Normal Tissue Gallery- GTX04966

TLE1 antibody [MSVA-856R] HistoMAX™

 

Go to Cancer Tissue Gallery
  
 Go back to product page
  

Go to HistoMAX page

 

Adrenal gland – Weak TLE1 staining of a fraction of adrenocortical cells

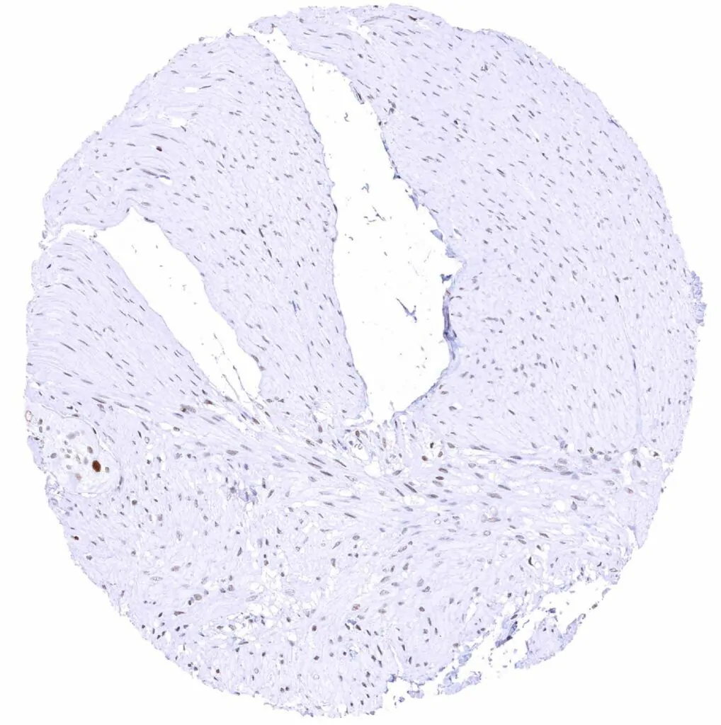
Aorta, media – Moderate TLE1 positivity of a subset of spindle cells in the media

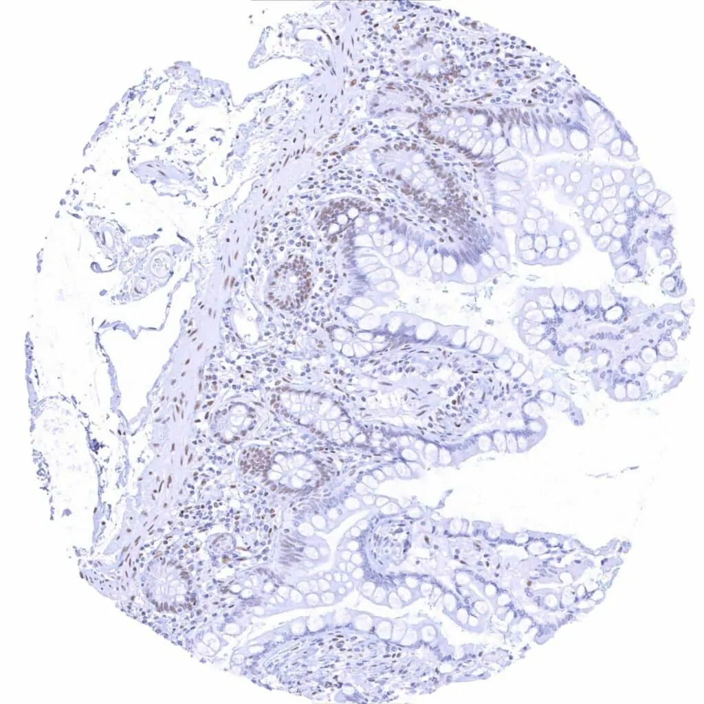
Appendix, mucosa – Weak to moderate TLE1 staining in epithelial cells. In this sample, staining is most intense at the surface and weaker in the crypts

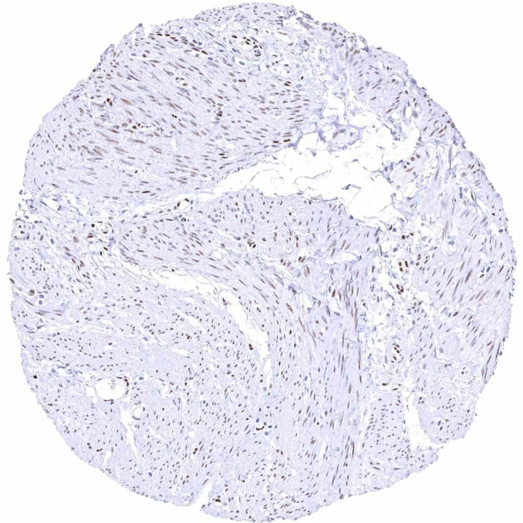
Appendix, muscular wall – Weak to moderate TLE1 positivity of smooth muscle cells, strong positivity of at least a fraction of neuronal cells

       

Bone marrow – Weak to strong TLE1 positivity of a significant fraction of cells-1

