LI-Cadherin antibody [MSVA-517M] HistoMAX™

Cat. No. GTX04447
Cat. No.  GTX04447
Anti-LI-Cadherin antibody [MSVA-517M] HistoMAX™ used in IHC (Paraffin sections) (IHC-P). GTX04447
GTX04447 IHC-P Image

IHC-P analysis of human mucosa from rectum tissue using GTX04447 LI-Cadherin antibody [MSVA-517M] HistoMAX™.
A strong membranous LI-Cadherin staining occurs in all epithelial cells of the rectum mucosa LI-Cadherin immunohistochemistry.

1 / 3
Anti-LI-Cadherin antibody [MSVA-517M] HistoMAX™ used in IHC (Paraffin sections) (IHC-P). GTX04447
GTX04447 IHC-P Image

IHC-P analysis of human neuroendocrine Tumor (NET) from ileum tissue using GTX04447 LI-Cadherin antibody [MSVA-517M] HistoMAX™.
Ileum Neuroendocrine tumor with strong LI-Cadherin immunostaining of all tumor cells LI-Cadherin immunohistochemistry.

2 / 3
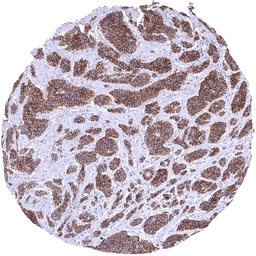
Anti-LI-Cadherin antibody [MSVA-517M] HistoMAX™ used in IHC (Paraffin sections) (IHC-P). GTX04447
GTX04447 IHC-P Image

IHC-P analysis of human colorectal adenocarcinoma (COAD) tissue using GTX04447 LI-Cadherin antibody [MSVA-517M] HistoMAX™.
Colon Colorectal adenocarcinoma with strong LI-Cadherin immunostaining of all tumor cells LI-Cadherin immunohistochemistry.

3 / 3
Anti-LI-Cadherin antibody [MSVA-517M] HistoMAX™ used in IHC (Paraffin sections) (IHC-P). GTX04447
Anti-LI-Cadherin antibody [MSVA-517M] HistoMAX™ used in IHC (Paraffin sections) (IHC-P). GTX04447
Anti-LI-Cadherin antibody [MSVA-517M] HistoMAX™ used in IHC (Paraffin sections) (IHC-P). GTX04447
  • Host
    Mouse
  • Clonality
    Monoclonal
  • Clone Name
    MSVA-517M
  • Isotype
    IgG2b
  • Applications
    IHC-P
  • Reactivity
    Human
Summary
This antibody was validated on 76 different Normal Tissues by IHC-P.

Go to Normal Tissue GalleryGo to Cancer Tissue Gallery

See all LI-Cadherin products