Normal Tissue Gallery- GTX639937

TRIM72 antibody [HMV313] HistoMAXTM

 

Go to Cancer Tissue Gallery
  
 Go back to product page
  

Go to HistoMAX page

 

Adrenal gland

Appendix, mucosa

Appendix, muscular wall – Weak TRIM72 staining of muscle cells of the walls of small arteries and arterioles

Appendix, muscular wall – Weak TRIM72 staining of muscle cells of the walls of small arteries and arterioles

       

Bone marrow

Breast

Bronchus, mucosa

Cerebellum (white matter)

       

Cerebellum, cortex (molecular layer, purkinje cell layer, granule cell layer)

Cerebrum, grey matter

Cerebrum, white matter

Colon descendens, mucosa

       

Colon descendens, muscular wall

Duodenum, Brunner gland

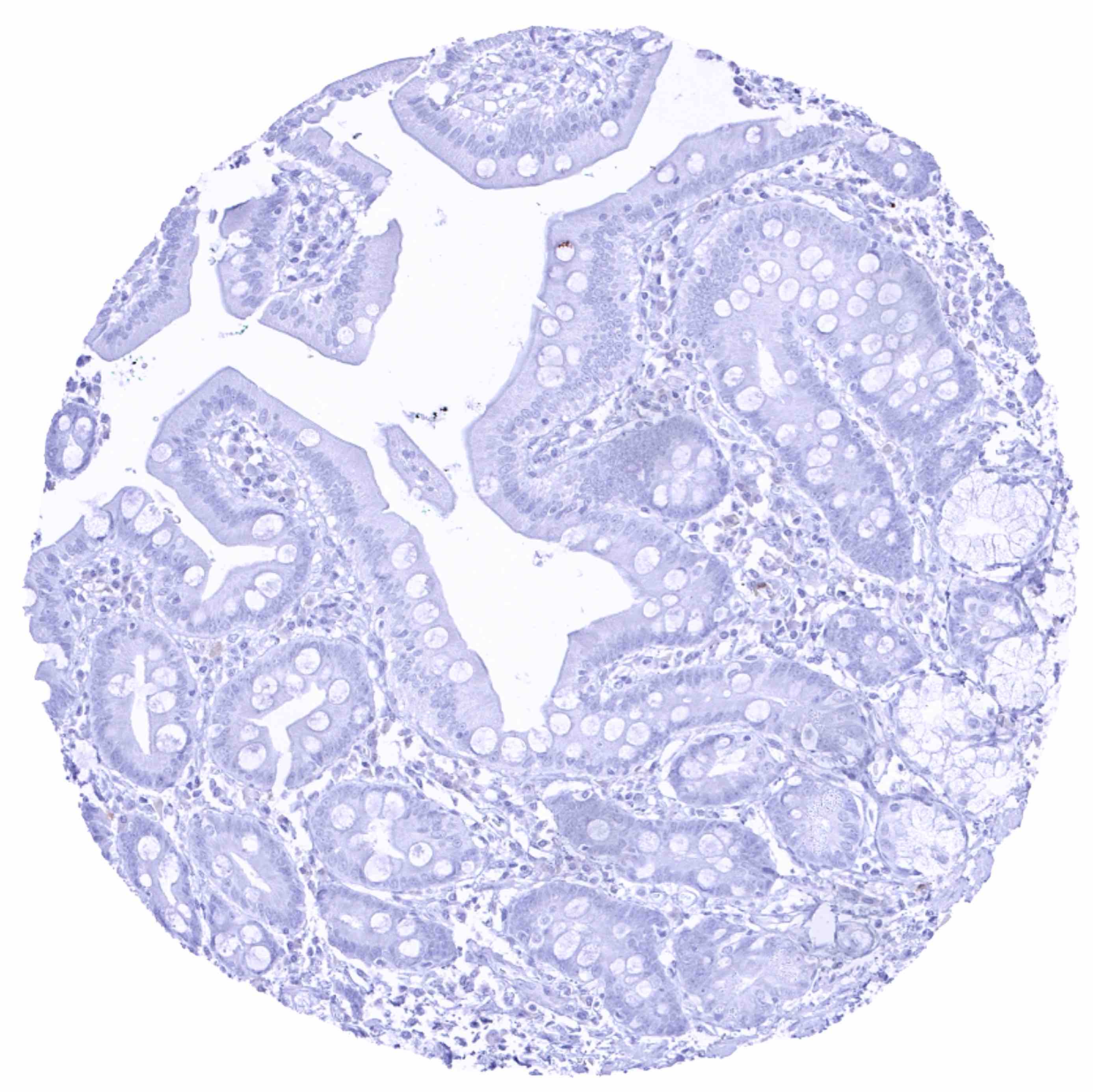
Duodenum, Mucosa

Epididymis (Caput)