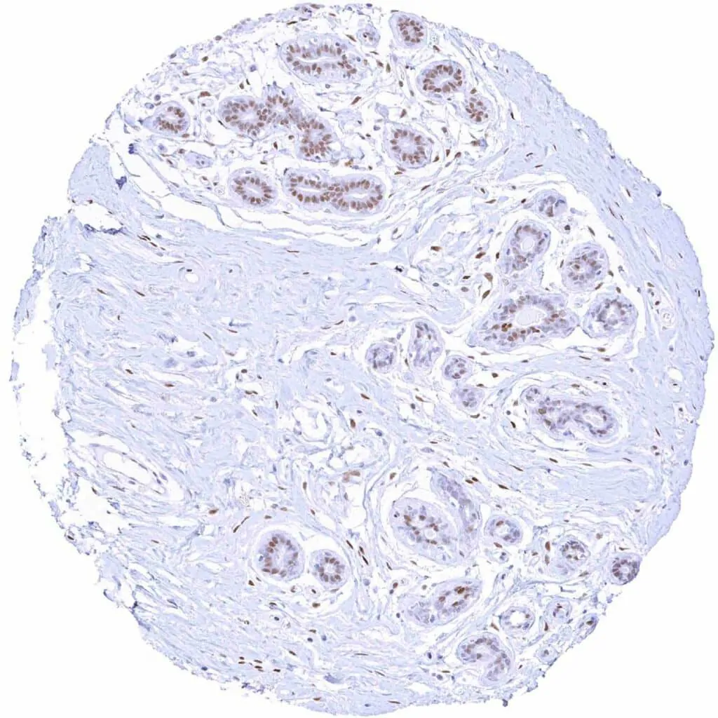
Breast – Moderate TLE1 staining of luminal epithelial cells. Staining of basal-myoepithelial cells is much less intense or absent

Bronchus, mucosa – Weak to moderate TLE1 staining of a small subset of (non-basal) epithelial cells

Cerebrum, grey matter – Weak to moderate TLE1 staining of subsets of glial and neuronal cells

       

Cerebrum, white matter – Weak to moderate TLE1 staining of subsets of glial cells

Colon descendens, mucosa – Weak to moderate TLE1 staining in epithelial cells. Staining is stronger in crypts than at the surface

Colon descendens, muscular wall

Duodenum, Brunner gland – Weak to moderate staining of Brunner glands

       

Duodenum, mucosa – Some staining can occur in epithelial cells. Staining is stronger in crypts than in villi

Epididymis – Moderate to strong TLE1 staining in non-basal epithelial cells

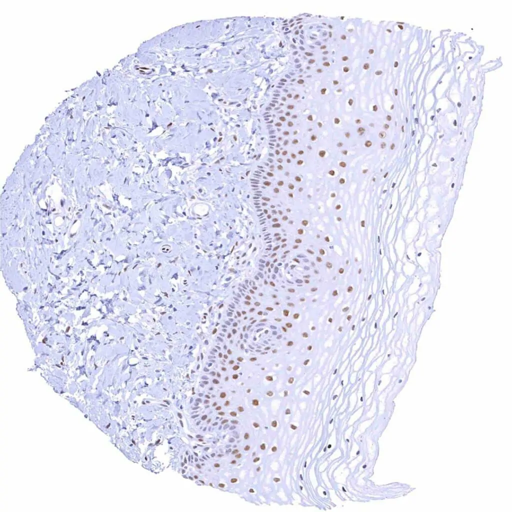
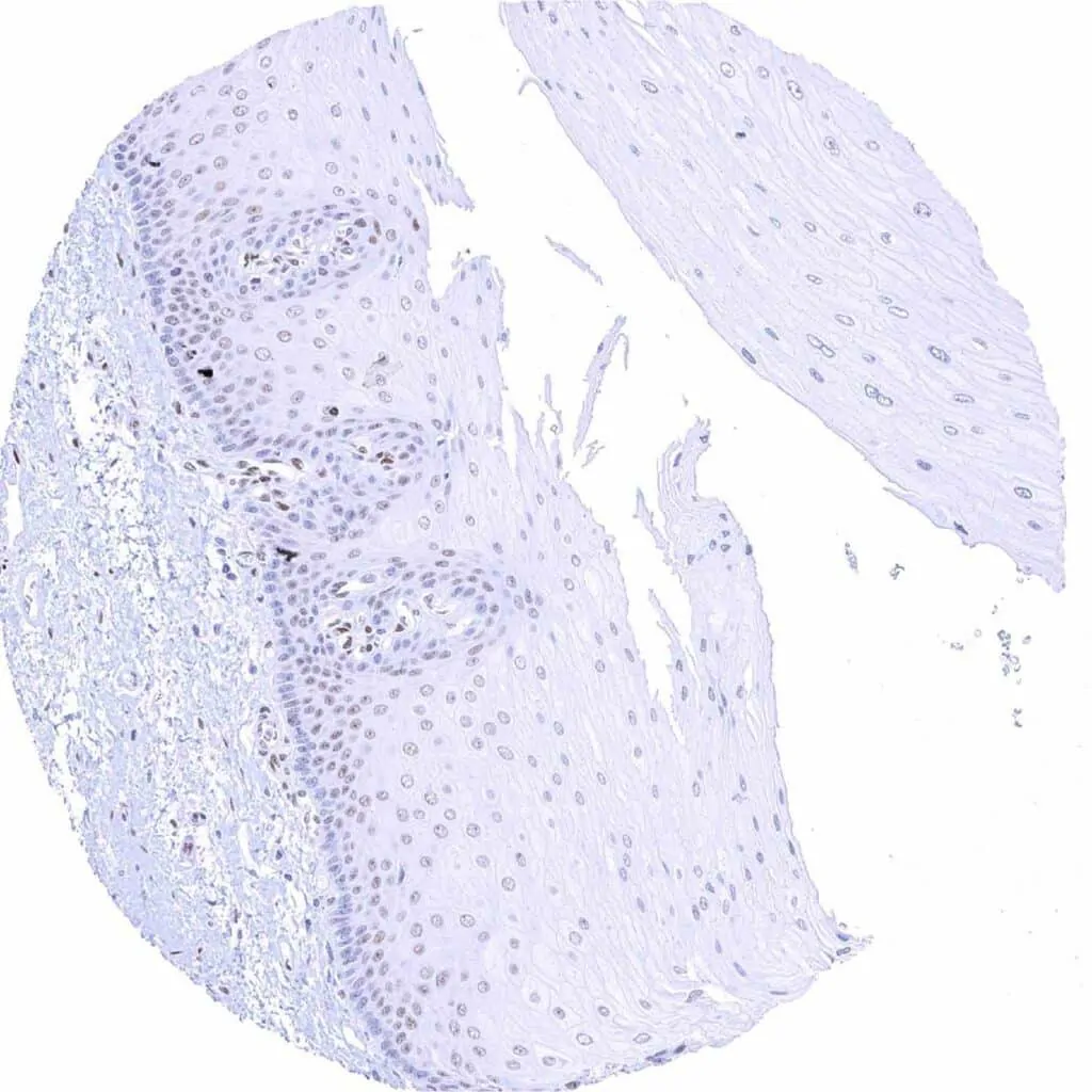
Esophagus, squamous epithelium – Weak TLE1 staining of a subset of lymphocytes and of the squamous epithelium, predominantly of the suprabasal cell layers

