Normal Tissue Gallery- GTX04447

LI-Cadherin antibody [MSVA-517M] HistoMAX

 

Go to Cancer Tissue Gallery
  
 Go back to product page
  

Go to HistoMAX page

 

Adrenal gland

Anal canal, skin

Aorta, media

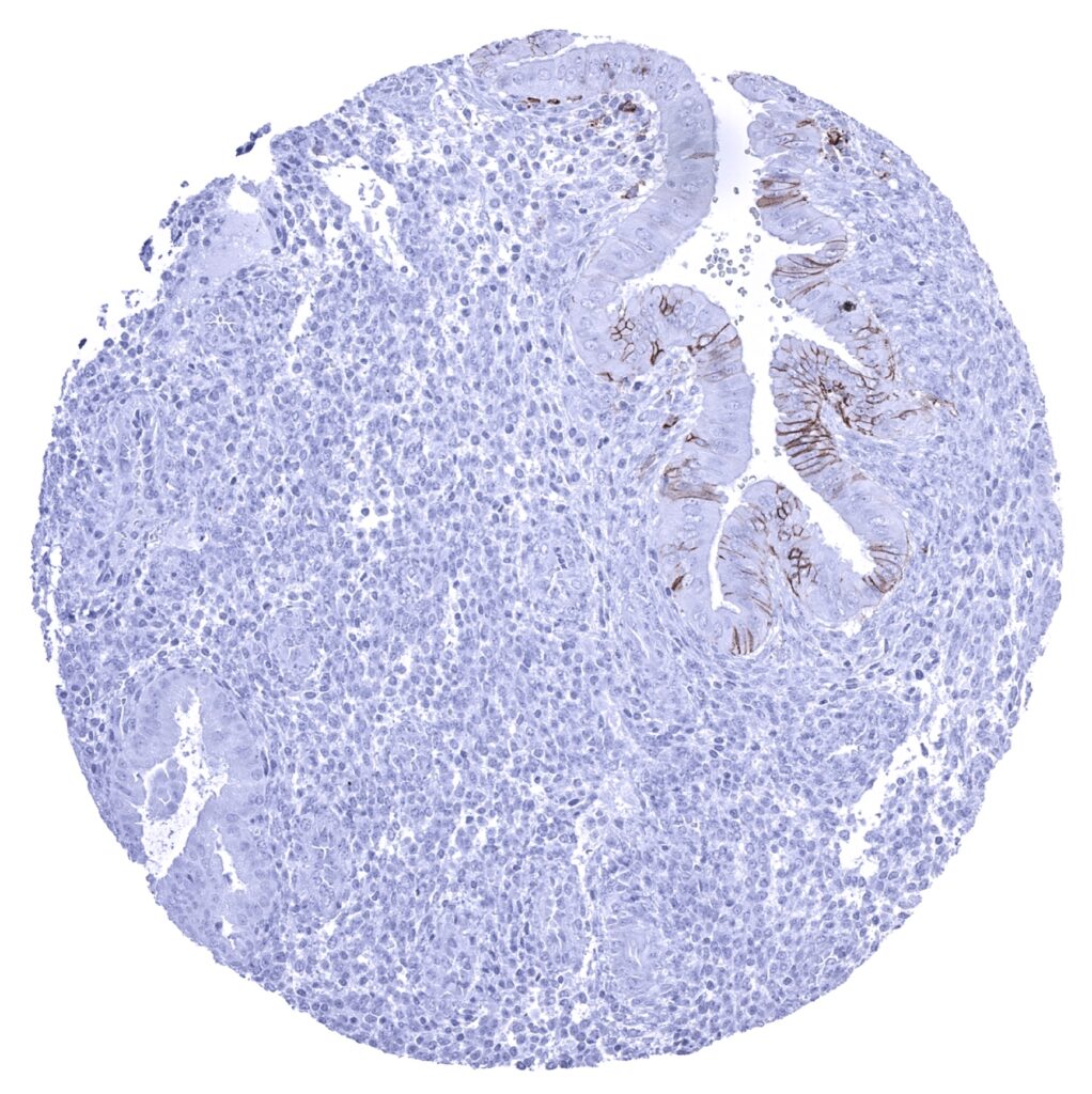
Appendix, mucosa - A strong membranous LI-Cadherin staining occurs in all epithelial cells of the appendix mucosa (LI-Cadherin immunohistochemistry)

       

Appendix, muscular wall

Bone marrow

Breast

Bronchus, mucosa

       

Cerebellum (granule cell layer, white matter)

Cerebellum (molecular layer, Purkinje cell layer, granule cell layer)

Cerebrum, grey matter

Cerebrum, white matter

       

Colon descendens, mucosa - A strong membranous LI-Cadherin staining occurs in all epithelial cells of the colon mucosa (LI-Cadherin immunohistochemistry).

Colon descendens, muscular wall

Duodenum, Brunner gland

Duodenum, mucosa - A strong membranous LI-Cadherin staining occurs in all epithelial cells of the duodenum mucosa (LI-Cadherin immunohistochemistry)

       

Epididymis

Esophagus, squamous epithelium

Fallopian tube, mucosa

Fat

       

Gallbladder, epithelium - A membranous LI-Cadherin staining can be seen in the gallbladder epithelium (LI-Cadherin immunohistochemistry)

Heart muscle

Ileum, mucosa - A strong membranous LI-Cadherin staining occurs in all epithelial cells of the ileum mucosa (LI-Cadherin immunohistochemistry)

Kidney, cortex

       

Kidney, medulla

Liver

Lung

Lymph node

       

Ovary, stroma

Pancreas - A strong membranous LI-Cadherin staining can be seen in some small sized excretory ducts of the pancreas (LI-Cadherin immunohistochemistry).

Pancreas

Parathyroid gland

       

Parotid gland

Pituitary gland, anterior lobe

Pituitary gland, posterior lobe

Placenta (amnion and chorion)

       

Placenta, early

Placenta, mature

Prostate

Rectum, mucosa - A strong membranous LI-Cadherin staining occurs in all epithelial cells of the rectum mucosa (LI-Cadherin immunohistochemistry).

       

Seminal vesicle

Sinus paranasales

Skeletal muscle

Spleen

       

Stomach, antrum - LI-Cadherin staining is largely absent in stomach glands.

Stomach, corpus - LI-Cadherin staining is largely absent in stomach glands.

Testis

Thymus

       

Thymus

Thyroid gland

Tonsil, surface epithelium

Tonsil

       

Urinary bladder, muscular wall

Urinary bladder, urothelium

Uterus, ectocervix

Uterus, endocervix

       

Uterus, endometrium (pregnancy)

Uterus, endometrium (proliferation)

Uterus, endometrium (secretion) - Focal membranous LI-Cadherin staining can occur in selected endometrial glands (LI-Cadherin immunohistochemistry).

Uterus, endometrium (secretion)

       

Uterus, myometrium

 

 

| TOP |