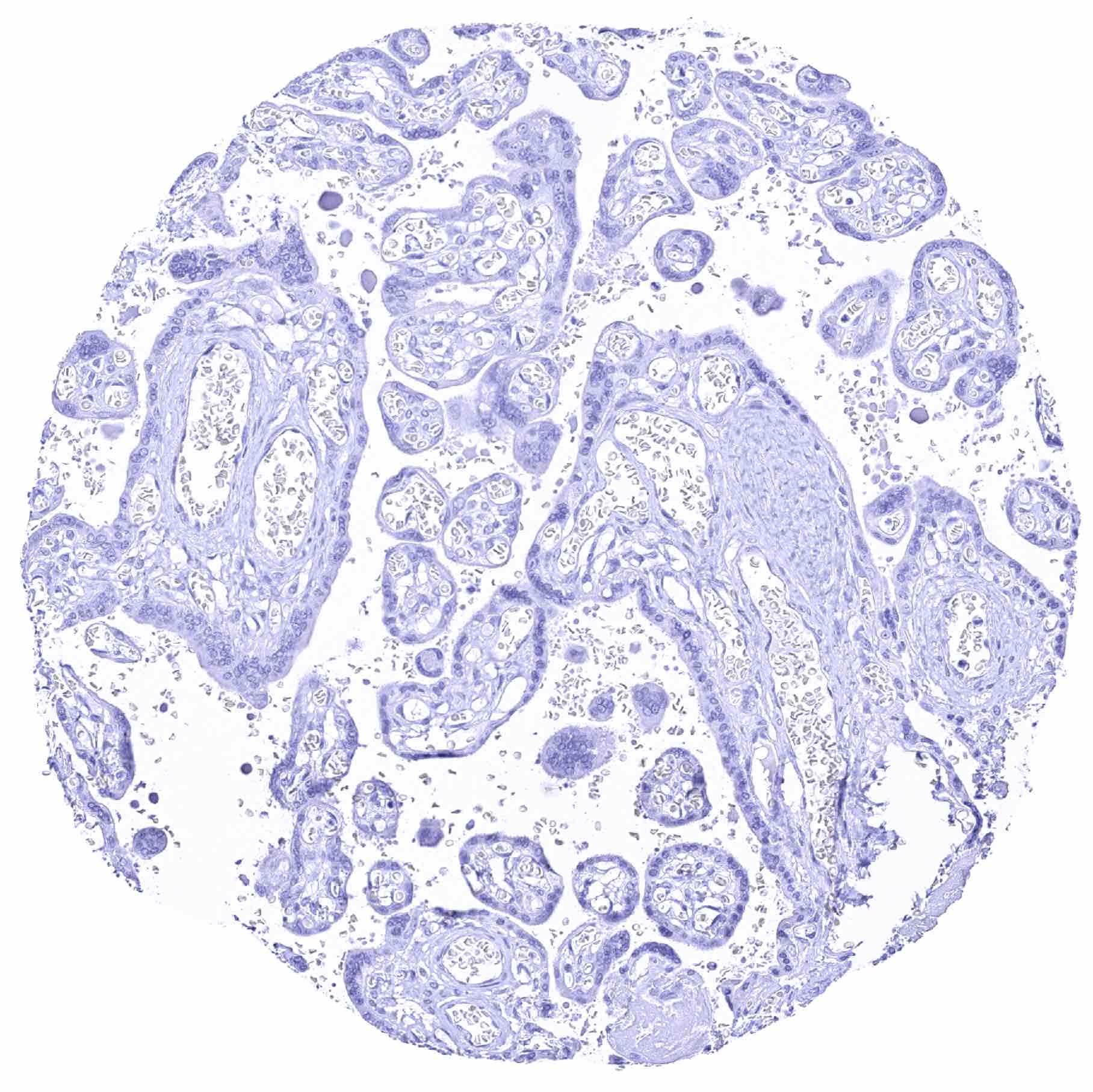
Placenta (amnion and chorion)

Placenta, early

Placenta, mature

Prostate

       

Rectum, mucosa

Seminal vesicle

Sinus paranasales – Absence of StAR staining of respiratory epithelial cells

Skeletal muscle

       

Skin, hairfollicel and sebaceous glands

Skin

Spleen

Stomach, antrum

       