Fallopian tube, mucosa – Moderate TLE1 staining of stromal cells and of a fraction of epithelial cells

       

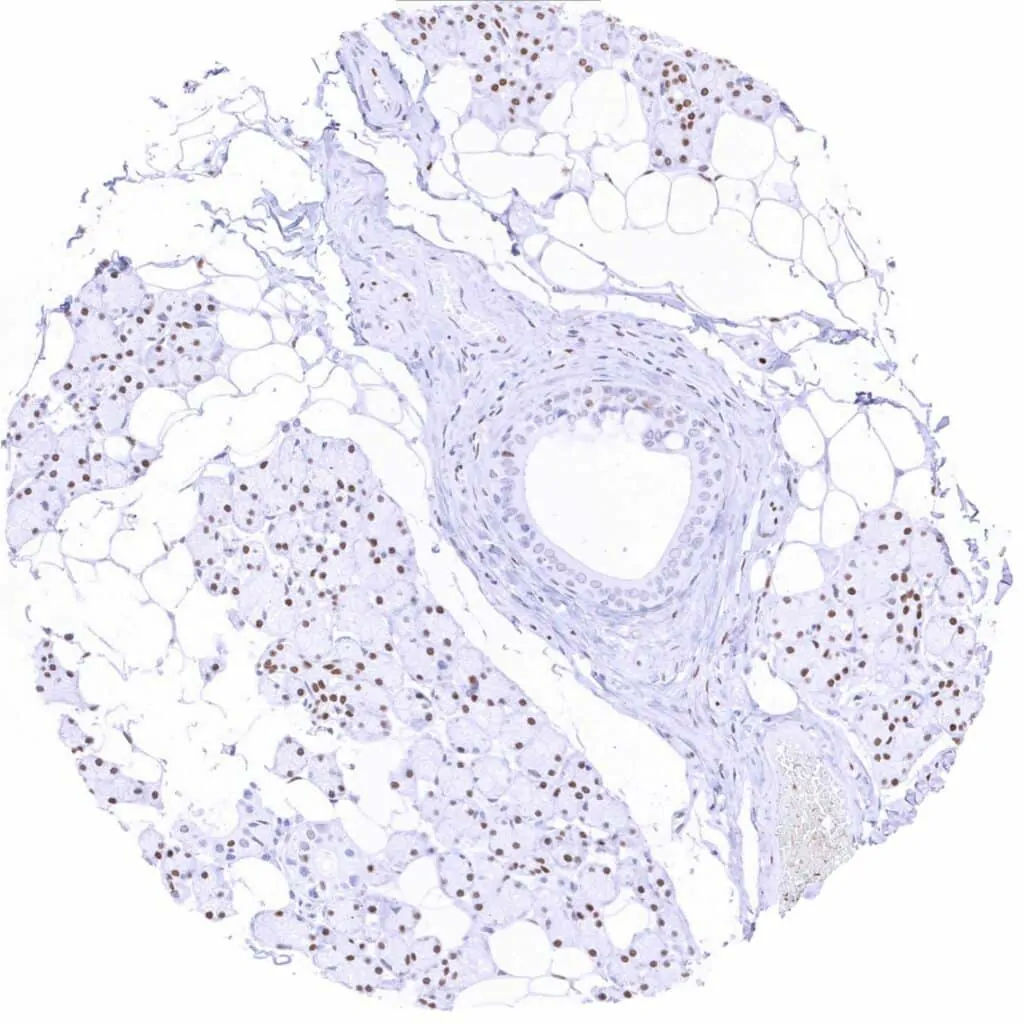
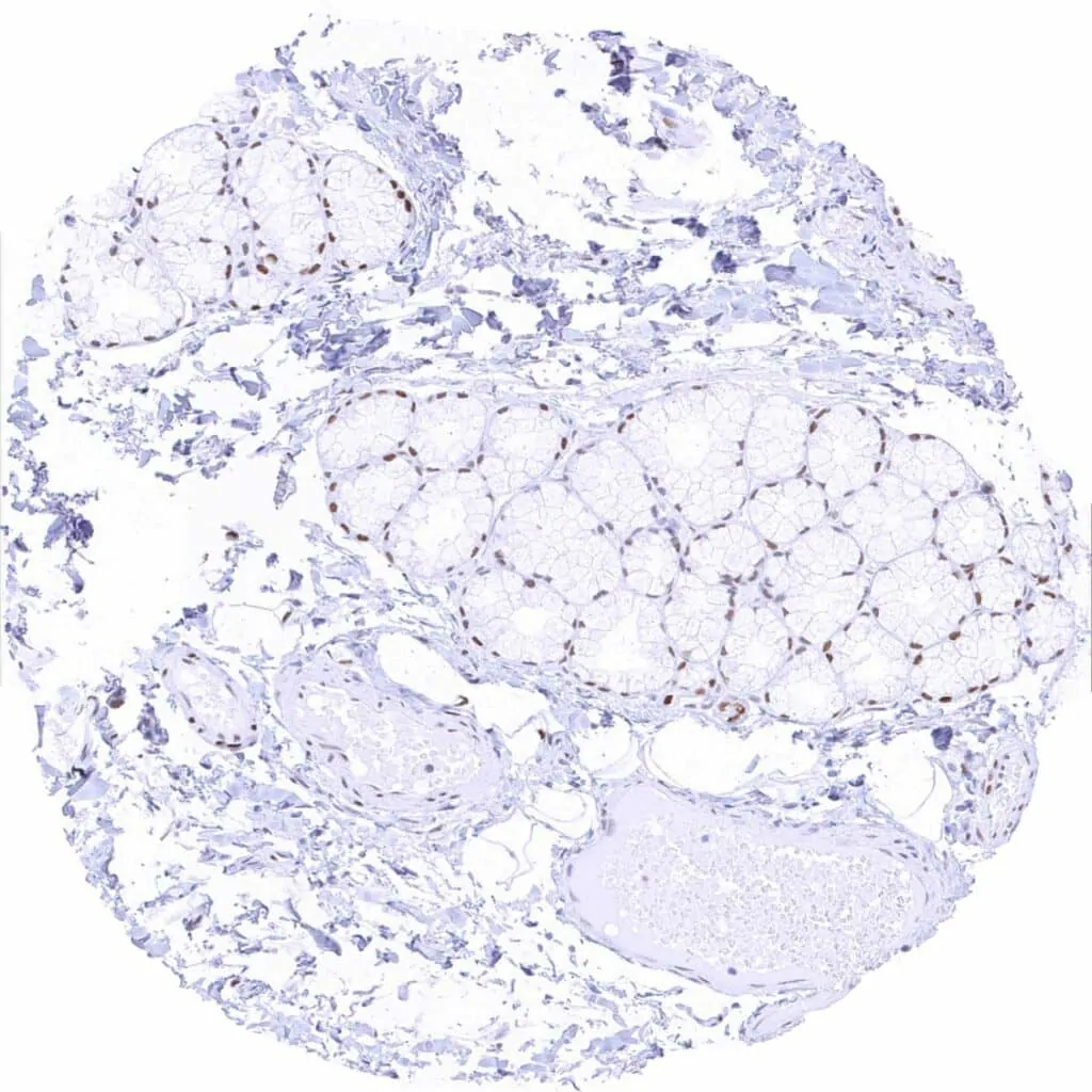
Fat