       

Epididymis (Cauda)

Esophagus, muscular wall – Weak TRIM72 staining of muscle cells of the walls of small arteries

Esophagus, squamous epithelium

Fallopian tube, mucosa

       

Fat

Gallbladder, epithelium

Heart muscle – Weak TRIM72 staining of muscle cells of the walls of small arteries

Heart muscle – Weak TRIM72 staining of muscle cells of the walls of small arteries and arterioles

       

Heart muscle – Weak TRIM72 staining of muscle cells of the walls of small arteries and arterioles

Ileum, mucosa

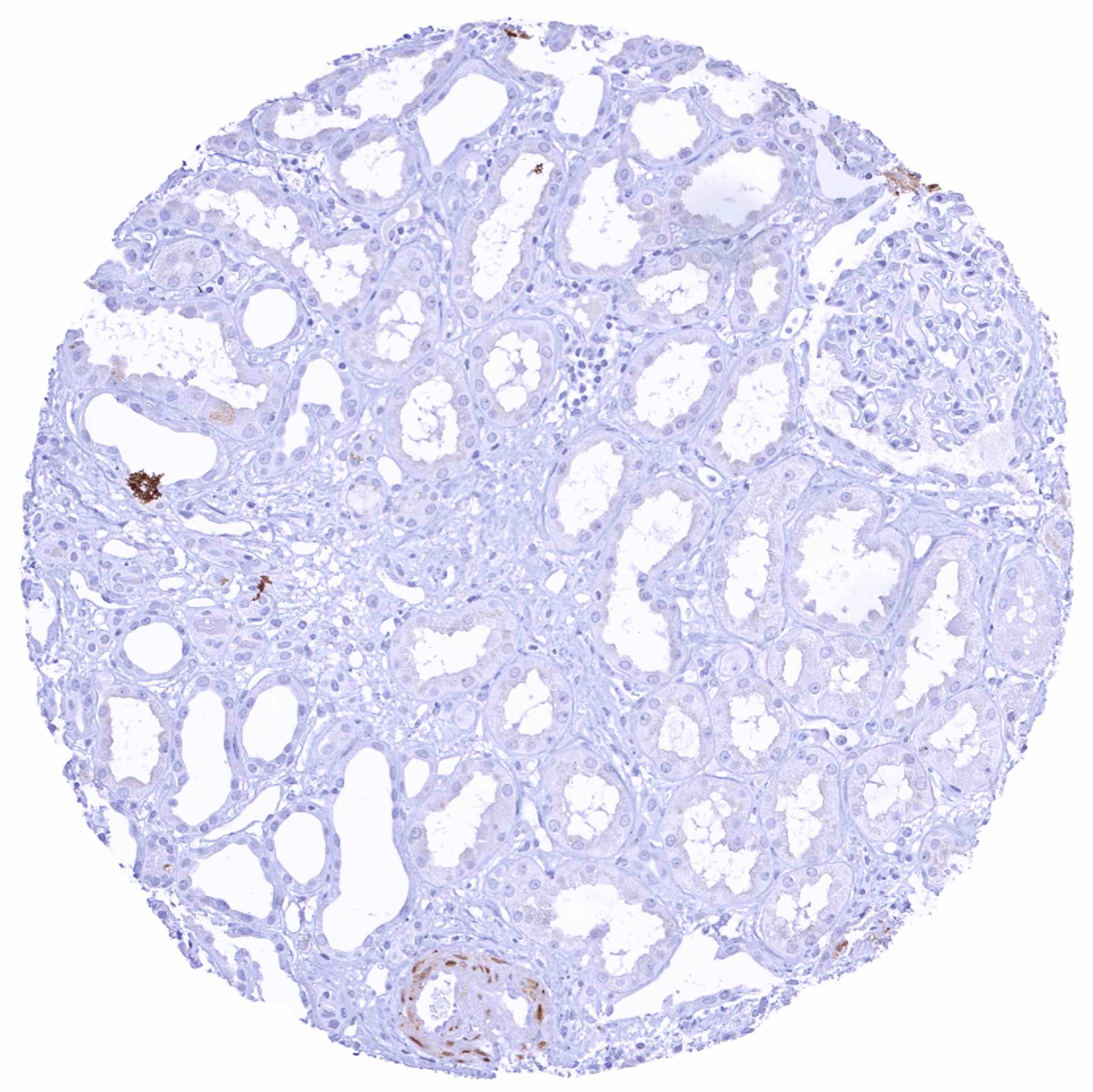
Kidney, cortex – Weak TRIM72 staining of muscle cells of a small artery