Stomach, corpus

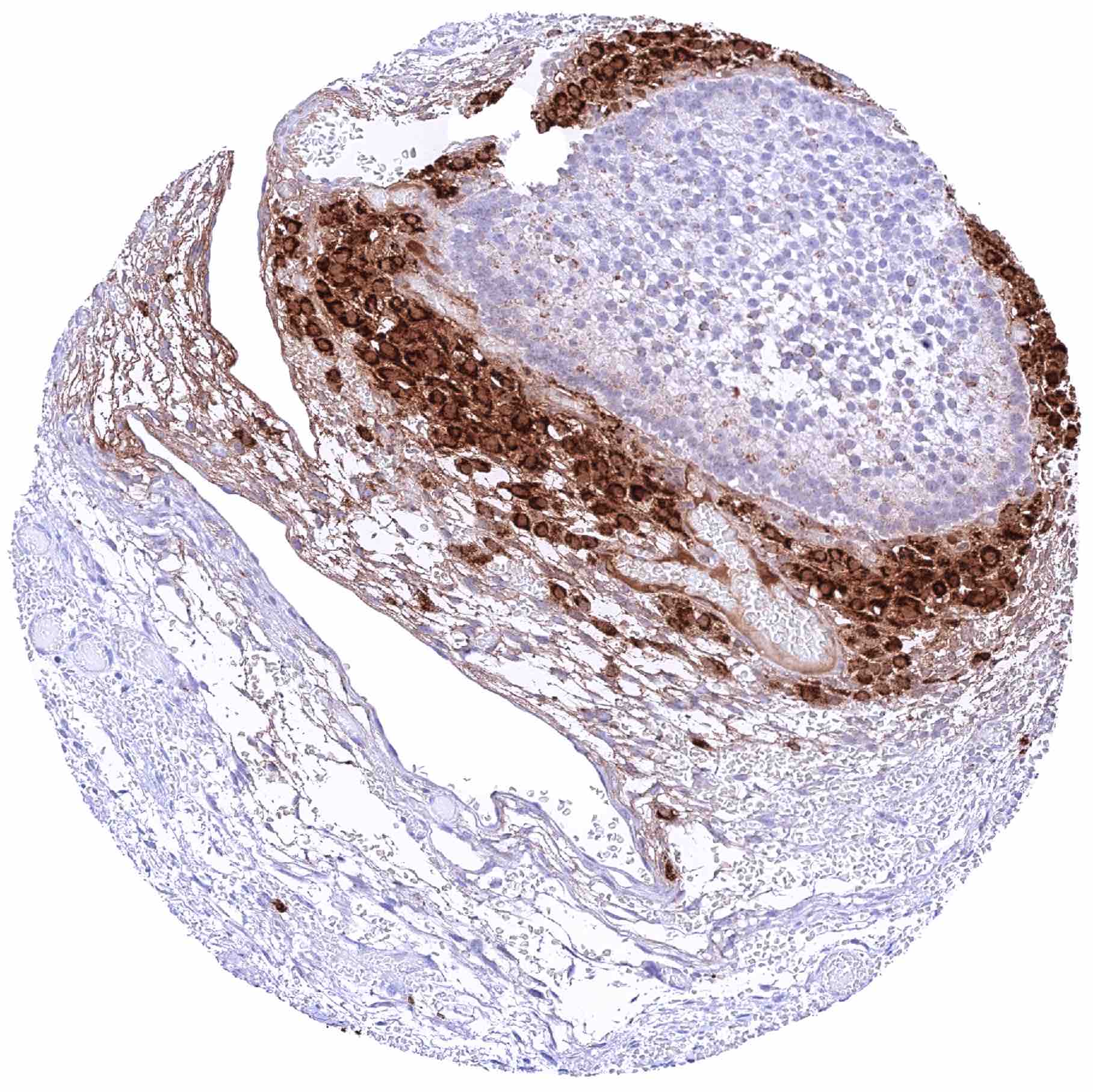
Testis – Intense cytoplasmic StAR immunostaining of Leydig cells

Testis – Strong cytoplasmic StAR immunostaining of Leydig cells

Thymus

       

Thyroid gland

Tonsil, surface epithelium

Tonsil

Urinary bladder, muscular wall

       

Urinary bladder, urothelium

Uterus, ectocervix

Uterus, endocervix

Uterus, endometrium (pregnancy)

       

Uterus, endometrium (proliferation)

Uterus, endometrium (secretion)

Uterus, myometrium

     

 

| TOP |