Gallbladder, epithelium – Moderate TLE1 staining of epithelial cells

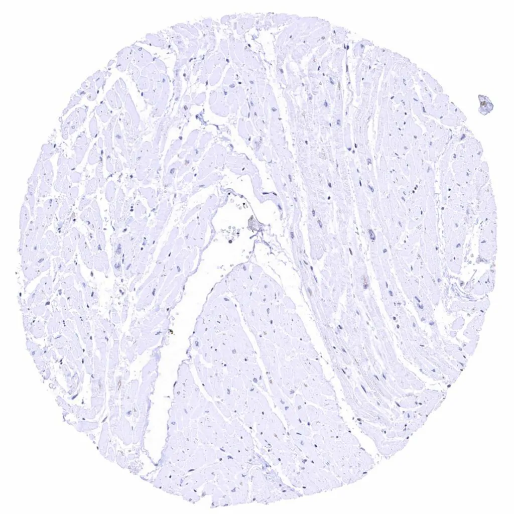
Heart muscle

Ileum, mucosa – Some staining can occur in epithelial cells. Staining is stronger in crypts than in villi

       

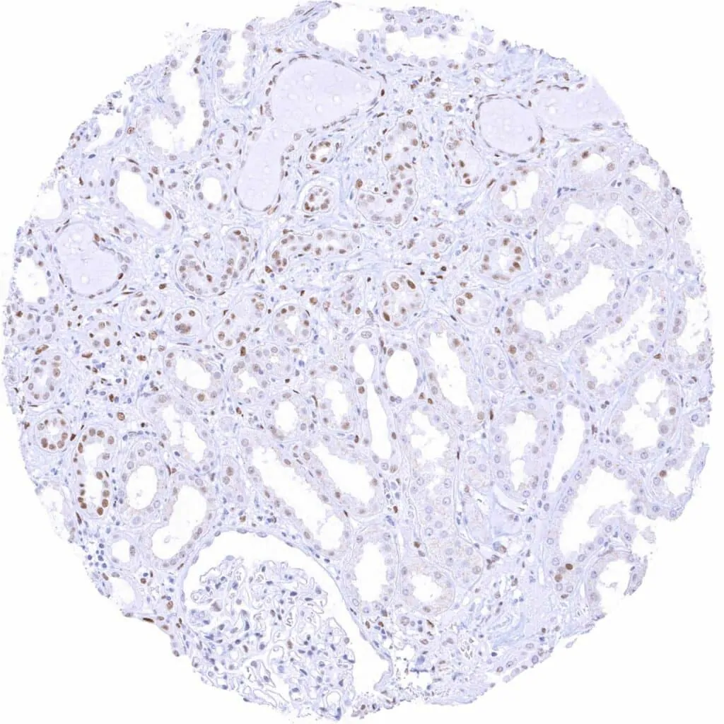
Kidney, cortex – Significant TLE1 staining can occur in altered tubuli such as in atrophy