Kidney, cortex – Weak TRIM72 staining of some arterioles

       

Kidney, medulla

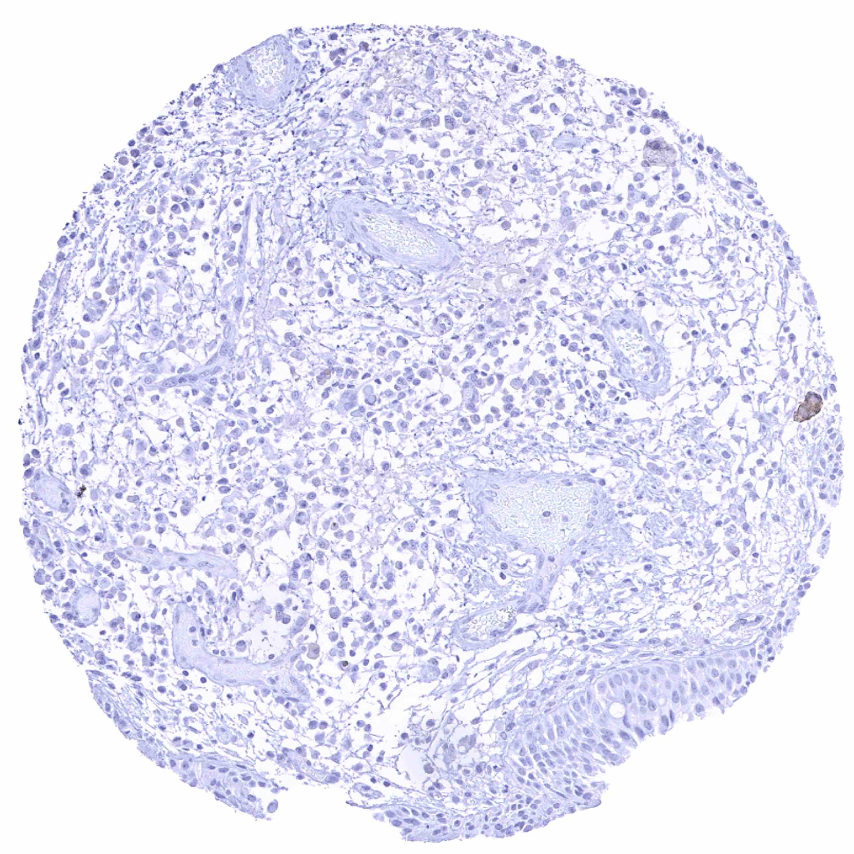
Liver

Lung

Ovary, corpus luteum

       