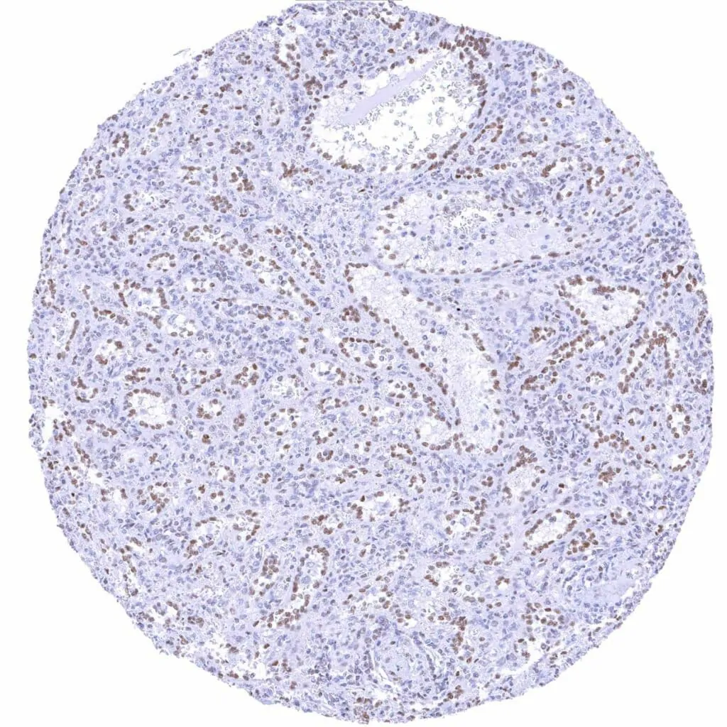
Kidney, cortex – Weak to moderate staining of few glomerular cells and of cells of parietal layer of the Bowman capsule. Staining is often faint or absent in tubular cells

Kidney, medulla – TLE1 staining is often faint or absent in tubular and collecting duct cells

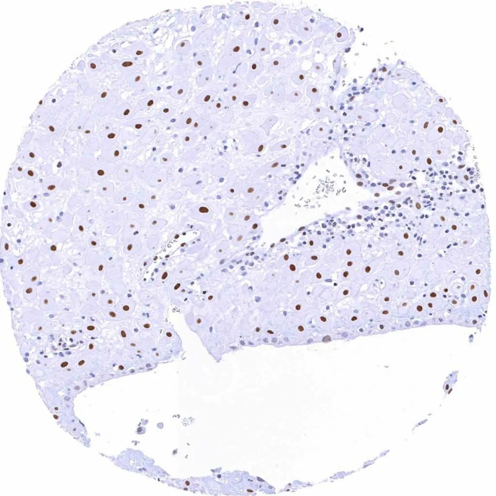
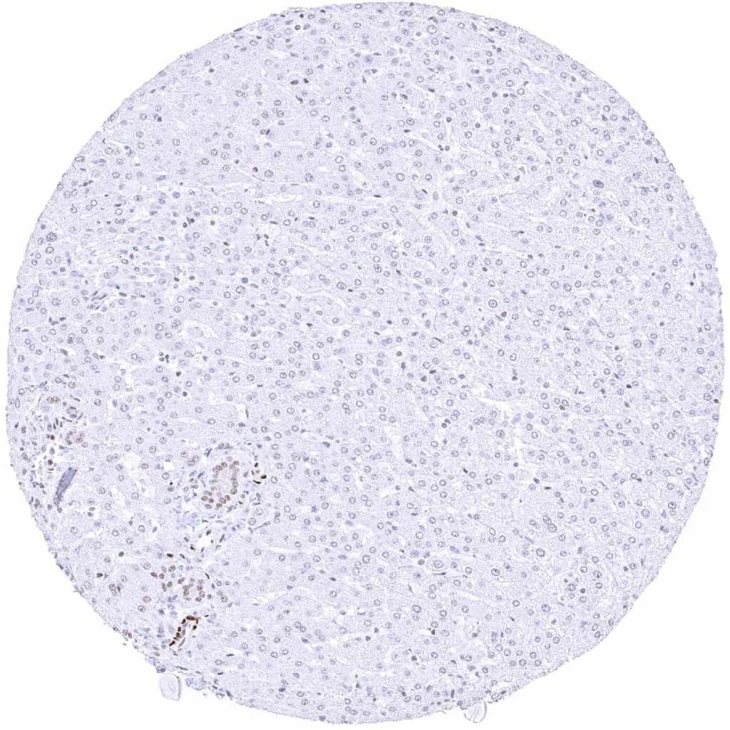
Liver – Weak to moderate TLE1 staining of bile duct cells. Faint staining of hepatocytes

       

Lung – Weak to moderate TLE1 staining of mostly vascular cells

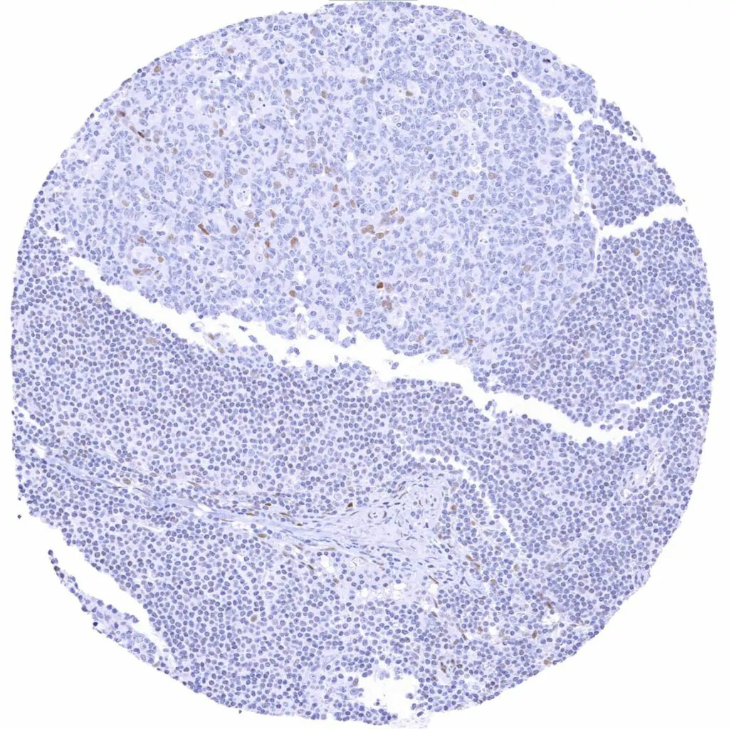
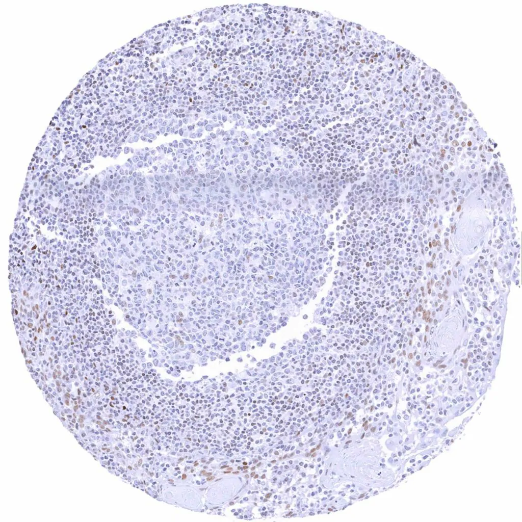
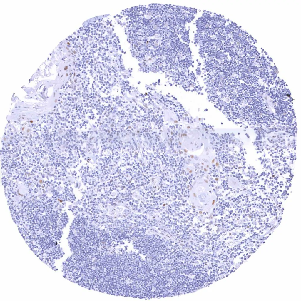
Lymph node – Weak to moderate TLE1 staining in a subset of lymphocytes, predominantly in germinal centres

Ovary, corpus luteum – TLE1 staining of corpus luteum cells is only faint

Ovary, follicular cyst – Strong TLE1 staining of theca interna cells while staining for granulosa cells is only faint

       

Ovary, stroma – Ovarian stroma is largely TLE1 negative (except endothelial cells)

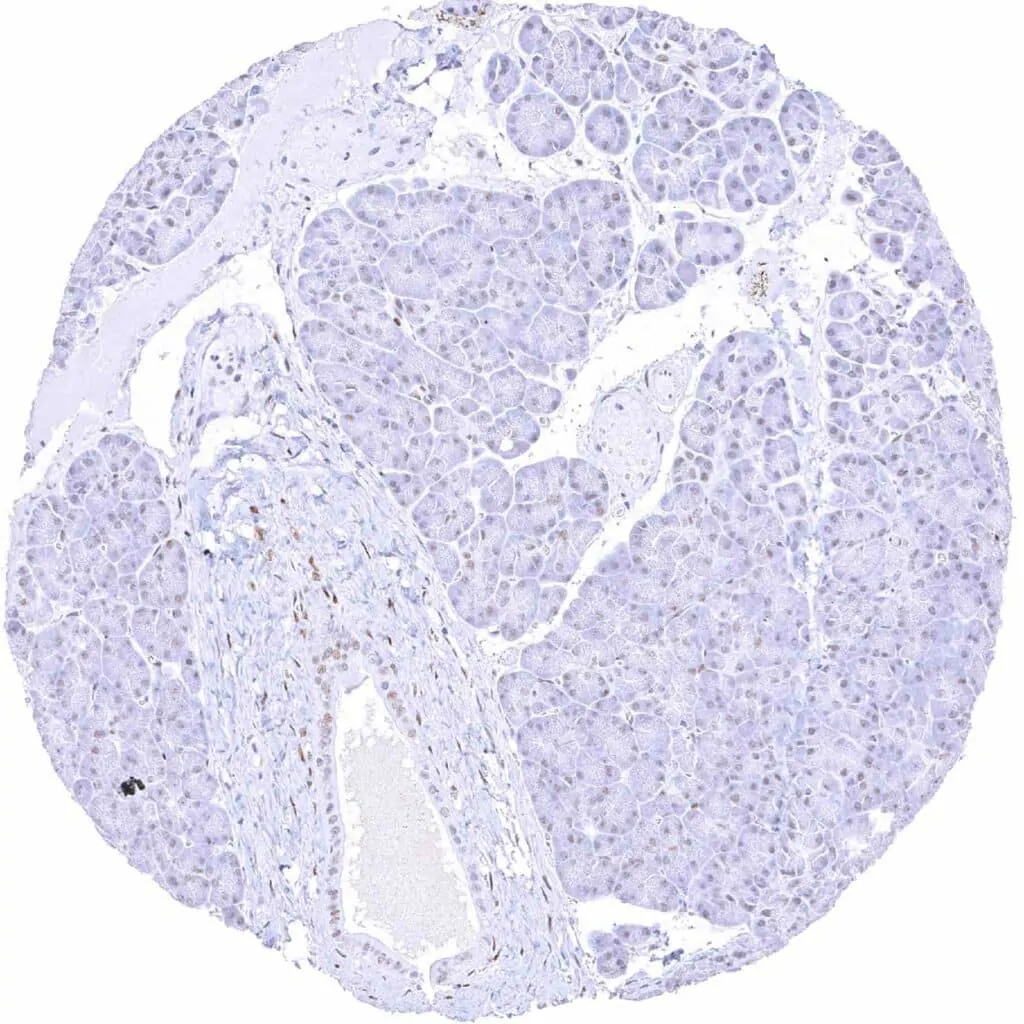
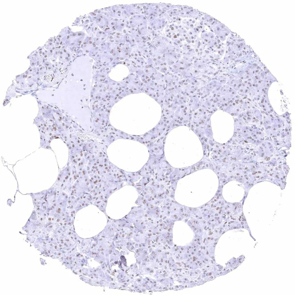
Pancreas – Weak to moderate TLE1 staining of acinar and ductal cells