Ovary, stroma

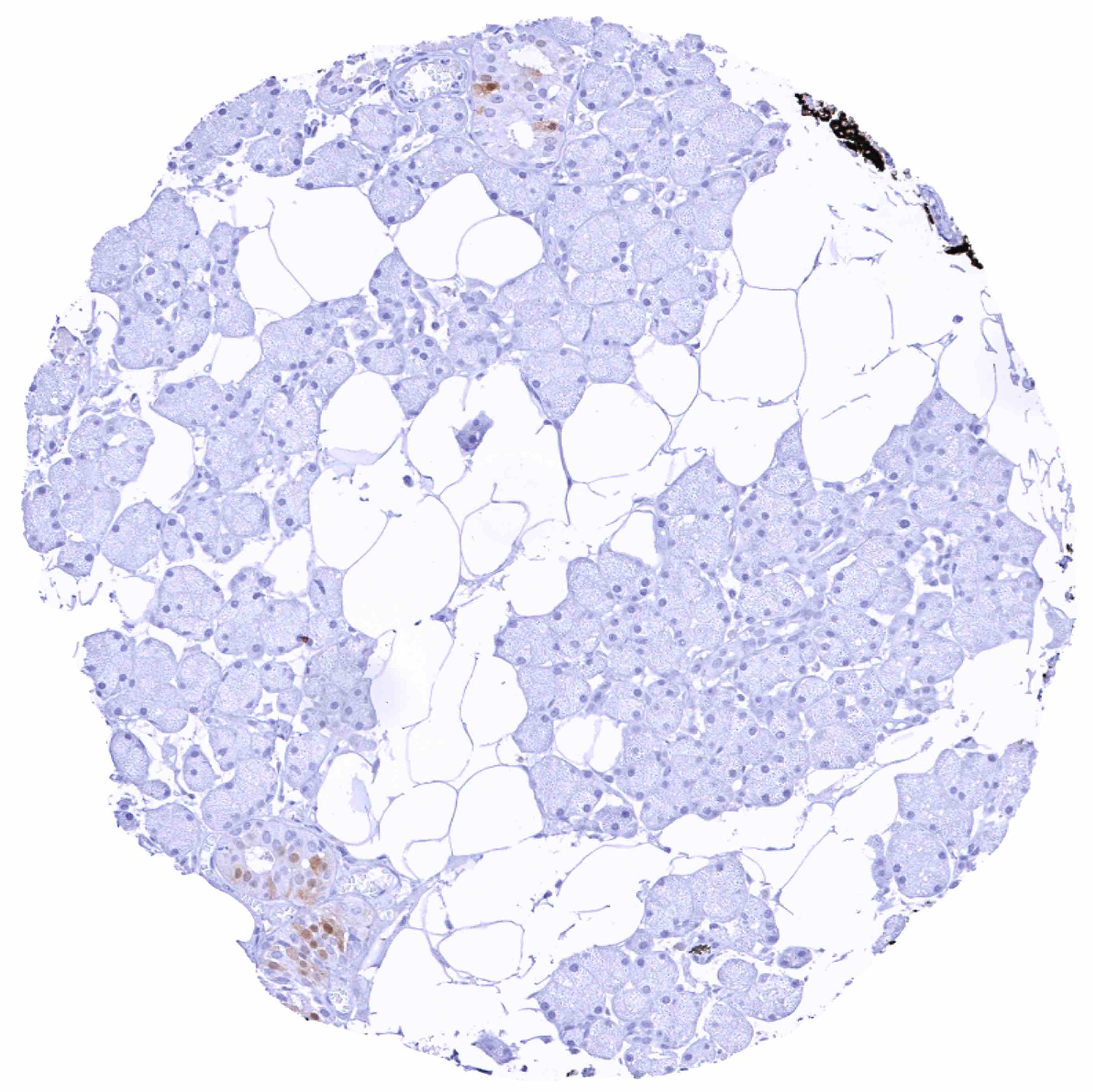
Pancreas

Parathyroid gland – Weak TRIM72 staining of muscle cells of the walls of small blood vessels

Parathyroid gland

       

Parotid gland – Weak TRIM72 staining of a subset of epithelial cells of excretory ducts

Pituitary gland, posterior lobe

Placenta (amnion and chorion)

Placenta, early

       

Placenta, mature

Prostate

Rectum, mucosa

Seminal vesicle

       

Sinus paranasales

Skeletal muscle – Strong membranous and cytoplasmic TRIM72 staining of skeletal muscle cells.

Skeletal muscle – Strong membranous and cytoplasmic TRIM72 staining of skeletal muscle cells

Skeletal muscle, tongue – Strong membranous and cytoplasmic TRIM72 staining of skeletal muscle cells.

       

Skeletal muscle, tongue – Strong membranous and cytoplasmic TRIM72 staining of skeletal muscle cells

Skin

Skin, hairfollicel and sebaceous glands

Spleen

       

Stomach, antrum

Stomach, corpus

Stomach, muscular wall – Weak TRIM72 staining of muscle cells of the walls of small arteries and arterioles

Testis

       

Thymus – Distinct TRIM72 staining of a small subset of epithelial cells some of which are associated with corpuscles of Hassall's

Thyroid gland

Thyroid gland

Tonsil, surface epithelium

       

Tonsil

Urinary bladder, muscular wall

Urinary bladder, urothelium

Uterus, ectocervix

       

Uterus, endocervix

Uterus, endometrium (pregnancy)

Uterus, endometrium (proliferation)

Uterus, endometrium (secretion)

       

Uterus, myometrium

     
       

 

| TOP |