Pancreas – Weak to moderate TLE1 staining of acinar cells and of most islet cells

Parathyroid gland – TLE1 staining is largely limited to endothelial cells

       

Parotid gland – Moderate to strong TLE1 staining of serous glandular cells. Staining is weaker in mucinous cells and largely absent in excretory ducts

Pituitary gland, anterior lobe – Weak to moderate TLE1 staining of a fraction of epithelial cells

Pituitary gland, posterior lobe

Placenta (amnion and chorion) – Intense TLE1 positivity of amnion cells

       

Placenta (amnion and chorion) – Strong TLE1 staining of amnion and chorion cells

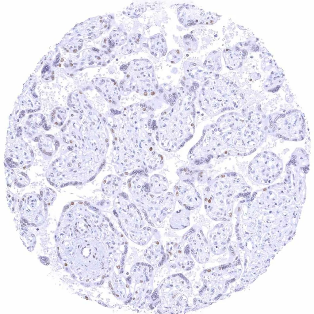
Placenta, early – Moderate to strong TLE1 staining of trophoblast and some stroma cells

Placenta, mature – TLE1 staining is weak to moderate in some stroma cells and in trophoblast cells

Prostate – Weak to moderate TLE1 staining in acinar cells. Staining is weak or absent in basal cells

       

Rectum, mucosa – Weak to moderate TLE1 staining in epithelial cells. Staining is stronger in crypts than at the surface

Seminal vesicle – TLE1 staining of variable intensity in a subset of epithelial cells

Sinus paranasales – Weak to moderate TLE1 staining of a large subset of (non-basal) epithelial cells

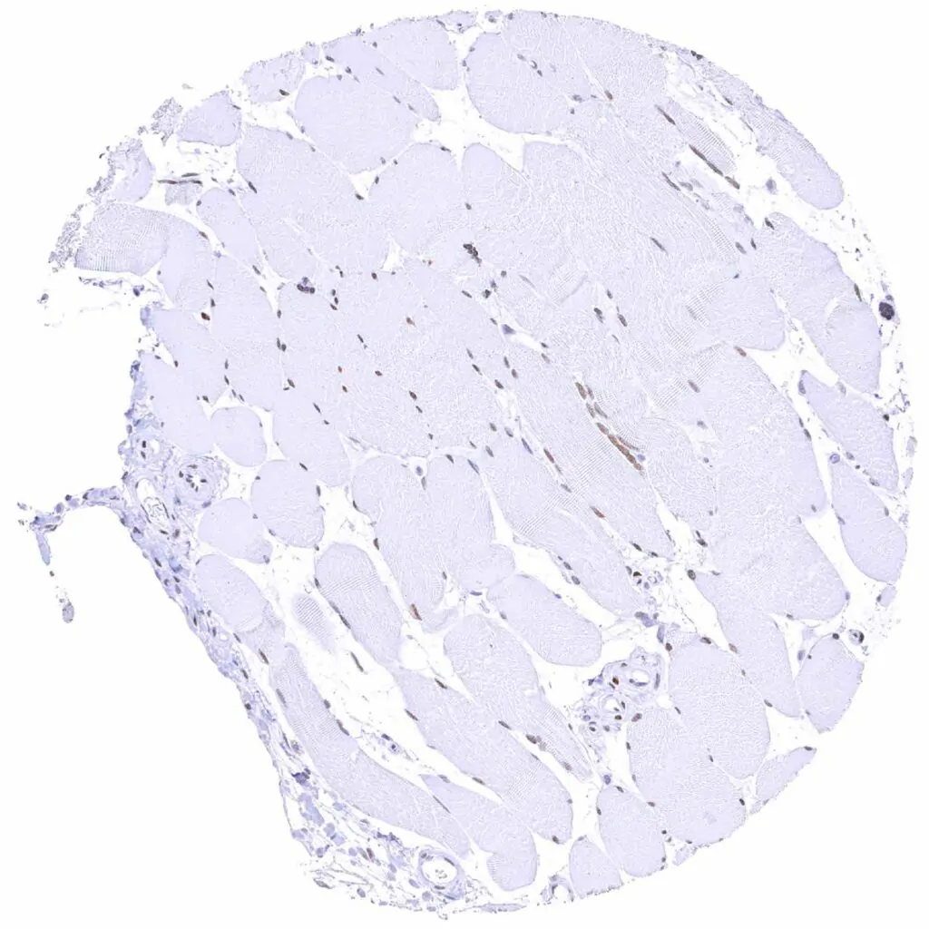
Skeletal muscle – Moderate to strong TLE1 positivity of skeletal muscle cells

       

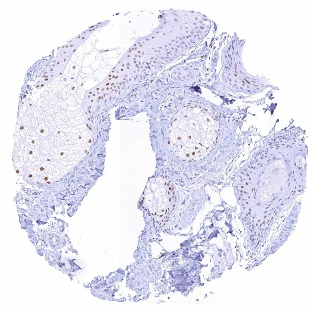
Skin, hair follicel and sebaceous glands – Moderate to strong TLE1 positivity of sebaceous and of squamous cells

Spleen – Moderate to strong TLE1 staining of sinus endothelial cells. Weak to moderate TLE1 staining in a subset of lymphocytes

Stomach, antrum – Weak to moderate TLE1 staining in epithelial cells. Staining is somewhat stronger in the surface epithelium than in glands

Stomach, corpus – Weak to moderate TLE1 staining in epithelial cells. Staining is somewhat stronger in the surface epithelium than in glands

       

Testis – Moderate to strong TLE1 staining of spermatogonia

Thymus – Weak to moderate TLE1 staining of a subset of cells of corpuscles of Hassall’s and of few other cells

Thyroid gland – Weak TLE1 staining of follicular and endothelial cells

Tonsil – Weak to moderate TLE1 staining in a subset of lymphocytes, predominantly in germinal centres. Moderate TLE1 staining of a major subset of crypt epithelial cells

       

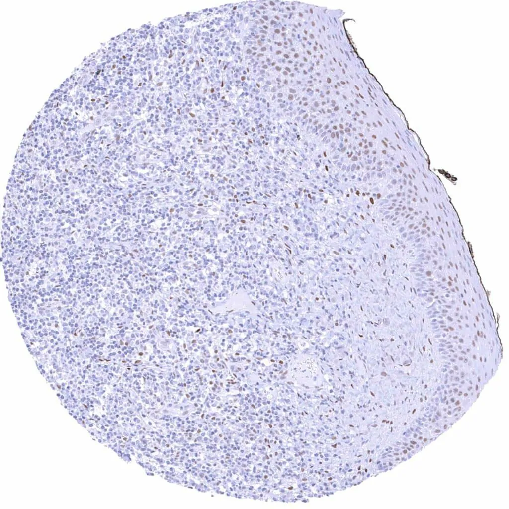
Tonsil, surface epithelium – Weak to moderate TLE1 staining of a subset of lymphocytes and of the squamous epithelium, predominantly of the suprabasal cell layers

Tonsil, surface epithelium

Urinary bladder, muscular wall

Urinary bladder, urothelium – Weak TLE1 staining of urothelial cells (somewhat more in upper cell layers)

       

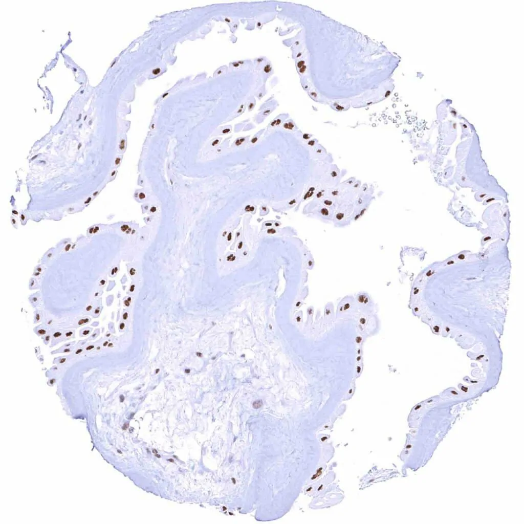
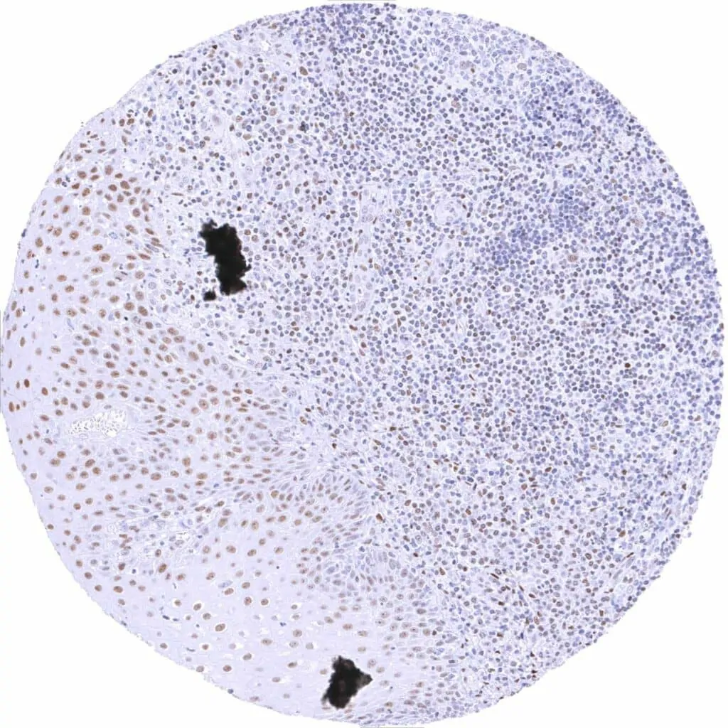
Uterus, ectocervix – Moderate TLE1 staining of squamous epithelial cells, predominantly of the suprabasal cell layers

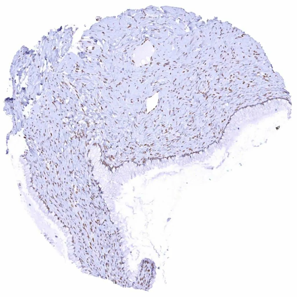
Uterus, endocervix – Weak to moderate TLE1 staining of epithelial, stromal, and endothelial cells

Uterus, endometrium (pregnancy) – Strong TLE1 staining of decidua cells

Uterus, endometrium (proliferation) – Moderate to strong TLE1 staining of epithelial and stromal cells

       

Uterus, endometrium (secretion) – Moderate to strong TLE1 staining of most epithelial cells

Uterus, myometrium – Weak to moderate TLE1 positivity of smooth muscle cells

   

 

| TOP |